• TargetMol
    您的购物车当前为空

Anti-p53 Polyclonal Antibody 3

一键复制产品信息
Rating icon 还可以
货号 TMAB-01321

Anti-p53 Polyclonal Antibody 3 是一种 Rabbit 抗体,靶向 p53。Anti-p53 Polyclonal Antibody 3 可用于 FCM,ICC/IF,IF,IHC-Fr,IHC-P,WB。

Anti-p53 Polyclonal Antibody 3

Anti-p53 Polyclonal Antibody 3

一键复制产品信息
Rating icon 还可以
货号 TMAB-01321

Anti-p53 Polyclonal Antibody 3 是一种 Rabbit 抗体,靶向 p53。Anti-p53 Polyclonal Antibody 3 可用于 FCM,ICC/IF,IF,IHC-Fr,IHC-P,WB。

规格价格库存数量
50 μL
¥ 1,170
5日内发货
100 μL
¥ 1,965
5日内发货
200 μL
¥ 2,790
5日内发货
库存状态实时更新,以官网显示为准,现货产品可直接加购物车下单
大包装 & 定制
加入购物车
TargetMol的所有产品仅用作科学研究或药证申报,不能被用于人体,我们不向个人提供产品和服务。请您遵守承诺用途,不得违反法律法规规定用于任何其他用途。
实验操作小课堂
常见问题解答
查看更多
资源下载:

