• TargetMol
    您的购物车当前为空

Anti-Granzyme B Antibody (6G558)

一键复制产品信息
Rating icon 还可以
货号 TMAC-01707

Anti-Granzyme B Antibody (6G558) 是一种 Mouse 抗体,靶向 Granzyme B。Anti-Granzyme B Antibody (6G558) 可用于 IF,IHC-P,IP,WB。

Anti-Granzyme B Antibody (6G558)

Anti-Granzyme B Antibody (6G558)

一键复制产品信息
Rating icon 还可以
货号 TMAC-01707

Anti-Granzyme B Antibody (6G558) 是一种 Mouse 抗体,靶向 Granzyme B。Anti-Granzyme B Antibody (6G558) 可用于 IF,IHC-P,IP,WB。

规格价格库存数量
50 μL
¥ 1,995
5日内发货
100 μL
¥ 2,995
5日内发货
库存状态实时更新,以官网显示为准,现货产品可直接加购物车下单
大包装 & 定制
加入购物车
TargetMol的所有产品仅用作科学研究或药证申报,不能被用于人体,我们不向个人提供产品和服务。请您遵守承诺用途,不得违反法律法规规定用于任何其他用途。
实验操作小课堂
常见问题解答
查看更多
选择批次:
联系我们 获取更多批次信息

产品介绍


生物活性
产品描述
Anti-Granzyme B Antibody (6G558) is a Mouse antibody targeting Granzyme B. Anti-Granzyme B Antibody (6G558) can be used in IF,IHC-P,IP,WB.
克隆号
6G558
反应种属
Human,Mouse,Rat
验证活性
1. Western blot analysis of granzyme B expression in non-transfected (A) and human granzyme B transfected (B) 293T whole cell lysates.
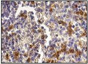
2. Immunoperoxidase staining of formalin fixed, paraffin-embedded human spleen tissue showing cytoplasmic staining of cells in red pulp.
verifiedActivityverifiedActivity
应用IFIHC-PIPWB
推荐剂量
WB: 1:100-1000; IP: 1-2 μg per 100-500 μg of total protein(1 ml of cell lysate); IF: 1:50-1:200; IHC-P: 1:50-500
抗体种类
Monoclonal
宿主来源Mouse
构建方式Hybridoma Monoclonal Antibody
纯化方式ProA affinity purified
性状Liquid
缓冲液1*TBS (pH7.4), 1%BSA, 40%Glycerol. Preservative: 0.05% Sodium Azide.
研究背景Granzyme A and granzyme B are serine proteases that mediate apoptotic signaling in cytotoxic T lymphocytes (CTL) and natural killer (NK) cells. Both granzyme A and granzyme B are synthesized as inactive proenzymes, and they are stored within cytolytic granules and released by effector cells during degranulation. In activated CTLs, granzyme A and granzyme B are processed and activated by cathepsin C, and they then function to induce apoptosis by two distinct pathways. Granzyme B proteolytically cleaves and activates members of the caspase family of cysteine proteases, including caspase-3, caspase-6, caspase-7 and caspase-9. When cleaved, these caspases assemble into active holoenzymes that then mediate apoptosis through a defined proteolytic cascade involving nuclear lamins and PARP (poly ADP ribose polymerase). Granzyme A mediates the activation of apoptosis by inducing single-strand DNA breaks, membrane perturbation and nuclear condensations in an alternative pathway that is independent from caspase activation or the caspase proteolytic cascade.
偶联与修饰
偶联
Unconjugated
抗原信息
免疫原
Amino acids 1-247 representing full length granzyme B of human origin
抗原种属
human
Uniprot ID
化学信息
分子量Theoretical: 32 kDa.
储存&溶解度
储存方式Store at -20°C or -80°C for 12 months. Avoid repeated freeze-thaw cycles.
运输方式Shipping with blue ice.
存储store at low temperature | -20°C for 1 year

计算器

  • 稀释 计算器
Related Tags: buy Anti-Granzyme B Antibody (6G558) | purchase Anti-Granzyme B Antibody (6G558) | Anti-Granzyme B Antibody (6G558) cost | order Anti-Granzyme B Antibody (6G558) | Anti-Granzyme B Antibody (6G558) molecular weight