• TargetMol
    您的购物车当前为空

Anti-ACTA1 Antibody (8R189)

一键复制产品信息
Rating icon 还可以
货号 TMAC-00077

别名 Alpha-actin-1, alpha skeletal muscle, Actin, alpha skeletal muscle, ACTA1, ACTA

Anti-ACTA1 Antibody (8R189) 是一种 Rabbit 抗体,靶向 ACTA1。Anti-ACTA1 Antibody (8R189) 可用于 ICC/IF,IHC,IP,WB。

Anti-ACTA1 Antibody (8R189)

Anti-ACTA1 Antibody (8R189)

一键复制产品信息
Rating icon 还可以
货号 TMAC-00077 别名 Alpha-actin-1, alpha skeletal muscle, Actin, alpha skeletal muscle, ACTA1, ACTA

Anti-ACTA1 Antibody (8R189) 是一种 Rabbit 抗体,靶向 ACTA1。Anti-ACTA1 Antibody (8R189) 可用于 ICC/IF,IHC,IP,WB。

规格价格库存数量
50 μL
¥ 1,490
5日内发货
100 μL
¥ 2,485
5日内发货
库存状态实时更新,以官网显示为准,现货产品可直接加购物车下单
大包装 & 定制
加入购物车
TargetMol的所有产品仅用作科学研究或药证申报,不能被用于人体,我们不向个人提供产品和服务。请您遵守承诺用途,不得违反法律法规规定用于任何其他用途。
实验操作小课堂
常见问题解答
查看更多
资源下载:

产品介绍


生物活性
产品描述
Anti-ACTA1 Antibody (8R189) is a Rabbit antibody targeting ACTA1. Anti-ACTA1 Antibody (8R189) can be used in ICC/IF,IHC,IP,WB.
别名Alpha-actin-1, alpha skeletal muscle, Actin, alpha skeletal muscle, ACTA1, ACTA
Ig Type
IgG
克隆号
8R189
反应种属
Human,Mouse,Rat,zebrafish
验证活性
1. Western blot analysis of Actin on different lysates using anti-Actin antibody at 1/1,000 dilution. Positive control: Lane 1: zebrafish, Lane 2: Hela, Lane 3: A431, Lane 4: Jurkat.
2. Western blot analysis of Actin on different lysates using anti-Actin antibody at 1/1,000 dilution. Positive control: Lane 1:Hybrid fish (crucian-carp) brain tissue, Lane 2:Hybrid fish (crucian-carp) kidney tissue.
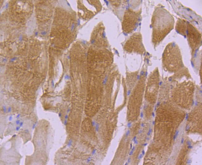
3. Immunohistochemical analysis of paraffin-embedded mouse cardiac muscle tissue using anti-Actin antibody. Counter stained with hematoxylin.
4. Immunohistochemical analysis of paraffin-embedded mouse smooth muscle tissue using anti-Actin antibody. Counter stained with hematoxylin.
5. ICC staining Actin in A431 cells (green). The nuclear counter stain is DAPI (blue). Cells were fixed in paraformaldehyde, permeabilised with 0.25% Triton X100/PBS.
6. ICC staining Actin in AGS cells (green). The nuclear counter stain is DAPI (blue). Cells were fixed in paraformaldehyde, permeabilised with 0.25% Triton X100/PBS.
7. ICC staining Actin in NIH/3T3 cells (green). The nuclear counter stain is DAPI (blue). Cells were fixed in paraformaldehyde, permeabilised with 0.25% Triton X100/PBS.
verifiedActivityverifiedActivityverifiedActivityverifiedActivityverifiedActivityverifiedActivityverifiedActivity
应用ICC/IFIHCIPWB
推荐剂量
WB: 1:1000-2000; IHC: 1:50-200; ICC/IF: 1:100-500
抗体种类
Monoclonal
宿主来源Rabbit
构建方式Recombinant Antibody
纯化方式ProA affinity purified
性状Liquid
缓冲液1*TBS (pH7.4), 1%BSA, 40%Glycerol. Preservative: 0.05% Sodium Azide.
研究背景All eukaryotic cells express Actin, which often constitutes as much as 50% of total cellular protein. Actin filaments can form both stable and labile structures and are crucial components of microvilli and the contractile apparatus of muscle cells. While lower eukaryotes, such as yeast, have only one Actin gene, higher eukaryotes have several isoforms encoded by a family of genes. At least six types of Actin are present in mammalian tissues and fall into three classes. α-Actin expression is limited to various types of muscle, whereas β-Actin and γ-Actin are the principle constituents of filaments in other tissues. Members of the small GTPase family regulate the organization of the Actin cytoskeleton. Rho controls the assembly of Actin stress fibers and focal adhesion. Rac regulates Actin filament accumulation at the plasma membrane. Cdc42 stimulates formation of filopodia.
偶联与修饰
偶联
Unconjugated
抗原信息
免疫原
Recombinant Protein
Uniprot ID
化学信息
分子量Theoretical: 42 kDa.
储存&溶解度
储存方式Store at -20°C or -80°C for 12 months. Avoid repeated freeze-thaw cycles.
运输方式Shipping with blue ice.
存储store at low temperature | -20°C for 1 year

计算器

  • 稀释 计算器
Related Tags: buy Anti-ACTA1 Antibody (8R189) | purchase Anti-ACTA1 Antibody (8R189) | Anti-ACTA1 Antibody (8R189) cost | order Anti-ACTA1 Antibody (8R189) | Anti-ACTA1 Antibody (8R189) molecular weight