产品介绍


生物活性
产品描述
Anti-p53 Polyclonal Antibody 3 is a Rabbit antibody targeting p53. Anti-p53 Polyclonal Antibody 3 can be used in FCM,ICC/IF,IF,IHC-Fr,IHC-P,WB.
Ig Type
IgG
反应种属
Human,Mouse,Rat (predicted:Dog,Pig,Cow,Horse,Sheep)
验证活性
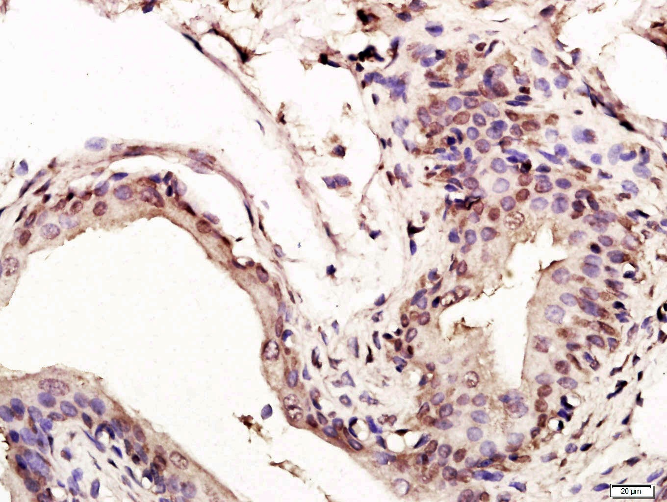
1. Paraformaldehyde-fixed, paraffin embedded (Rat bladder); Antigen retrieval by boiling in sodium citrate buffer (pH6.0) for 15 min; Block endogenous peroxidase by 3% hydrogen peroxide for 20 min; Blocking buffer (normal goat serum) at 37°C for 30 min; Antibody incubation with (Transformation related protein 53; P53) Polyclonal Antibody, Unconjugated (TMAB-01321) at 1:400 overnight at 4°C, followed by a conjugated secondary antibody for 20 min and DAB staining.
2. Paraformaldehyde-fixed, paraffin embedded (Rat bladder); Antigen retrieval by boiling in sodium citrate buffer (pH6.0) for 15 min; Block endogenous peroxidase by 3% hydrogen peroxide for 20 min; Blocking buffer (normal goat serum) at 37°C for 30 min; Antibody incubation with (Transformation related protein 53; P53) Polyclonal Antibody, Unconjugated (TMAB-01321) at 1:400 overnight at 4°C, followed by a conjugated secondary antibody for 20 min and DAB staining.
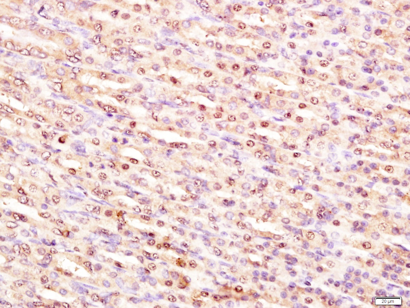
3. Paraformaldehyde-fixed, paraffin embedded (Rat stomach); Antigen retrieval by boiling in sodium citrate buffer (pH6.0) for 15 min; Block endogenous peroxidase by 3% hydrogen peroxide for 20 min; Blocking buffer (normal goat serum) at 37°C for 30 min; Antibody incubation with (Transformation related protein 53; P53) Polyclonal Antibody, Unconjugated (TMAB-01321) at 1:400 overnight at 4°C, followed by a conjugated secondary antibody for 20 min and DAB staining.
4. Sample: 293T Cell (Human) Lysate at 40 μg
Primary: Anti-p53 (FL-393) (TMAB-01321) at 1/300 dilution
Secondary: IRDye800CW Goat Anti-Rabbit IgG at 1/20000 dilution
Predicted band size: 53 kDa
Observed band size: 60 kDa
5. Sample: MCF-7 Cell (Human) Lysate at 40 μg
Primary: Anti-p53 (FL-393) (TMAB-01321) at 1/300 dilution
Secondary: IRDye800CW Goat Anti-Rabbit IgG at 1/20000 dilution
Predicted band size: 53 kDa
Observed band size: 60 kDa
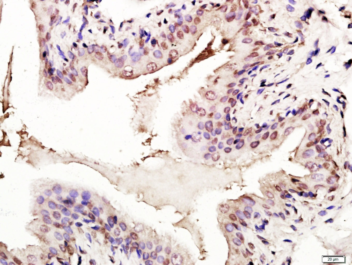
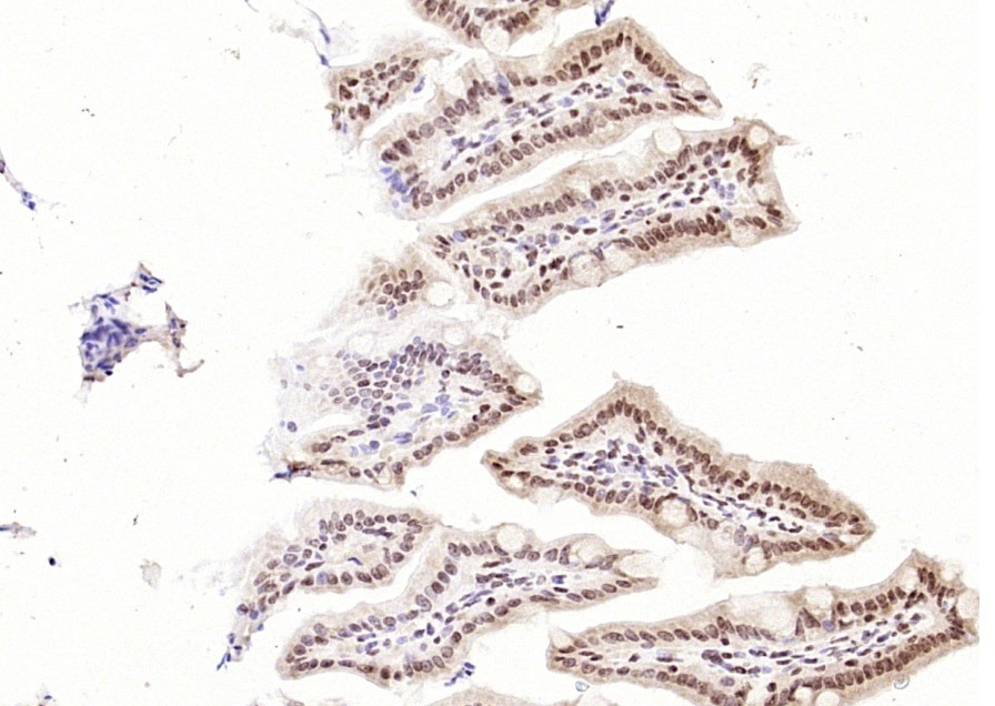
6. Paraformaldehyde-fixed, paraffin embedded (mouse intestine); Antigen retrieval by boiling in sodium citrate buffer (pH6.0) for 15 min; Block endogenous peroxidase by 3% hydrogen peroxide for 20 min; Blocking buffer (normal goat serum) at 37°C for 30 min; Antibody incubation with (p53 (FL-393)) Polyclonal Antibody, Unconjugated (TMAB-01321) at 1:200 overnight at 4°C, followed by operating according to SP Kit (Rabbit) instructionsand DAB staining.
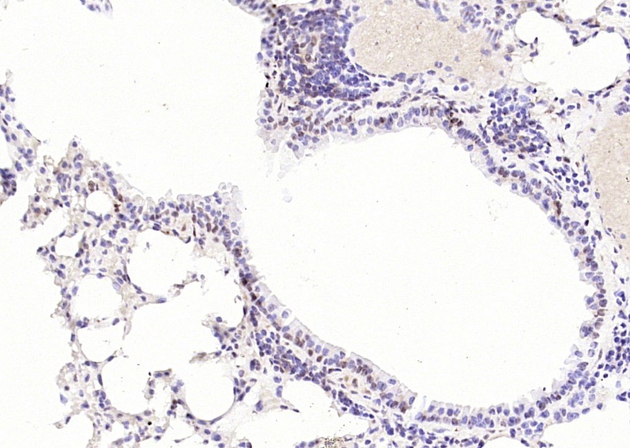
7. Paraformaldehyde-fixed, paraffin embedded (mouse lung); Antigen retrieval by boiling in sodium citrate buffer (pH6.0) for 15 min; Block endogenous peroxidase by 3% hydrogen peroxide for 20 min; Blocking buffer (normal goat serum) at 37°C for 30 min; Antibody incubation with (p53 (FL-393)) Polyclonal Antibody, Unconjugated (TMAB-01321) at 1:200 overnight at 4°C, followed by operating according to SP Kit (Rabbit) instructionsand DAB staining.
