购物车
  • TargetMol
    您的购物车当前为空

Anti-Uromodulin/Umod Polyclonal Antibody

Synonyms: Uromodulin, Umod, Tamm-Horsfall urinary glycoprotein (THP)
货号 TMAB-01939 一键复制产品信息
Rating icon 还可以

Anti-Uromodulin/Umod Polyclonal Antibody 是一种 Rabbit 抗体,靶向 Uromodulin/Umod。Anti-Uromodulin/Umod Polyclonal Antibody 可用于 IF,IHC-Fr,IHC-P,WB。

Anti-Uromodulin/Umod Polyclonal Antibody

一键复制产品信息
Rating icon 还可以
货号 TMAB-01939

别名 Uromodulin, Umod, Tamm-Horsfall urinary glycoprotein (THP)

Anti-Uromodulin/Umod Polyclonal Antibody 是一种 Rabbit 抗体,靶向 Uromodulin/Umod。Anti-Uromodulin/Umod Polyclonal Antibody 可用于 IF,IHC-Fr,IHC-P,WB。

Anti-Uromodulin/Umod Polyclonal Antibody
规格价格库存数量
50 μL
¥ 1,160
5日内发货
100 μL
¥ 1,975
5日内发货
200 μL
¥ 2,790
5日内发货
库存状态实时更新,以官网显示为准,现货产品可直接加购物车下单
大包装 & 定制
加入购物车

TargetMol的所有产品仅用作科学研究或药证申报,不能被用于人体,我们不向个人提供产品和服务。请您遵守承诺用途,不得违反法律法规规定用于任何其他用途。

实验操作小课堂
常见问题解答
查看更多

资源下载:产品操作手册

产品介绍


生物活性
产品描述
Anti-Uromodulin/Umod Polyclonal Antibody is a Rabbit antibody targeting Uromodulin/Umod. Anti-Uromodulin/Umod Polyclonal Antibody can be used in IF,IHC-Fr,IHC-P,WB.
别名
Uromodulin, Umod, Tamm-Horsfall urinary glycoprotein (THP)
Ig Type
IgG
反应种属
Human,Mouse,Rat
验证活性
1. Sample:
Lane 1: Recombinant human UMOD protein, N-His
Primary: Anti-UMOD (TMAB-01939) at 1/1000 dilution
Secondary: IRDye800CW Goat Anti-Rabbit IgG at 1/20000 dilution
Predicted band size: 69 kDa
Observed band size: 37 kDa
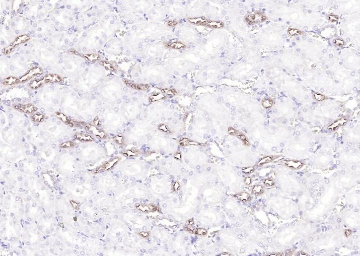
2. Paraformaldehyde-fixed, paraffin embedded Rat Kidney; Antigen retrieval by boiling in sodium citrate buffer (pH6.0) for 15 min; Antibody incubation with UMOD Polyclonal Antibody, Unconjugated (TMAB-01939) at 1:200 overnight at 4°C, followed by conjugation to the secondary antibody and DAB staining.
3. Paraformaldehyde-fixed, paraffin embedded Mouse Kidney; Antigen retrieval by boiling in sodium citrate buffer (pH6.0) for 15 min; Antibody incubation with UMOD Polyclonal Antibody, Unconjugated (TMAB-01939) at 1:200 overnight at 4°C, followed by conjugation to the secondary antibody and DAB staining.
verifiedActivityverifiedActivityverifiedActivity
应用IFIHC-FrIHC-PWB
推荐剂量
WB: 1:500-2000; IHC-P: 1:400-800; IHC-Fr: 1:400-800; IF: 1:100-500
抗体种类
Polyclonal
宿主来源Rabbit
亚细胞定位Apical cell membrane; Lipid-anchor, GPI-anchor (By similarity). Basolateral cell membrane; Lipid-anchor, GPI-anchor (By similarity). Cell projection, cilium membrane (By similarity). Note=Only a small fraction is sorts to the basolateral pole of tubular epithelial cells compared to apical localization (By similarity).Uromodulin, secreted form: Secreted (By similarity).
组织特异性Synthesized exclusively in the kidney.Expressed exclusively by epithelial cells of the thick ascendinglimb of Henle's loop (TALH) and of distal convoluted tubule lumen.Most abundant protein in normal urine.
构建方式Polyclonal Antibody
纯化方式Protein A purified
性状Liquid
缓冲液0.01M TBS (pH7.4) with 1% BSA, 0.02% Proclin300 and 50% Glycerol.
浓度1 mg/mL
研究背景The protein encoded by this gene is the most abundant protein in mammalian urine under physiological conditions. Its excretion in urine follows proteolytic cleavage of the ectodomain of its glycosyl phosphatidylinosital-anchored counterpart that is situated on the luminal cell surface of the loop of Henle. This protein may act as a constitutive inhibitor of calcium crystallization in renal fluids. Excretion of this protein in urine may provide defense against urinary tract infections caused by uropathogenic bacteria. Defects in this gene are associated with the renal disorders medullary cystic kidney disease-2 (MCKD2), glomerulocystic kidney disease with hyperuricemia and isosthenuria (GCKDHI), and familial juvenile hyperuricemic nephropathy (FJHN). Alternative splicing of this gene results in multiple transcript variants. [provided by RefSeq, Jul 2013].
抗原信息
免疫原
KLH conjugated synthetic peptide: mouse UMOD
抗原种属
Mouse
基因名称
UMOD
蛋白名称
Uromodulin
研究领域
Other Antibodies
功能
Uromodulin: Functions in biogenesis and organization of the apical membrane of epithelial cells of the thick ascending limb of Henle's loop (TALH), where it promotes formation of complex filamentous gel-like structure providing the water barrier permeability. May serve as a receptor for binding and endocytosis for cytokines (IL-1, IL-2) and TNF. Facilitates neutrophil migration across renal epithelial (By similarity).Uromodulin, secreted form: Secreted into urine after proteolytically cleaveage. Into the urine, may contribute to colloid osmotic pressure, retards passage of positively charged electrolytes, prevents urinary tract infection and modulates formation of supersaturated salts and their crystals.
化学信息
分子量Theoretical: 61/65 kDa. Actual: 37 kDa.
储存&溶解度
储存方式Store at -20°C or -80°C for 12 months. Avoid repeated freeze-thaw cycles.
运输方式Shipping with blue ice.

计算器

  • 稀释 计算器
  • 配液 计算器

关键词

Related Tags: buy Anti-Uromodulin/Umod Polyclonal Antibody | purchase Anti-Uromodulin/Umod Polyclonal Antibody | Anti-Uromodulin/Umod Polyclonal Antibody cost | order Anti-Uromodulin/Umod Polyclonal Antibody | Anti-Uromodulin/Umod Polyclonal Antibody molecular weight