购物车
  • TargetMol
    您的购物车当前为空

Anti-SMARCA4 Antibody (3I277)

货号 TMAC-00476 一键复制产品信息
Rating icon 还可以
202603开学季活动

Anti-SMARCA4 Antibody (3I277) 是一种 Rabbit 抗体,靶向 SMARCA4。Anti-SMARCA4 Antibody (3I277) 可用于 ICC/IF,IHC,IP,WB。

Anti-SMARCA4 Antibody (3I277)

一键复制产品信息
Rating icon 还可以
202603开学季活动
货号 TMAC-00476

Anti-SMARCA4 Antibody (3I277) 是一种 Rabbit 抗体,靶向 SMARCA4。Anti-SMARCA4 Antibody (3I277) 可用于 ICC/IF,IHC,IP,WB。

Anti-SMARCA4 Antibody (3I277)
规格价格库存数量
50 μL
¥ 1,480
5日内发货
100 μL
¥ 2,485
5日内发货
库存状态实时更新,以官网显示为准,现货产品可直接加购物车下单
大包装 & 定制
加入购物车

TargetMol的所有产品仅用作科学研究或药证申报,不能被用于人体,我们不向个人提供产品和服务。请您遵守承诺用途,不得违反法律法规规定用于任何其他用途。

实验操作小课堂
常见问题解答
查看更多

资源下载:产品操作手册

产品介绍


生物活性
产品描述
Anti-SMARCA4 Antibody (3I277) is a Rabbit antibody targeting SMARCA4. Anti-SMARCA4 Antibody (3I277) can be used in ICC/IF,IHC,IP,WB.
Ig Type
IgG
克隆号
3I277
反应种属
Human,Mouse,Rat
验证活性
1. Western blot analysis of BRG1 on different lysates using anti-BRG1 antibody at 1/1,000 dilution. Positive control: Lane 1: Jurkat, Lane 2: HepG2.
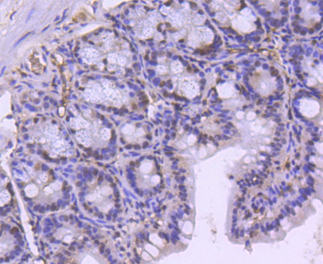
2. Immunohistochemical analysis of paraffin-embedded mouse colon tissue using anti-BRG1 antibody. Counter stained with hematoxylin.
3. Immunohistochemical analysis of paraffin-embedded mouse kidney tissue using anti-BRG1 antibody. Counter stained with hematoxylin.
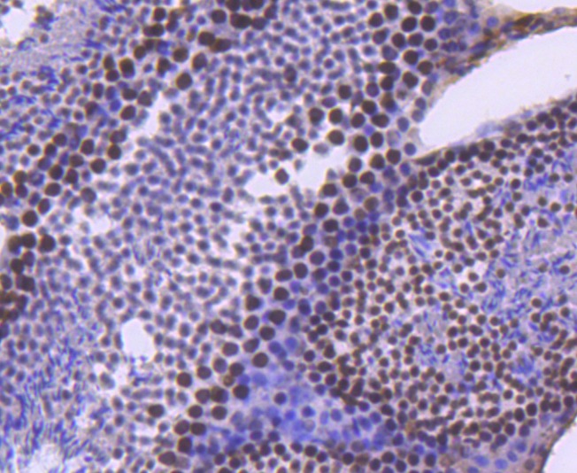
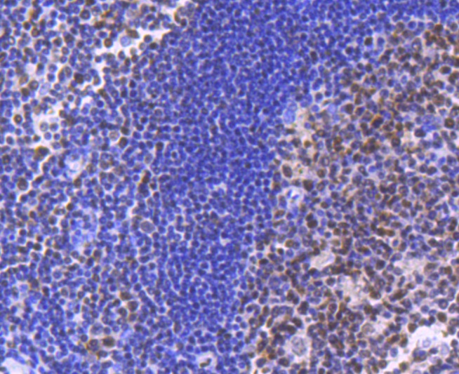
4. Immunohistochemical analysis of paraffin-embedded human tonsil tissue using anti-BRG1 antibody. Counter stained with hematoxylin.
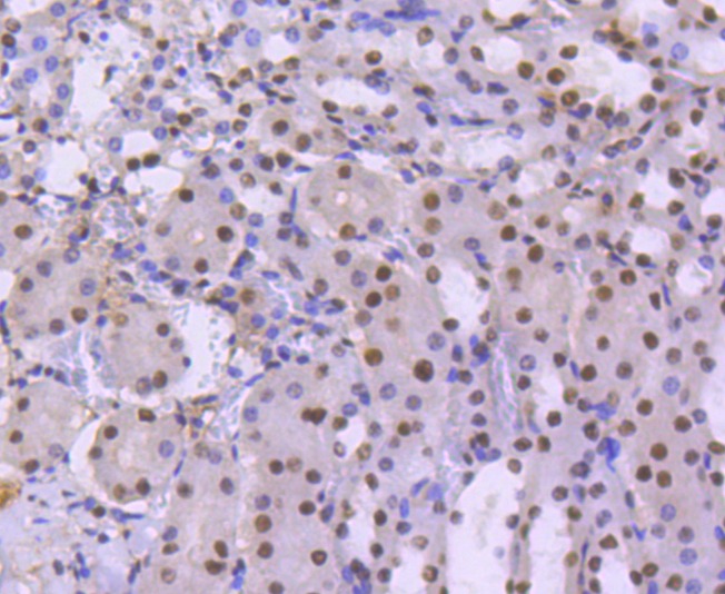
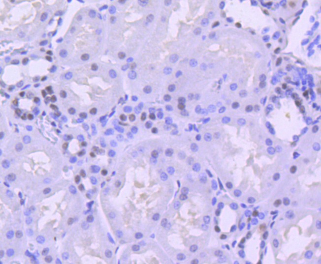
5. Immunohistochemical analysis of paraffin-embedded human kidney tissue using anti-BRG1 antibody. Counter stained with hematoxylin.
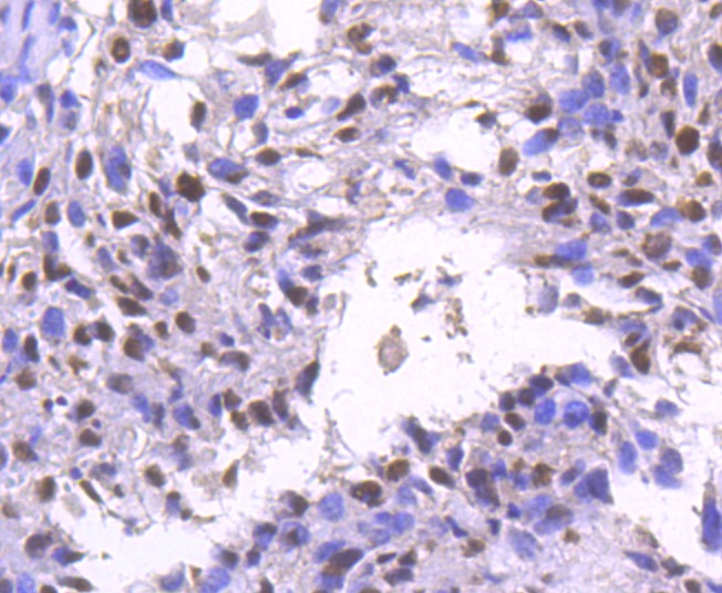
6. Immunohistochemical analysis of paraffin-embedded human breast carcinoma tissue using anti-BRG1 antibody. Counter stained with hematoxylin.
7. Immunohistochemical analysis of paraffin-embedded mouse testis tissue using anti-BRG1 antibody. Counter stained with hematoxylin.
8. ICC staining BRG1 in Hela cells (green). The nuclear counter stain is DAPI (blue). Cells were fixed in paraformaldehyde, permeabilised with 0.25% Triton X100/PBS.
