购物车
  • TargetMol
    您的购物车当前为空

Anti-ACTA1 Polyclonal Antibody

Synonyms: Alpha-actin-1, alpha skeletal muscle, Actin, alpha skeletal muscle, ACTA1, ACTA
货号 TMAB-00044 一键复制产品信息
Rating icon 还可以

Anti-ACTA1 Polyclonal Antibody 是一种 Rabbit 抗体,靶向 ACTA1。Anti-ACTA1 Polyclonal Antibody 可用于 IF,IHC-Fr,IHC-P,WB。

Anti-ACTA1 Polyclonal Antibody

一键复制产品信息
Rating icon 还可以
货号 TMAB-00044

别名 Alpha-actin-1, alpha skeletal muscle, Actin, alpha skeletal muscle, ACTA1, ACTA

Anti-ACTA1 Polyclonal Antibody 是一种 Rabbit 抗体,靶向 ACTA1。Anti-ACTA1 Polyclonal Antibody 可用于 IF,IHC-Fr,IHC-P,WB。

Anti-ACTA1 Polyclonal Antibody
规格价格库存数量
50 μL
¥ 1,170
5日内发货
100 μL
¥ 1,970
5日内发货
200 μL
¥ 2,785
5日内发货
库存状态实时更新,以官网显示为准,现货产品可直接加购物车下单
大包装 & 定制
加入购物车