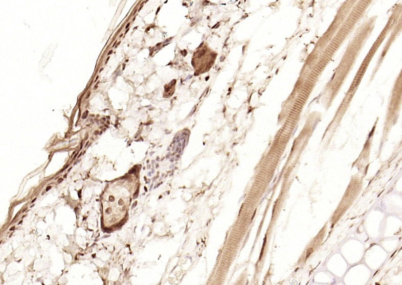
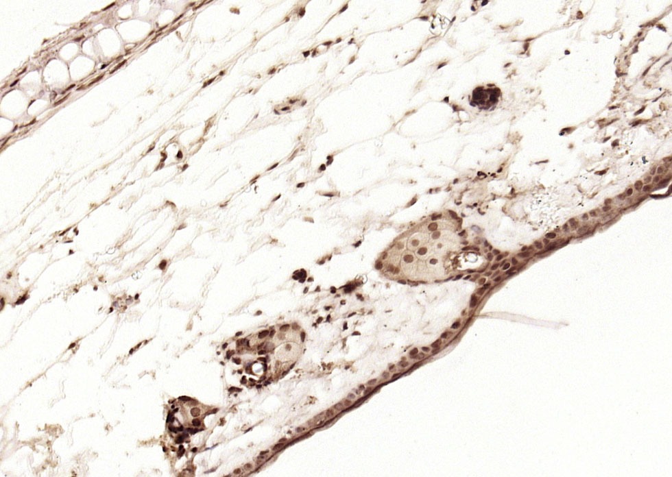
8. Paraformaldehyde-fixed, paraffin embedded (rat skin); Antigen retrieval by boiling in sodium citrate buffer (pH6.0) for 15 min; Block endogenous peroxidase by 3% hydrogen peroxide for 20 min; Blocking buffer (normal goat serum) at 37°C for 30 min; Antibody incubation with (p53 (FL-393)) Polyclonal Antibody, Unconjugated (TMAB-01321) at 1:200 overnight at 4°C, followed by operating according to SP Kit (Rabbit) instructionsand DAB staining.
9. Paraformaldehyde-fixed, paraffin embedded (mouse skin); Antigen retrieval by boiling in sodium citrate buffer (pH6.0) for 15 min; Block endogenous peroxidase by 3% hydrogen peroxide for 20 min; Blocking buffer (normal goat serum) at 37°C for 30 min; Antibody incubation with (p53 (FL-393)) Polyclonal Antibody, Unconjugated (TMAB-01321) at 1:200 overnight at 4°C, followed by operating according to SP Kit (Rabbit) instructionsand DAB staining.
10. Blank control: A549. Primary Antibody (green line): Rabbit Anti-p53 (FL-393) antibody (TMAB-01321)
Dilution: 1 μg/10^6 cells;
Isotype Control Antibody (orange line): Rabbit IgG.
Secondary Antibody: Goat anti-rabbit IgG-AF488
Dilution: 1 μg/test.
Protocol
The cells were fixed with 4% PFA (10 min at room temperature) and then permeabilized with 90% ice-cold methanol for 20 min at-20°C. The cells were then incubated in 5% BSA to block non-specific protein-protein interactions for 30 min at room temperature. Cells stained with Primary Antibody for 30 min at room temperature. The secondary antibody used for 40 min at room temperature.
11. A431 cell; 4% Paraformaldehyde-fixed; Triton X-100 at room temperature for 20 min; Blocking buffer (normal goat serum) at 37°C for 20 min; Antibody incubation with (p53 (FL-393)) polyclonal Antibody, Unconjugated (TMAB-01321) 1:100, 90 minutes at 37°C; followed by a conjugated Goat Anti-Rabbit IgG antibody at 37°C for 90 minutes, DAPI (blue) was used to stain the cell nucleus.
verifiedActivityverifiedActivityverifiedActivityverifiedActivityverifiedActivityverifiedActivityverifiedActivityverifiedActivityverifiedActivityverifiedActivityverifiedActivity
应用FCMICC/IFIFIHC-FrIHC-PWB
推荐剂量
WB: 1:1000-2000; IHC-P: 1:100-500; IHC-Fr: 1:100-500; ICC/IF: 1:100; IF: 1:100-500; FCM: 1ug/Test
抗体种类
Polyclonal
宿主来源Rabbit
亚细胞定位Cytoplasm. Nucleus. Nucleus, PML body. Endoplasmic reticulum. Note=Interaction with BANP promotes nuclear localization. Recruited into PML bodies together with CHEK2. Isoform 1: Nucleus. Cytoplasm. Note=Predominantly nuclear but localizes to the cytoplasm when expressed with isoform 4. Isoform 2: Nucleus. Cytoplasm. Note=Localized mainly in the nucleus with minor staining in the cytoplasm. Isoform 3: Nucleus. Cytoplasm. Note=Localized in the nucleus in most cells but found in the cytoplasm in some cells. Isoform 4: Nucleus. Cytoplasm. Note=Predominantly nuclear but translocates to the cytoplasm following cell stress. Isoform 7: Nucleus. Cytoplasm. Note=Localized mainly in the nucleus with minor staining in the cytoplasm. Isoform 8: Nucleus. Cytoplasm. Note=Localized in both nucleus and cytoplasm in most cells. In some cells, forms foci in the nucleus that are different from nucleoli. Isoform 9: Cytoplasm.
