购物车
您的购物车当前为空
Anti-ACTA1 Antibody (8A2) 是一种 Mouse 抗体,靶向 ACTA1。Anti-ACTA1 Antibody (8A2) 可用于 IHC。
别名 Alpha-actin-1, alpha skeletal muscle, Actin, alpha skeletal muscle, ACTA1, ACTA
Anti-ACTA1 Antibody (8A2) 是一种 Mouse 抗体,靶向 ACTA1。Anti-ACTA1 Antibody (8A2) 可用于 IHC。

| 规格 | 价格 | 库存 | 数量 |
|---|---|---|---|
| 50 μL | ¥ 1,335 | 5日内发货 | |
| 100 μL | ¥ 2,190 | 5日内发货 |
TargetMol的所有产品仅用作科学研究或药证申报,不能被用于人体,我们不向个人提供产品和服务。请您遵守承诺用途,不得违反法律法规规定用于任何其他用途。
| 产品描述 | Anti-ACTA1 Antibody (8A2) is a Mouse antibody targeting ACTA1. Anti-ACTA1 Antibody (8A2) can be used in IHC. |
| 别名 | Alpha-actin-1, alpha skeletal muscle, Actin, alpha skeletal muscle, ACTA1, ACTA |
| Ig Type | IgG1 |
| 克隆号 | 8A2 |
| 反应种属 | Human,Mouse,Rat |
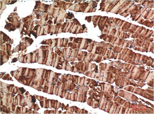
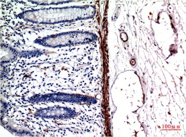
| 验证活性 | 1. Immunohistochemical analysis of paraffin-embedded Mouse Skeletal Muscle Tissue using Muscle Actin Mouse mAb diluted at 1:200. 2. Immunohistochemical analysis of paraffin-embedded Human Colon CarcinomaTissue using Muscle Actin Mouse mAb diluted at 1:200. ![]() ![]() |
| 应用 | IHC |
| 推荐剂量 | IHC: 1:100-200 |
| 抗体种类 | Monoclonal |
| 宿主来源 | Mouse |
| 构建方式 | Hybridoma Monoclonal Antibody |
| 性状 | Liquid |
| 缓冲液 | Liquid in PBS containing 50% glycerol, 0.5% BSA and 0.02% sodium azide. |
| 偶联 | Unconjugated |
| 免疫原 | A synthesized peptide |
| Uniprot ID |
| 分子量 | Theoretical: 42 kDa. |
| 储存方式 | Store at -20°C or -80°C for 12 months. Avoid repeated freeze-thaw cycles. |
| 运输方式 | Shipping with blue ice. |