• TargetMol
    您的购物车当前为空

Anti-SCD1 Polyclonal Antibody

一键复制产品信息
Rating icon 还可以
货号 TMAB-01666

别名 Stearoyl-CoA desaturase 1, Scd1, Fatty acid desaturase 1, Delta(9)-desaturase 1 (Delta-9 desaturase 1), Acyl-CoA desaturase 1

Anti-SCD1 Polyclonal Antibody 是一种 Rabbit 抗体,靶向 SCD1。Anti-SCD1 Polyclonal Antibody 可用于 ICC/IF,IF,IHC-Fr,IHC-P。

Anti-SCD1 Polyclonal Antibody

Anti-SCD1 Polyclonal Antibody

一键复制产品信息
Rating icon 还可以
货号 TMAB-01666 别名 Stearoyl-CoA desaturase 1, Scd1, Fatty acid desaturase 1, Delta(9)-desaturase 1 (Delta-9 desaturase 1), Acyl-CoA desaturase 1

Anti-SCD1 Polyclonal Antibody 是一种 Rabbit 抗体,靶向 SCD1。Anti-SCD1 Polyclonal Antibody 可用于 ICC/IF,IF,IHC-Fr,IHC-P。

规格价格库存数量
50 μL
¥ 1,170
5日内发货
100 μL
¥ 1,960
5日内发货
200 μL
¥ 2,795
5日内发货
库存状态实时更新,以官网显示为准,现货产品可直接加购物车下单
大包装 & 定制
加入购物车
TargetMol的所有产品仅用作科学研究或药证申报,不能被用于人体,我们不向个人提供产品和服务。请您遵守承诺用途,不得违反法律法规规定用于任何其他用途。
实验操作小课堂
常见问题解答
查看更多
资源下载:

