购物车
  • TargetMol
    您的购物车当前为空

Anti-ST2/IL-1 RL1 Polyclonal Antibody

Synonyms: T1, ST2V, ST2L, ST2, interleukin 1 receptor-like 1, IL33R, IL1RL1, IL‑1 R4, FIT-1, DER4
货号 TMAB-01776 一键复制产品信息
Rating icon 还可以

Anti-ST2/IL-1 RL1 Polyclonal Antibody 是一种 Rabbit 抗体,靶向 ST2/IL-1 RL1。Anti-ST2/IL-1 RL1 Polyclonal Antibody 可用于 IF,IHC-Fr,IHC-P,WB。

Anti-ST2/IL-1 RL1 Polyclonal Antibody

一键复制产品信息
Rating icon 还可以
货号 TMAB-01776

别名 T1, ST2V, ST2L, ST2, interleukin 1 receptor-like 1, IL33R, IL1RL1, IL‑1 R4, FIT-1, DER4

Anti-ST2/IL-1 RL1 Polyclonal Antibody 是一种 Rabbit 抗体,靶向 ST2/IL-1 RL1。Anti-ST2/IL-1 RL1 Polyclonal Antibody 可用于 IF,IHC-Fr,IHC-P,WB。

Anti-ST2/IL-1 RL1 Polyclonal Antibody
规格价格库存数量
50 μL
¥ 1,165
5日内发货
100 μL
¥ 1,975
5日内发货
200 μL
¥ 2,795
5日内发货
库存状态实时更新,以官网显示为准,现货产品可直接加购物车下单
大包装 & 定制
加入购物车

