• TargetMol
    您的购物车当前为空

Anti-ACE2 Polyclonal Antibody

一键复制产品信息
Rating icon 还可以
产品编号 TMAB-00032

Anti-ACE2 Polyclonal Antibody 是一种 Rabbit 抗体,靶向 ACE2。Anti-ACE2 Polyclonal Antibody 可用于 IF,IHC-Fr,IHC-P,WB。

Anti-ACE2 Polyclonal Antibody

Anti-ACE2 Polyclonal Antibody

一键复制产品信息
Rating icon 还可以
产品编号 TMAB-00032

Anti-ACE2 Polyclonal Antibody 是一种 Rabbit 抗体,靶向 ACE2。Anti-ACE2 Polyclonal Antibody 可用于 IF,IHC-Fr,IHC-P,WB。

规格价格库存数量
50 μL
¥ 1,160
5日内发货
100 μL
¥ 1,970
5日内发货
200 μL
¥ 2,790
5日内发货
大包装 & 定制
加入购物车
TargetMol 的所有产品仅用作科学研究或药证申报,不能被用于人体,我们不向个人提供产品和服务。请您遵守承诺用途,不得违反法律法规规定用于任何其他用途。
实验操作小课堂
常见问题解答
查看更多

Anti-ACE2 Polyclonal Antibody 相关产品


资源下载

产品介绍

生物活性
产品描述
Anti-ACE2 Polyclonal Antibody is a Rabbit antibody targeting ACE2. Anti-ACE2 Polyclonal Antibody can be used in IF,IHC-Fr,IHC-P,WB.
Ig Type
IgG
交叉反应
Human
验证活性
1. Sample:
Lane 1: Recombinant human ACE2 protein, His & Avi (HEK293)
Primary: Anti-ACE2 (TMAB-00032) at 1/1000 dilution
Secondary: IRDye800CW Goat Anti-Rabbit IgG at 1/20000 dilution
Predicted band size: 87 kDa
Observed band size: 110 kDa
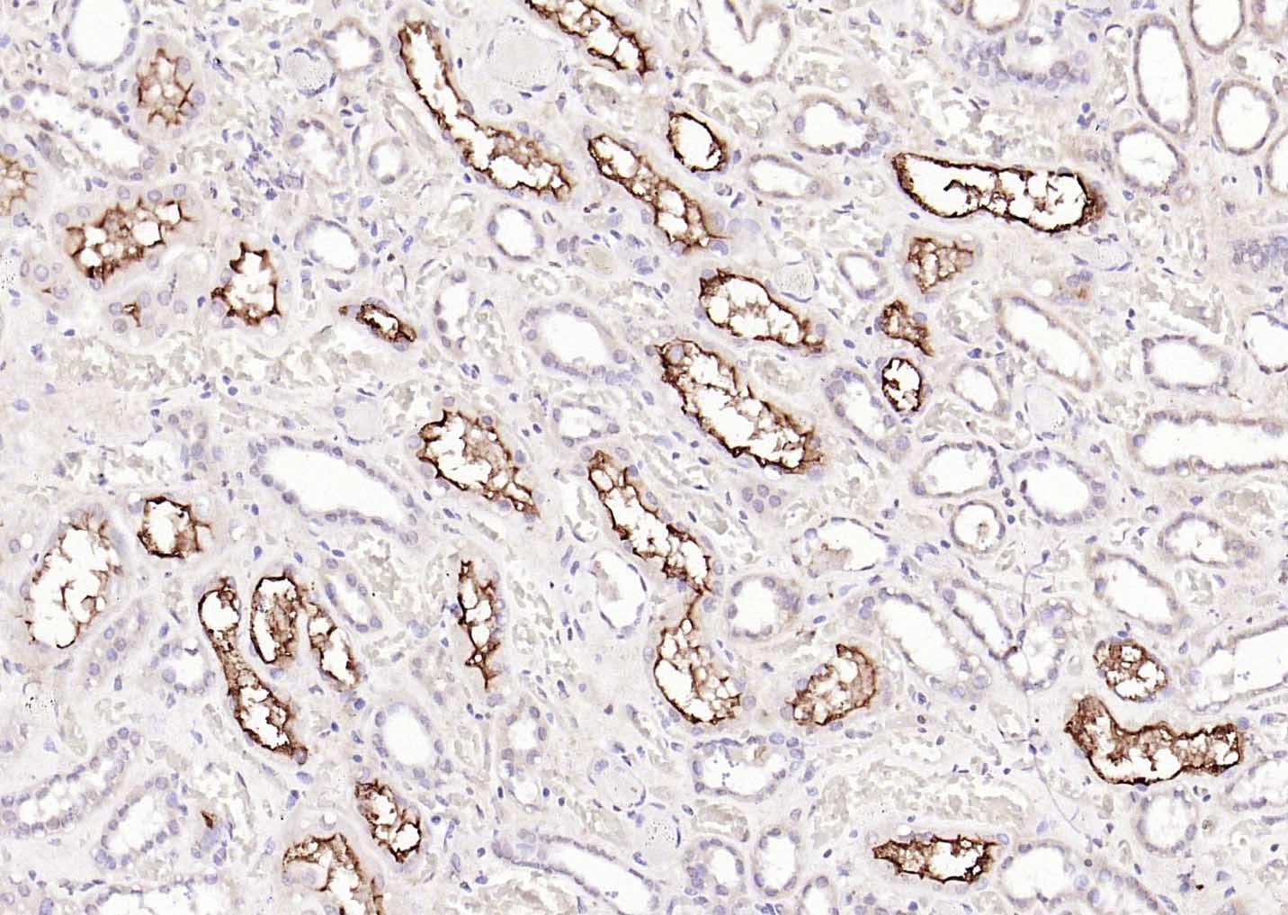
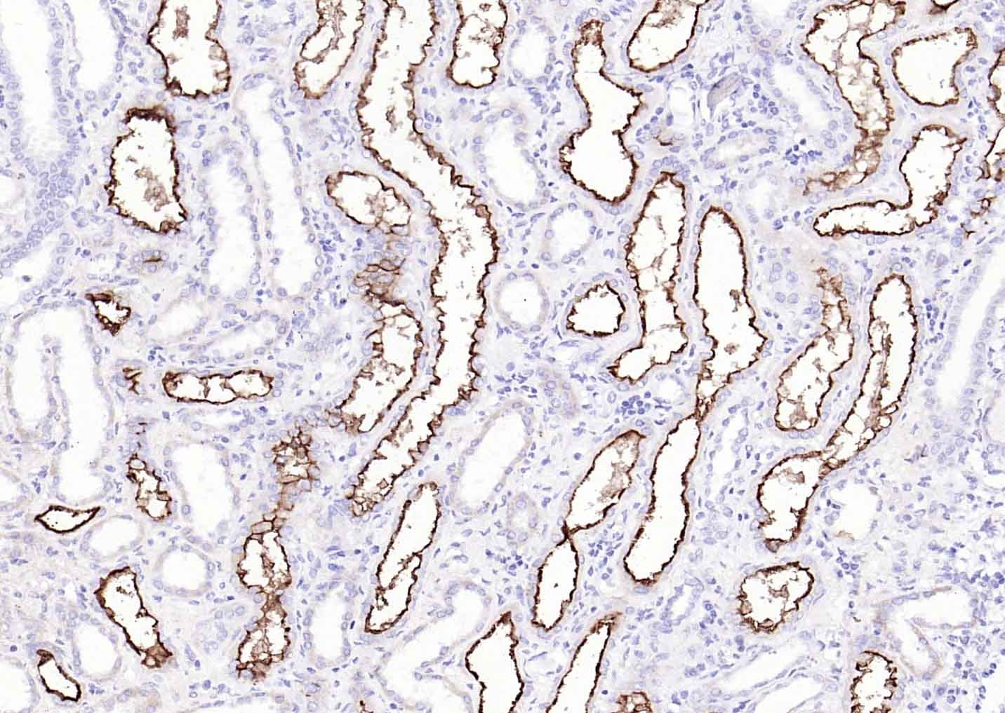
2. Paraformaldehyde-fixed, paraffin embedded Human Kidney; Antigen retrieval by boiling in sodium citrate buffer (pH6.0) for 15 min; Antibody incubation with ACE2 Polyclonal Antibody, Unconjugated (TMAB-00032) at 1:200 overnight at 4°C, followed by conjugation to the SP Kit (Rabbit) and DAB staining.
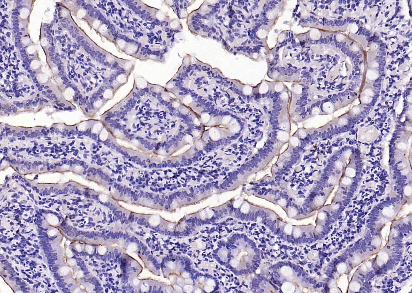