产品介绍


生物活性
产品描述
Anti-SCD1 Polyclonal Antibody is a Rabbit antibody targeting SCD1. Anti-SCD1 Polyclonal Antibody can be used in ICC/IF,IF,IHC-Fr,IHC-P.
别名Stearoyl-CoA desaturase 1, Scd1, Fatty acid desaturase 1, Delta(9)-desaturase 1 (Delta-9 desaturase 1), Acyl-CoA desaturase 1
Ig Type
IgG
反应种属
Human,Mouse,Rat (predicted:Dog,Pig,Cow,Rabbit,Sheep)
验证活性
1. Tissue/cell: rat brain tissue; 4% Paraformaldehyde-fixed and paraffin-embedded;
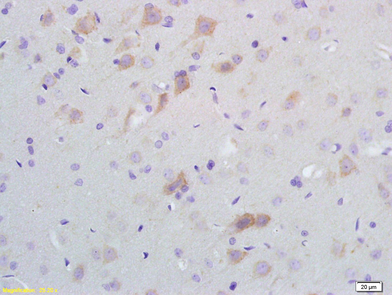
Antigen retrieval: citrate buffer (0.01M, pH6.0), Boiling bathing for 15 min; Block endogenous peroxidase by 3% Hydrogen peroxide for 30 min; Blocking buffer (normal goat serum) at 37°C for 20 min;
Incubation: Anti-SCD1 Polyclonal Antibody, Unconjugated (TMAB-01666) 1:200, overnight at 4°C, followed by conjugation to the secondary antibody and DAb staining.
2. A431 cell; 4% Paraformaldehyde-fixed; Triton X-100 at room temperature for 20 min; Blocking buffer (normal goat serum) at 37°C for 20 min; Antibody incubation with (SCD1) polyclonal Antibody, Unconjugated (TMAB-01666) 1:100, 90 minutes at 37°C; followed by a conjugated Goat Anti-Rabbit IgG antibody at 37°C for 90 minutes, DAPI (blue) was used to stain the cell nucleus.
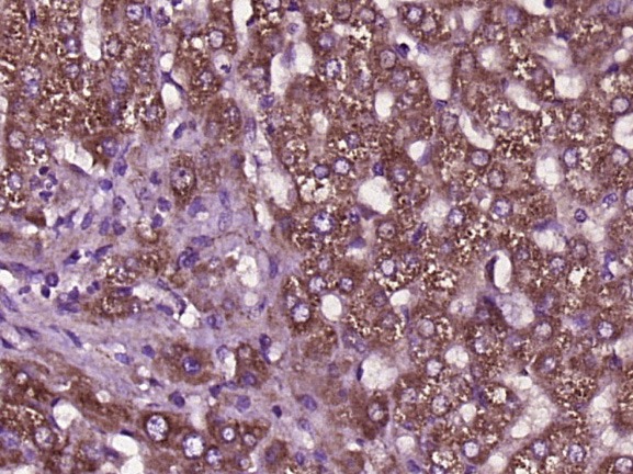
3. Paraformaldehyde-fixed, paraffin embedded (Human liver cancer); Antigen retrieval by boiling in sodium citrate buffer (pH6.0) for 15 min; Block endogenous peroxidase by 3% hydrogen peroxide for 20 min; Blocking buffer (normal goat serum) at 37°C for 30 min; Antibody incubation with (SCD1) Polyclonal Antibody, Unconjugated (TMAB-01666) at 1:400 overnight at 4°C, followed by operating according to SP Kit (Rabbit) instructionsand DAB staining.
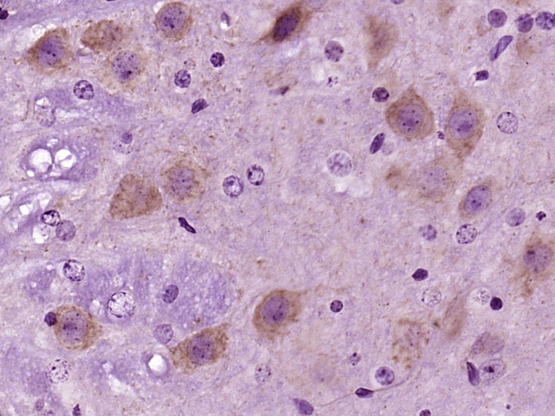
4. Paraformaldehyde-fixed, paraffin embedded (Mouse brain); Antigen retrieval by boiling in sodium citrate buffer (pH6.0) for 15 min; Block endogenous peroxidase by 3% hydrogen peroxide for 20 min; Blocking buffer (normal goat serum) at 37°C for 30 min; Antibody incubation with (SCD1) Polyclonal Antibody, Unconjugated (TMAB-01666) at 1:400 overnight at 4°C, followed by operating according to SP Kit (Rabbit) instructionsand DAB staining.
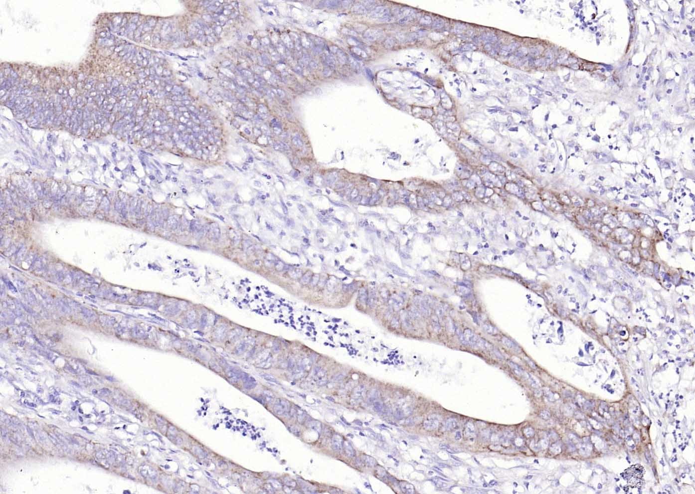
5. Paraformaldehyde-fixed, paraffin embedded (human colon carcinoma); Antigen retrieval by boiling in sodium citrate buffer (pH6.0) for 15 min; Block endogenous peroxidase by 3% hydrogen peroxide for 20 min; Blocking buffer (normal goat serum) at 37°C for 30 min; Antibody incubation with (SCD1) Polyclonal Antibody, Unconjugated (TMAB-01666) at 1:200 overnight at 4°C, followed by operating according to SP Kit (Rabbit) instructionsand DAB staining.