TargetMol的所有产品仅用作科学研究或药证申报,不能被用于人体,我们不向个人提供产品和服务。请您遵守承诺用途,不得违反法律法规规定用于任何其他用途。

实验操作小课堂
常见问题解答
查看更多

资源下载:产品操作手册

产品介绍


生物活性
产品描述
Anti-ACTA1 Polyclonal Antibody is a Rabbit antibody targeting ACTA1. Anti-ACTA1 Polyclonal Antibody can be used in IF,IHC-Fr,IHC-P,WB.
别名
Alpha-actin-1, alpha skeletal muscle, Actin, alpha skeletal muscle, ACTA1, ACTA
Ig Type
IgG
反应种属
Mouse,Rat (predicted:Human,Dog,Cow,Rabbit)
验证活性
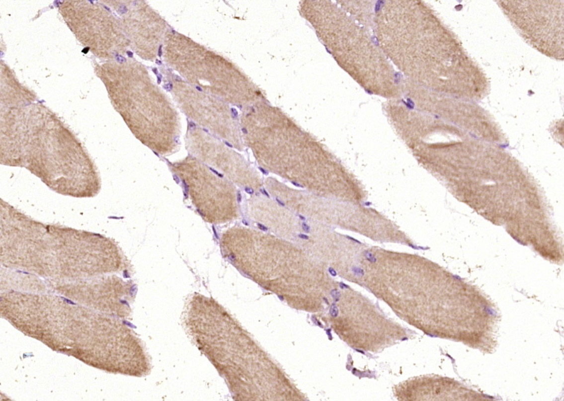
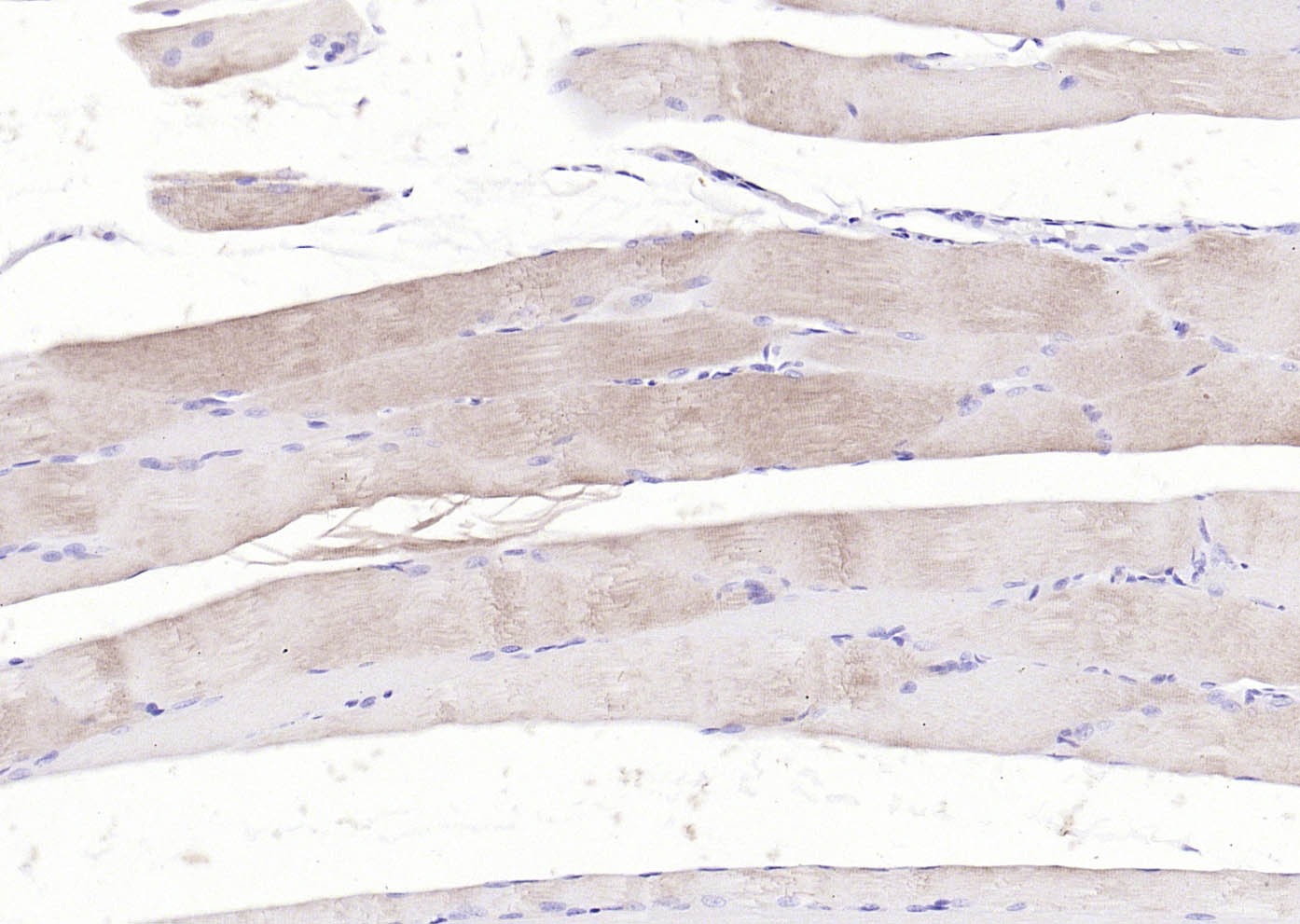
1. Paraformaldehyde-fixed, paraffin embedded (mouse skeletal muscle); Antigen retrieval by boiling in sodium citrate buffer (pH6.0) for 15 min; Block endogenous peroxidase by 3% hydrogen peroxide for 20 min; Blocking buffer (normal goat serum) at 37°C for 30 min; Antibody incubation with Actin Polyclonal Antibody, Unconjugated (TMAB-00044) at 1:200 overnight at 4°C, followed by operating according to SP Kit (Rabbit) instructionsand DAB staining.
2. Sample:
Bone (Mouse) Lysate at 40 μg
Primary: Anti-Actin (TMAB-00044) at 1/300 dilution
Secondary: IRDye800CW Goat Anti-Rabbit IgG at 1/20000 dilution
Predicted band size: 42 kDa
Observed band size: 42 kDa
3. Sample:
Heart (Mouse) Lysate at 40 μg
Primary: Anti-Actin (TMAB-00044) at 1/300 dilution
Secondary: IRDye800CW Goat Anti-Rabbit IgG at 1/20000 dilution
Predicted band size: 42 kDa
Observed band size: 42 kDa
4. Sample:
Muscle (Mouse) Lysate at 40 μg
Primary: Anti-Actin (TMAB-00044) at 1/300 dilution
Secondary: IRDye800CW Goat Anti-Rabbit IgG at 1/20000 dilution
Predicted band size: 42 kDa
Observed band size: 42 kDa
5. Paraformaldehyde-fixed, paraffin embedded (rat skeletal muscle); Antigen retrieval by boiling in sodium citrate buffer (pH6.0) for 15 min; Block endogenous peroxidase by 3% hydrogen peroxide for 20 min; Blocking buffer (normal goat serum) at 37°C for 30 min; Antibody incubation with Actin Polyclonal Antibody, Unconjugated (TMAB-00044) at 1:200 overnight at 4°C, followed by operating according to SP Kit (Rabbit) instructionsand DAB staining.