TargetMol的所有产品仅用作科学研究或药证申报,不能被用于人体,我们不向个人提供产品和服务。请您遵守承诺用途,不得违反法律法规规定用于任何其他用途。

实验操作小课堂
常见问题解答
查看更多

资源下载:产品操作手册

产品介绍


生物活性
产品描述
Anti-ST2/IL-1 RL1 Polyclonal Antibody is a Rabbit antibody targeting ST2/IL-1 RL1. Anti-ST2/IL-1 RL1 Polyclonal Antibody can be used in IF,IHC-Fr,IHC-P,WB.
别名
T1, ST2V, ST2L, ST2, interleukin 1 receptor-like 1, IL33R, IL1RL1, IL‑1 R4, FIT-1, DER4
Ig Type
IgG
反应种属
Human,Mouse
验证活性
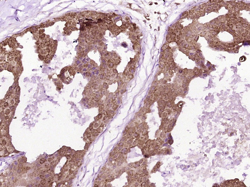
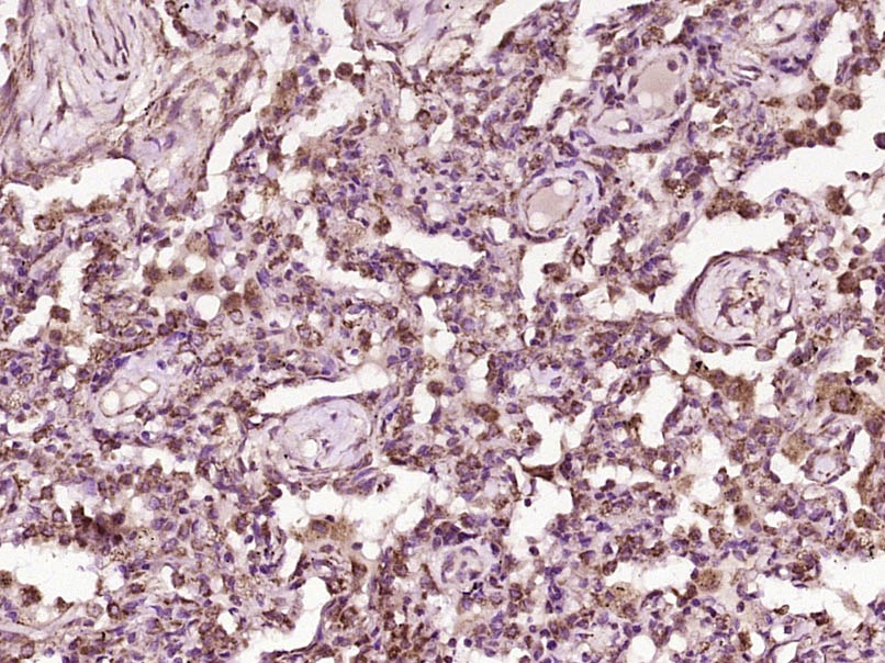
1. Paraformaldehyde-fixed, paraffin embedded (Human lung carcinoma); Antigen retrieval by boiling in sodium citrate buffer (pH6.0) for 15 min; Block endogenous peroxidase by 3% hydrogen peroxide for 20 min; Blocking buffer (normal goat serum) at 37°C for 30 min; Antibody incubation with (ST2) Polyclonal Antibody, Unconjugated (TMAB-01776) at 1:400 overnight at 4°C, followed by operating according to SP Kit (Rabbit) instructionsand DAB staining.
2. Paraformaldehyde-fixed, paraffin embedded (Human breast carcinoma); Antigen retrieval by boiling in sodium citrate buffer (pH6.0) for 15 min; Block endogenous peroxidase by 3% hydrogen peroxide for 20 min; Blocking buffer (normal goat serum) at 37°C for 30 min; Antibody incubation with (ST2) Polyclonal Antibody, Unconjugated (TMAB-01776) at 1:400 overnight at 4°C, followed by operating according to SP Kit (Rabbit) instructionsand DAB staining.
3. Sample: Kidney (Mouse) Lysate at 40 μg
Primary: Anti-ST2 (TMAB-01776) at 1/1000 dilution
Secondary: IRDye800CW Goat Anti-Rabbit IgG at 1/20000 dilution
Predicted band size: 61 kDa
Observed band size: 61 kDa
4. Sample:
293t (Human) Cell Lysate at 30 μg
A549 (Human) Cell Lysate at 30 μg
A673 (Human) Cell Lysate at 30 μg
MKN45 (Human) Cell Lysate at 30 μg
Primary: Anti-ST2 (TMAB-01776) at 1/1000 dilution
Secondary: IRDye800CW Goat Anti-Rabbit IgG at 1/20000 dilution
Predicted band size: 61 kDa
Observed band size: 61 kDa
verifiedActivityverifiedActivityverifiedActivityverifiedActivity
应用IFIHC-FrIHC-PWB
推荐剂量
WB: 1:500-2000; IHC-P: 1:100-500; IHC-Fr: 1:100-500; IF: 1:100-500
抗体种类
Polyclonal
宿主来源Rabbit
亚细胞定位Isoform C: Cell membrane.Isoform B: Secreted. Cell membrane; Single-pass type I membrane protein.
组织特异性Highly expressed in kidney, lung, placenta, stomach, skeletal muscle, colon and small intestine. Isoform A is prevalently expressed in the lung, testis, placenta, stomach and colon. Isoform B is more abundant in the brain, kidney and the liver. Isoform C
构建方式Polyclonal Antibody
纯化方式Protein A purified
性状Liquid
缓冲液0.01M TBS (pH7.4) with 1% BSA, 0.02% Proclin300 and 50% Glycerol.
浓度1 mg/mL
研究背景ST2 is a member of a superfamily containing the Interleukin 1 (IL1) receptor and the Toll-like receptors (TLRs). The TLRs are signaling molecules that recognize different microbial products during infection and serve as an important link between the innate and adaptive immune responses. ST2 was originally identified as a protein whose production was stimulated by various proliferation-inducing agents such as PDGF and FGF. More recently, it has been shown to negatively regulate IL1 receptor and Toll-like receptor 4 (TLR4) signaling and to maintain endotoxin tolerance. It has been suggested that the inhibition of TLR4 signaling occurs through the association and sequestering of TLR adaptor molecules such as MyD88 and TIRAP.
抗原信息
免疫原
KLH conjugated synthetic peptide: human ST2 (isoform A,B,C)
抗原种属
Human
基因名称
IL1RL1
基因ID
蛋白名称
Interleukin-1 receptor-like 1
Uniprot ID
功能
Receptor for interleukin-33 (IL-33), its stimulation recruits MYD88, IRAK1, IRAK4, and TRAF6, followed by phosphorylation of MAPK3/ERK1 and/or MAPK1/ERK2, MAPK14, and MAPK8. Possibly involved in helper T-cell function.
化学信息
分子量Theoretical: 61 kDa. Actual: 61 kDa.
储存&溶解度
储存方式Store at -20°C or -80°C for 12 months. Avoid repeated freeze-thaw cycles.
运输方式Shipping with blue ice.

计算器

  • 稀释 计算器
  • 配液 计算器
Related Tags: buy Anti-ST2/IL-1 RL1 Polyclonal Antibody | purchase Anti-ST2/IL-1 RL1 Polyclonal Antibody | Anti-ST2/IL-1 RL1 Polyclonal Antibody cost | order Anti-ST2/IL-1 RL1 Polyclonal Antibody | Anti-ST2/IL-1 RL1 Polyclonal Antibody molecular weight