组织特异性Ubiquitous. Isoforms are expressed in a wide range of normal tissues but in a tissue-dependent manner. Isoform 2 is expressed in most normal tissues but is not detected in brain, lung, prostate, muscle, fetal brain, spinal cord and fetal liver. Isoform 3
构建方式Polyclonal Antibody
纯化方式Protein A purified
性状Liquid
缓冲液0.01M TBS (pH7.4) with 1% BSA, 0.02% Proclin300 and 50% Glycerol.
浓度1 mg/mL
研究背景This gene encodes a tumor suppressor protein containing transcriptional activation, DNA binding, and oligomerization domains. The encoded protein responds to diverse cellular stresses to regulate expression of target genes, thereby inducing cell cycle arrest, apoptosis, senescence, DNA repair, or changes in metabolism. Mutations in this gene are associated with a variety of human cancers, including hereditary cancers such as Li-Fraumeni syndrome. Alternative splicing of this gene and the use of alternate promoters result in multiple transcript variants and isoforms. Additional isoforms have also been shown to result from the use of alternate translation initiation codons (PMIDs: 12032546, 20937277). [provided by RefSeq, Feb 2013].
抗原信息
免疫原
Full length P53 protein of human origin
抗原种属
Human
基因名称
TP53
基因ID
蛋白名称
Cellular tumor antigen p53
Uniprot ID
研究领域
p53 pathway,p53 pathway,p53 Pathway,p53,p53,p53,Tumor Suppressors
功能
Acts as a tumor suppressor in many tumor types; induces growth arrest or apoptosis depending on the physiological circumstances and cell type. Involved in cell cycle regulation as a trans-activator that acts to negatively regulate cell division by controlling a set of genes required for this process. One of the activated genes is an inhibitor of cyclin-dependent kinases. Apoptosis induction seems to be mediated either by stimulation of BAX and FAS antigen expression, or by repression of Bcl-2 expression. Implicated in Notch signaling cross-over. Prevents CDK7 kinase activity when associated to CAK complex in response to DNA damage, thus stopping cell cycle progression. Isoform 2 enhances the transactivation activity of isoform 1 from some but not all TP53-inducible promoters. Isoform 4 suppresses transactivation activity and impairs growth suppression mediated by isoform 1. Isoform 7 inhibits isoform 1-mediated apoptosis.
化学信息
分子量Theoretical: 53 kDa.
储存&溶解度
储存方式Store at -20°C or -80°C for 12 months. Avoid repeated freeze-thaw cycles.
运输方式Shipping with blue ice.
存储store at low temperature | store at -20°C

计算器

  • 稀释 计算器
Related Tags: buy Anti-p53 Polyclonal Antibody 3 | purchase Anti-p53 Polyclonal Antibody 3 | Anti-p53 Polyclonal Antibody 3 cost | order Anti-p53 Polyclonal Antibody 3 | Anti-p53 Polyclonal Antibody 3 molecular weight