3. Paraformaldehyde-fixed, paraffin embedded Human Duodenum; Antigen retrieval by boiling in sodium citrate buffer (pH6.0) for 15 min; Antibody incubation with ACE2 Polyclonal Antibody, Unconjugated (TMAB-00032) at 1:200 overnight at 4°C, followed by conjugation to the SP Kit (Rabbit) and DAB staining.
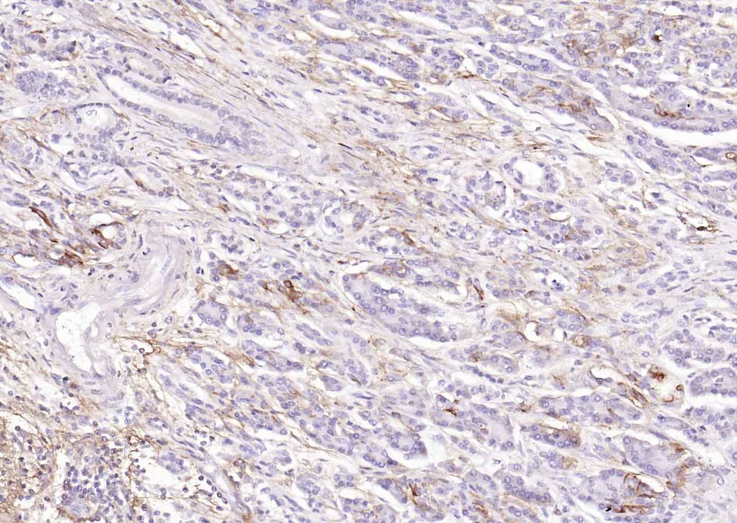
4. Paraformaldehyde-fixed, paraffin embedded Human Kidney Cancer; Antigen retrieval by boiling in sodium citrate buffer (pH6.0) for 15 min; Antibody incubation with ACE2 Polyclonal Antibody, Unconjugated (TMAB-00032) at 1:200 overnight at 4°C, followed by conjugation to the SP Kit (Rabbit) and DAB staining.
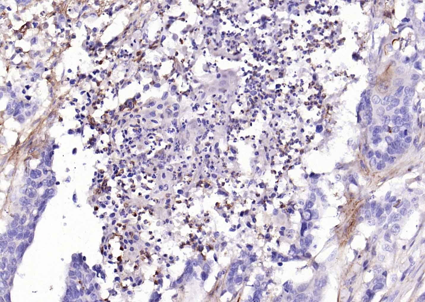
5. Paraformaldehyde-fixed, paraffin embedded Human Esophageal Cancer; Antigen retrieval by boiling in sodium citrate buffer (pH6.0) for 15 min; Antibody incubation with ACE2 Polyclonal Antibody, Unconjugated (TMAB-00032) at 1:200 overnight at 4°C, followed by conjugation to the SP Kit (Rabbit) and DAB staining.
6. Paraformaldehyde-fixed, paraffin embedded Human Pancreatic Cancer; Antigen retrieval by boiling in sodium citrate buffer (pH6.0) for 15 min; Antibody incubation with ACE2 Polyclonal Antibody, Unconjugated (TMAB-00032) at 1:200 overnight at 4°C, followed by conjugation to the SP Kit (Rabbit) and DAB staining.
verifiedActivityverifiedActivityverifiedActivityverifiedActivityverifiedActivityverifiedActivity
应用IFIHC-FrIHC-PWB
推荐剂量
WB: 1:500-2000; IHC-P: 1:400-800; IHC-Fr: 1:400-800; IF: 1:100-500
抗体种类
Polyclonal
宿主来源Rabbit
亚细胞定位Processed angiotensin-converting enzyme 2: Secreted. Cell membrane; Single-pass type I membrane protein.
