• TargetMol
    您的购物车当前为空

Anti-ADAR Antibody (6K725)

一键复制产品信息
Rating icon 还可以
货号 TMAC-00088

Anti-ADAR Antibody (6K725) 是一种 Rabbit 抗体,靶向 ADAR。Anti-ADAR Antibody (6K725) 可用于 ICC,IF,IHC,WB。

Anti-ADAR Antibody (6K725)

Anti-ADAR Antibody (6K725)

一键复制产品信息
Rating icon 还可以
货号 TMAC-00088

Anti-ADAR Antibody (6K725) 是一种 Rabbit 抗体,靶向 ADAR。Anti-ADAR Antibody (6K725) 可用于 ICC,IF,IHC,WB。

规格价格库存数量
50 μL
¥ 1,480
5日内发货
100 μL
¥ 2,485
5日内发货
库存状态实时更新,以官网显示为准,现货产品可直接加购物车下单
大包装 & 定制
加入购物车
TargetMol的所有产品仅用作科学研究或药证申报,不能被用于人体,我们不向个人提供产品和服务。请您遵守承诺用途,不得违反法律法规规定用于任何其他用途。
实验操作小课堂
常见问题解答
查看更多
资源下载:

产品介绍


生物活性
产品描述
Anti-ADAR Antibody (6K725) is a Rabbit antibody targeting ADAR. Anti-ADAR Antibody (6K725) can be used in ICC,IF,IHC,WB.
Ig Type
IgG
克隆号
6K725
反应种属
Human
验证活性
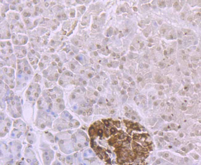
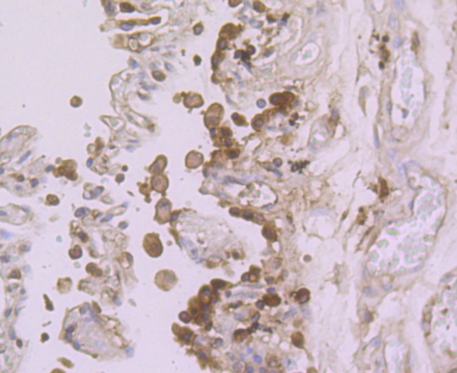
1. Immunohistochemical analysis of paraffin-embedded human colon cancer tissue using anti-ADAR antibody. Counter stained with hematoxylin.
2. Immunohistochemical analysis of paraffin-embedded human kidney tissue using anti-ADAR antibody. Counter stained with hematoxylin.
3. Immunohistochemical analysis of paraffin-embedded human lung cancer tissue using anti-ADAR antibody. Counter stained with hematoxylin.
4. Immunohistochemical analysis of paraffin-embedded human pancreas tissue using anti-ADAR antibody. Counter stained with hematoxylin.
5. ICC staining ADAR in Hela cells (green). The nuclear counter stain is DAPI (blue). Cells were fixed in paraformaldehyde, permeabilised with 0.25% Triton X100/PBS.
6. Western blot analysis of ADAR1 expression in Ramos cell lysate.
verifiedActivityverifiedActivityverifiedActivityverifiedActivityverifiedActivityverifiedActivity
应用ICCIFIHCWB
推荐剂量
WB: 1:500-2000; IHC: 1:50-200; ICC: 1:50-200
抗体种类
Monoclonal
宿主来源Rabbit
构建方式Recombinant Antibody
纯化方式ProA affinity purified
性状Liquid
缓冲液1*TBS (pH7.4), 1%BSA, 40%Glycerol. Preservative: 0.05% Sodium Azide.
研究背景RNA-specific adenosine deaminase (ADAR1, DSH, IFI4, p136, DRADA, DSRAD, K88dsRBP) mediates RNA editing by destabilizing double stranded RNA through deamination of adenosine to inosine in structured or double-stranded RNAs. ADAR1 is expressed from an interferon-response promoter and has a Z-DNA/Z-RNA binding domain at its N-terminus. ADAR1 co-localizes with SUMO-1 in a subnucleolar region that is distinct from the fibrillar center, the dense fibrillar component and the granular component. Localization of nuclear ADAR1 is under the influence of a nucleolar localization signal (NoLS) in the middle of ADAR1 and the exporting activity of the nuclear exporter signal (NES) near the N terminus. ADAR1 upregulates nuclear factor 90 (NF90)-mediated gene expression by interacting with NF110, NF90 and NF45. ADAR1 binds short interfering RNA (siRNA), and gene silencing by siRNA is significantly more effective in mouse fibroblasts homozygous for an ADAR1 null mutation than in wild-type cells. ADAR1 may limit the efficacy of siRNA in mammalian cells.
偶联与修饰
偶联
Unconjugated
抗原信息
免疫原
Recombinant Protein
Uniprot ID
化学信息
分子量Theoretical: 150 kDa.
储存&溶解度
储存方式Store at -20°C or -80°C for 12 months. Avoid repeated freeze-thaw cycles.
运输方式Shipping with blue ice.
存储store at low temperature | -20°C for 1 year

计算器

  • 稀释 计算器
Related Tags: buy Anti-ADAR Antibody (6K725) | purchase Anti-ADAR Antibody (6K725) | Anti-ADAR Antibody (6K725) cost | order Anti-ADAR Antibody (6K725) | Anti-ADAR Antibody (6K725) molecular weight