6. Paraformaldehyde-fixed, paraffin embedded (mouse skeletal muscle); Antigen retrieval by boiling in sodium citrate buffer (pH6.0) for 15 min; Block endogenous peroxidase by 3% hydrogen peroxide for 20 min; Blocking buffer (normal goat serum) at 37°C for 30 min; Antibody incubation with Actin Polyclonal Antibody, Unconjugated (TMAB-00044) at 1:200 overnight at 4°C, followed by operating according to SP Kit (Rabbit) instructionsand DAB staining.
verifiedActivityverifiedActivityverifiedActivityverifiedActivityverifiedActivityverifiedActivity
应用IFIHC-FrIHC-PWB
推荐剂量
WB: 1:500-2000; IHC-P: 1:100-500; IHC-Fr: 1:100-500; IF: 1:100-500
抗体种类
Polyclonal
宿主来源Rabbit
亚细胞定位Cytoplasm, cytoskeleton.
构建方式Polyclonal Antibody
纯化方式Protein A purified
性状Liquid
缓冲液0.01M TBS (pH7.4) with 1% BSA, 0.02% Proclin300 and 50% Glycerol.
浓度1 mg/mL
研究背景The product encoded by this gene belongs to the actin family of proteins, which are highly conserved proteins that play a role in cell motility, structure and integrity. Alpha, beta and gamma actin isoforms have been identified, with alpha actins being a major constituent of the contractile apparatus, while beta and gamma actins are involved in the regulation of cell motility. This actin is an alpha actin that is found in skeletal muscle. Mutations in this gene cause nemaline myopathy type 3, congenital myopathy with excess of thin myofilaments, congenital myopathy with cores, and congenital myopathy with fiber-type disproportion, diseases that lead to muscle fiber defects. [provided by RefSeq, Jul 2008]
抗原信息
免疫原
KLH conjugated synthetic peptide: human ACTA1
抗原种属
Human
基因名称
ACTA1
基因ID
蛋白名称
Actin, alpha skeletal muscle
Uniprot ID
研究领域
Actin,Troponin,Tropomyosin,Actin Crosslinking,Actin Binding Proteins,Actin Assembly,Actin,RIP,RIP
功能
Actins are highly conserved proteins that are involved in various types of cell motility and are ubiquitously expressed in all eukaryotic cells.
化学信息
分子量Theoretical: 42 kDa. Actual: 42 kDa.
储存&溶解度
储存方式Store at -20°C or -80°C for 12 months. Avoid repeated freeze-thaw cycles.
运输方式Shipping with blue ice.

计算器

  • 稀释 计算器
  • 配液 计算器
Related Tags: buy Anti-ACTA1 Polyclonal Antibody | purchase Anti-ACTA1 Polyclonal Antibody | Anti-ACTA1 Polyclonal Antibody cost | order Anti-ACTA1 Polyclonal Antibody | Anti-ACTA1 Polyclonal Antibody molecular weight