组织特异性Expressed in endothelial cells from small and large arteries, and in arterial smooth muscle cells (at protein level) (PubMed:15141377).Expressed in enterocytes of the small intestine, Leydig cells and Sertoli cells (at protein level) (PubMed:15141377).Exp
构建方式Polyclonal Antibody
纯化方式Protein A purified
性状Liquid
缓冲液0.01M TBS (pH7.4) with 1% BSA, 0.02% Proclin300 and 50% Glycerol.
浓度1 mg/mL
研究背景The protein encoded by this gene belongs to the angiotensin-converting enzyme family of dipeptidyl carboxydipeptidases and has considerable homology to human angiotensin 1 converting enzyme. This secreted protein catalyzes the cleavage of angiotensin I into angiotensin 1-9, and angiotensin II into the vasodilator angiotensin 1-7. The organ- and cell-specific expression of this gene suggests that it may play a role in the regulation of cardiovascular and renal function, as well as fertility. In addition, the encoded protein is a functional receptor for the spike glycoprotein of the human coronaviruses SARS and HCoV-NL63. [provided by RefSeq, Jul 2008]
抗原信息
免疫原
KLH conjugated synthetic peptide: human ACE2
抗原种属
Human
基因名称
ACE2
基因ID
蛋白名称
Angiotensin-converting enzyme 2
Uniprot ID
研究领域
Blood Pressure regulation,Inotropics,Vasoconstriction,ACEs,SARS Coronavirus
功能
Essential counter-regulatory carboxypeptidase of the renin-angiotensin hormone system that is a critical regulator of blood volume, systemic vascular resistance, and thus cardiovascular homeostasis (PubMed:27217402).Converts angiotensin I to angiotensin 1-9, a nine-amino acid peptide with anti-hypertrophic effects in