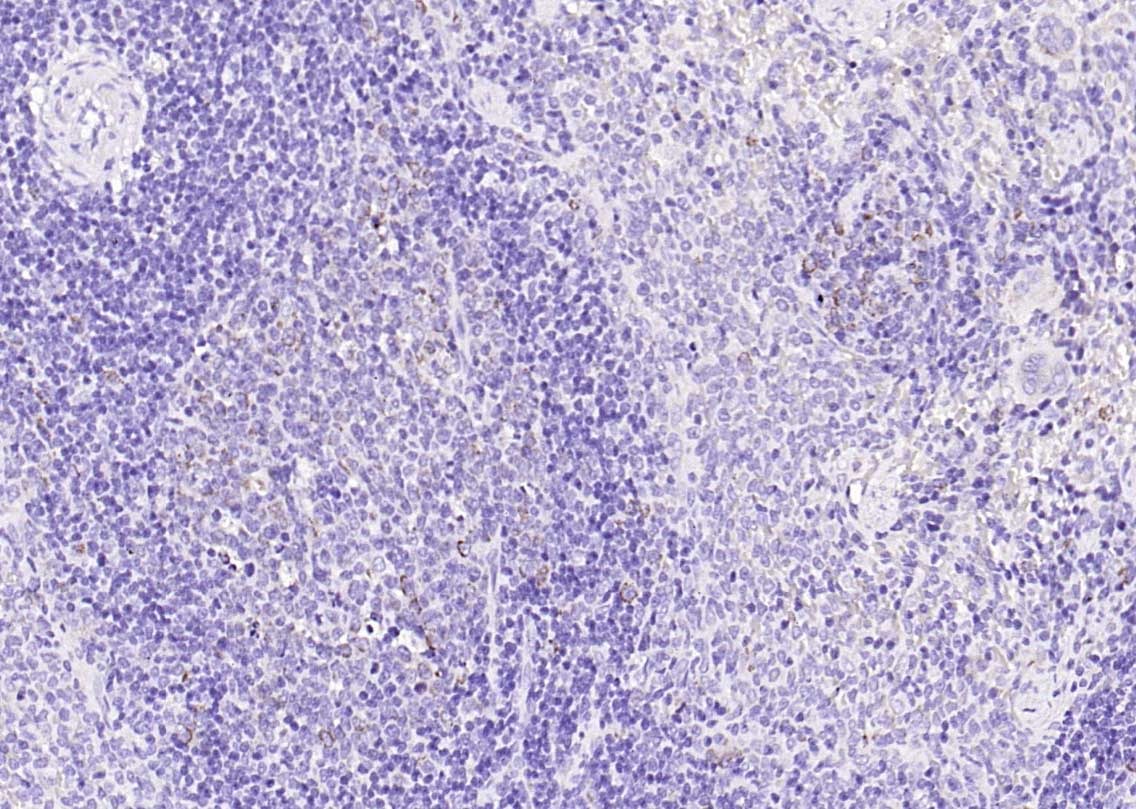
6. Paraformaldehyde-fixed, paraffin embedded (rat spleen); Antigen retrieval by boiling in sodium citrate buffer (pH6.0) for 15 min; Block endogenous peroxidase by 3% hydrogen peroxide for 20 min; Blocking buffer (normal goat serum) at 37°C for 30 min; Antibody incubation with (SCD1) Polyclonal Antibody, Unconjugated (TMAB-01666) at 1:200 overnight at 4°C, followed by operating according to SP Kit (Rabbit) instructionsand DAB staining.
verifiedActivityverifiedActivityverifiedActivityverifiedActivityverifiedActivityverifiedActivity
应用ICC/IFIFIHC-FrIHC-P
推荐剂量
IHC-P: 1:100-500; IHC-Fr: 1:100-500; ICC/IF: 1:100; IF: 1:100-500
抗体种类
Polyclonal
宿主来源Rabbit
亚细胞定位Endoplasmic reticulum membrane; Multi-pass membrane protein (Probable).
构建方式Polyclonal Antibody
纯化方式Protein A purified
性状Liquid
缓冲液0.01M TBS (pH7.4) with 1% BSA, 0.02% Proclin300 and 50% Glycerol.
浓度1 mg/mL
研究背景This gene encodes an enzyme involved in fatty acid biosynthesis, primarily the synthesis of oleic acid. The protein belongs to the fatty acid desaturase family and is an integral membrane protein located in the endoplasmic reticulum. Transcripts of approximately 3.9 and 5.2 kb, differing only by alternative polyadenlyation signals, have been detected. A gene encoding a similar enzyme is located on chromosome 4 and a pseudogene of this gene is located on chromosome 17. [provided by RefSeq, Sep 2015]
抗原信息
免疫原
KLH conjugated synthetic peptide: human SCD
抗原种属
Human
基因名称
SCD
基因ID
蛋白名称
Stearoyl-CoA desaturase
Uniprot ID
研究领域
Metabolism of lipids and lipoproteins,Metabolism,Fatty acids,Lipid metabolism,Fatty acid oxidation,Obesity,Lipid metabolism
功能
Terminal component of the liver microsomal stearyl-CoA desaturase system, that utilizes O(2) and electrons from reduced cytochrome b5 to catalyze the insertion of a double bond into a spectrum of fatty acyl-CoA substrates including palmitoyl-CoA and stearoyl-CoA.
化学信息
分子量Theoretical: 41 kDa.
储存&溶解度
储存方式Store at -20°C or -80°C for 12 months. Avoid repeated freeze-thaw cycles.
运输方式Shipping with blue ice.
存储store at low temperature | store at -20°C

计算器

  • 稀释 计算器
Related Tags: buy Anti-SCD1 Polyclonal Antibody | purchase Anti-SCD1 Polyclonal Antibody | Anti-SCD1 Polyclonal Antibody cost | order Anti-SCD1 Polyclonal Antibody | Anti-SCD1 Polyclonal Antibody molecular weight