9. ICC staining BRG1 in HepG2 cells (green). The nuclear counter stain is DAPI (blue). Cells were fixed in paraformaldehyde, permeabilised with 0.25% Triton X100/PBS.
10. ICC staining BRG1 in SW480 cells (green). The nuclear counter stain is DAPI (blue). Cells were fixed in paraformaldehyde, permeabilised with 0.25% Triton X100/PBS.
11. ICC staining BRG1 in RH-35 cells (green). The nuclear counter stain is DAPI (blue). Cells were fixed in paraformaldehyde, permeabilised with 0.25% Triton X100/PBS.
verifiedActivityverifiedActivityverifiedActivityverifiedActivityverifiedActivityverifiedActivityverifiedActivityverifiedActivityverifiedActivityverifiedActivityverifiedActivity
应用ICC/IFIHCIPWB
推荐剂量
WB: 1:1000-5000; IHC: 1:50-200; ICC/IF: 1:50-200
抗体种类
Monoclonal
宿主来源Rabbit
构建方式Recombinant Antibody
纯化方式ProA affinity purified
性状Liquid
缓冲液1*TBS (pH7.4), 1%BSA, 40%Glycerol. Preservative: 0.05% Sodium Azide.
研究背景The SWI-SNF complex is involved in the activation of transcription via the remodeling of nucleosome structure in an ATP-dependent manner. Brm (also designated SNF2α) and Brg-1 (also designated SNF2β) are the ATPase subunits of the mammalian SWI-SNF complex. Brm, Brg-1, Ini1 (integrase interactor 1, also designated SNF5), BAF155 (also designated SRG3) and BAF170 are thought to comprise the functional core of the SWI-SNF complex. Addition of Ini1, BAF155 and BAF170 to Brg-1 appears to increase remodeling activity. Other complex subunits are thought to play regulatory roles. hSNF2L and hSNF2H both appear to be homologs of Drosophila ISWI, a Brm related ATPase that is present in chromatin remodeling complexes other than SWI/SNF, including the NURF (nucleosome remodeling factor).
偶联与修饰
偶联
Unconjugated
抗原信息
免疫原
Recombinant Protein
Uniprot ID
化学信息
分子量Theoretical: 185 kDa.
储存&溶解度
储存方式Store at -20°C or -80°C for 12 months. Avoid repeated freeze-thaw cycles.
运输方式Shipping with blue ice.

计算器

  • 稀释 计算器
  • 配液 计算器
Related Tags: buy Anti-SMARCA4 Antibody (3I277) | purchase Anti-SMARCA4 Antibody (3I277) | Anti-SMARCA4 Antibody (3I277) cost | order Anti-SMARCA4 Antibody (3I277) | Anti-SMARCA4 Antibody (3I277) molecular weight