cardiomyocytes, and angiotensin II to angiotensin 1-7, which then acts as a beneficial vasodilator and anti-proliferation agent, counterbalancing the actions of the vasoconstrictor angiotensin II (PubMed:10969042, PubMed:10924499, PubMed:11815627, PubMed:19021774, PubMed:14504186).Also removes the C-terminal residue from three other vasoactive peptides, neurotensin, kinetensin, and des-Arg bradykinin, but is not active on bradykinin (PubMed:10969042, PubMed:11815627).Also cleaves other biological peptides, such as apelins (apelin-13, [Pyr1]apelin-13, apelin-17, apelin-36), casomorphins (beta-casomorphin-7, neocasomorphin) and dynorphin A with high efficiency (PubMed:11815627, PubMed:27217402, PubMed:28293165).In addition, ACE2 C-terminus is homologous to collectrin and is responsible for the trafficking of the neutral amino acid transporter SL6A19 to the plasma membrane of gut epithelial cells via direct interaction, regulating its expression on the cell surface and its catalytic activity (PubMed:18424768, PubMed:19185582).(Microbial infection) Acts as a receptor for human coronaviruses SARS-CoV and SARS-CoV-2, as well as human coronavirus NL63/HCoV-NL63.
化学信息
分子量Theoretical: 87 kDa.
存储&运输
储存方式Store at -20°C or -80°C for 12 months. Avoid repeated freeze-thaw cycles.
运输方式Shipping with blue ice.

计算器

  • 稀释 计算器

关键词

评论列表

4个月前
5.0
Rating icon 很棒

评论内容

Related Tags: buy Anti-ACE2 Polyclonal Antibody | purchase Anti-ACE2 Polyclonal Antibody | Anti-ACE2 Polyclonal Antibody cost | order Anti-ACE2 Polyclonal Antibody | Anti-ACE2 Polyclonal Antibody molecular weight