购物车
  • TargetMol
    您的购物车当前为空

Anti-NT5E Antibody (1N164)

Synonyms: NTE, NT5, NT, eNT, eN, E5NT, CD73, CALJA, 5'-nucleotidase, ecto (CD73)
货号 TMAC-00733 一键复制产品信息
Rating icon 还可以

Anti-NT5E Antibody (1N164) 是一种 Rabbit 抗体,靶向 NT5E。Anti-NT5E Antibody (1N164) 可用于 IHC,WB。

Anti-NT5E Antibody (1N164)

一键复制产品信息
Rating icon 还可以
货号 TMAC-00733

别名 NTE, NT5, NT, eNT, eN, E5NT, CD73, CALJA, 5'-nucleotidase, ecto (CD73)

Anti-NT5E Antibody (1N164) 是一种 Rabbit 抗体,靶向 NT5E。Anti-NT5E Antibody (1N164) 可用于 IHC,WB。

Anti-NT5E Antibody (1N164)
规格价格库存数量
50 μL
¥ 1,495
5日内发货
100 μL
¥ 2,495
5日内发货
库存状态实时更新,以官网显示为准,现货产品可直接加购物车下单
大包装 & 定制
加入购物车

TargetMol的所有产品仅用作科学研究或药证申报,不能被用于人体,我们不向个人提供产品和服务。请您遵守承诺用途,不得违反法律法规规定用于任何其他用途。

实验操作小课堂
常见问题解答
查看更多

资源下载:产品操作手册

产品介绍


生物活性
产品描述
Anti-NT5E Antibody (1N164) is a Rabbit antibody targeting NT5E. Anti-NT5E Antibody (1N164) can be used in IHC,WB.
别名
NTE, NT5, NT, eNT, eN, E5NT, CD73, CALJA, 5'-nucleotidase, ecto (CD73)
Ig Type
IgG
克隆号
1N164
反应种属
Human
验证活性
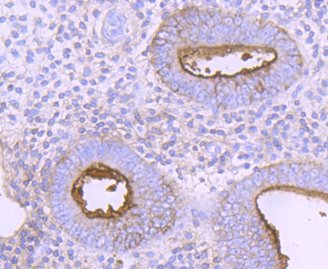
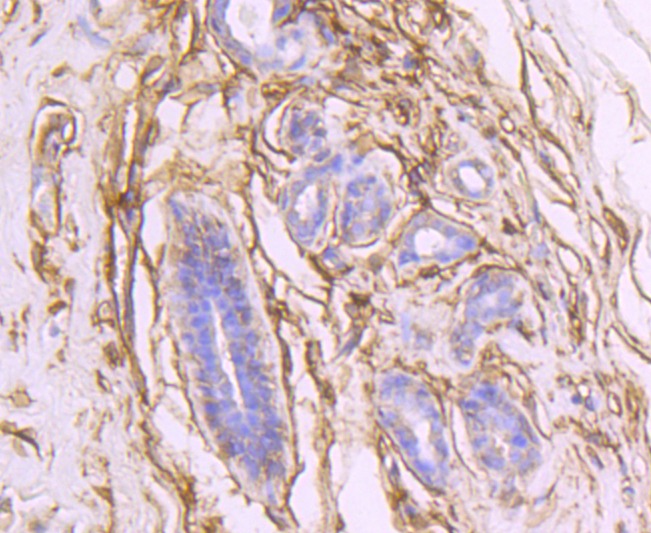
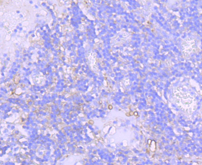
1. Western blot analysis of CD73 on A431 cells lysates using anti-CD73 antibody at 1/500 dilution.
2. Immunohistochemical analysis of paraffin-embedded human tonsil tissue using anti-CD73 antibody. Counter stained with hematoxylin.
3. Immunohistochemical analysis of paraffin-embedded human uterus tissue using anti-CD73 antibody. Counter stained with hematoxylin.
4. Immunohistochemical analysis of paraffin-embedded human breast cancer tissue using anti-CD73 antibody. Counter stained with hematoxylin.
verifiedActivityverifiedActivityverifiedActivityverifiedActivity
应用IHCWB
推荐剂量
WB: 1:1000-5000; IHC: 1:50-200
抗体种类
Monoclonal
宿主来源Rabbit
构建方式Recombinant Antibody
纯化方式ProA affinity purified
性状Liquid
缓冲液1*TBS (pH7.4), 1%BSA, 40%Glycerol. Preservative: 0.05% Sodium Azide.
研究背景CD73 (also designated ecto-5'-nucleotidase, E5NT, NT, NT5, NTE, eN and eNT) is a glycosyl-phosphatidylinositol (GPI)-anchored adhesion protein that catalyzes the dephosphorylation of extracellular purine and pyrimidine nucleotides to their corresponding bioactive nucleosides. CD73 is a dimer of two identical subunits that depends on GPI to link with the external face of the plasma membrane. Similar to other GPI-anchored proteins, CD73 mediates co-stimulatory signals in T cell activation. CD73 has few structural variants, yet elicits diverse biological function through differential regulation in endothelial cells (EC), subpopulations of B and T cells, germinal center follicular dendritic cells and on thymic medullary reticular fibroblasts. For example, IgG mediated neutralization of CD73 interferes with lymphocyte adhesion to EC, and blocks aggregation of germinal center B cells and follicular dendritic cells. Furthermore, IgG-mediated targeting of lymphocyte CD73, but not of endothelial cell CD73, causes shedding of CD73 and tyrosine phosphorylation of proteins.
偶联与修饰
偶联
Unconjugated
抗原信息
免疫原
Recombinant Protein
Uniprot ID
化学信息
分子量Theoretical: 70 kDa.
储存&溶解度
储存方式Store at -20°C or -80°C for 12 months. Avoid repeated freeze-thaw cycles.
运输方式Shipping with blue ice.

计算器

  • 稀释 计算器
  • 配液 计算器
Related Tags: buy Anti-NT5E Antibody (1N164) | purchase Anti-NT5E Antibody (1N164) | Anti-NT5E Antibody (1N164) cost | order Anti-NT5E Antibody (1N164) | Anti-NT5E Antibody (1N164) molecular weight