购物车
  • TargetMol
    您的购物车当前为空

Anti-TSHR (CT) Polyclonal Antibody

Synonyms: TSHR, Thyrotropin receptor, Thyroid-stimulating hormone receptor (TSH-R), LGR3
货号 TMAB-01912 一键复制产品信息
Rating icon 还可以

Anti-TSHR (CT) Polyclonal Antibody 是一种 Rabbit 抗体,靶向 TSHR (CT)。Anti-TSHR (CT) Polyclonal Antibody 可用于 IF,IHC-Fr,IHC-P,WB。

Anti-TSHR (CT) Polyclonal Antibody

一键复制产品信息
Rating icon 还可以
货号 TMAB-01912

别名 TSHR, Thyrotropin receptor, Thyroid-stimulating hormone receptor (TSH-R), LGR3

Anti-TSHR (CT) Polyclonal Antibody 是一种 Rabbit 抗体,靶向 TSHR (CT)。Anti-TSHR (CT) Polyclonal Antibody 可用于 IF,IHC-Fr,IHC-P,WB。

Anti-TSHR (CT) Polyclonal Antibody
规格价格库存数量
50 μL
¥ 1,160
5日内发货
100 μL
¥ 1,965
5日内发货
200 μL
¥ 2,795
5日内发货
库存状态实时更新,以官网显示为准,现货产品可直接加购物车下单
大包装 & 定制
加入购物车

TargetMol的所有产品仅用作科学研究或药证申报,不能被用于人体,我们不向个人提供产品和服务。请您遵守承诺用途,不得违反法律法规规定用于任何其他用途。

实验操作小课堂
常见问题解答
查看更多

资源下载:产品操作手册

产品介绍


生物活性
产品描述
Anti-TSHR (CT) Polyclonal Antibody is a Rabbit antibody targeting TSHR (CT). Anti-TSHR (CT) Polyclonal Antibody can be used in IF,IHC-Fr,IHC-P,WB.
别名
TSHR, Thyrotropin receptor, Thyroid-stimulating hormone receptor (TSH-R), LGR3
Ig Type
IgG
反应种属
Human (predicted:Rat,Chicken,Pig,Cow,Horse,Rabbit,GuineaPig)
验证活性
1. Tissue/cell: human thyroid carcinoma; 4% Paraformaldehyde-fixed and paraffin-embedded;
Antigen retrieval: citrate buffer (0.01M, pH6.0), Boiling bathing for 15 min; Block endogenous peroxidase by 3% Hydrogen peroxide for 30 min; Blocking buffer (normal goat serum) at 37°C for 20 min;
Incubation: Anti-TSHr (CT) Polyclonal Antibody, Unconjugated (TMAB-01912) 1:200, overnight at 4°C, followed by conjugation to the secondary antibody and DAb staining.
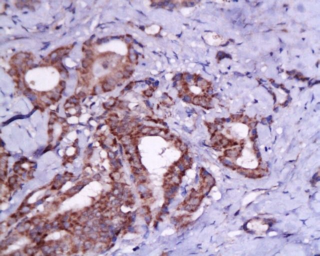
2. Paraformaldehyde-fixed, paraffin embedded (human parotid gland); Antigen retrieval by boiling in sodium citrate buffer (pH6.0) for 15 min; Block endogenous peroxidase by 3% hydrogen peroxide for 20 min; Blocking buffer (normal goat serum) at 37°C for 30 min; Antibody incubation with (TSHR) Polyclonal Antibody, Unconjugated (TMAB-01912) at 1:500 overnight at 4°C, followed by a conjugated secondary for 20 min and DAB staining.
3. Sample:
Lane 1: Human Jurkat cell lysates
Lane 2: Human TT cell lysates
Primary: Anti-TSHR (CT) (TMAB-01912) at 1/2000 dilution
Secondary: IRDye800CW Goat Anti-Rabbit IgG at 1/20000 dilution
Predicted band size: 86 kDa
Observed band size: 130 kDa
verifiedActivityverifiedActivityverifiedActivity
应用IFIHC-FrIHC-PWB
推荐剂量
WB: 1:500-2000; IHC-P: 1:100-500; IHC-Fr: 1:100-500; IF: 1:100-500
抗体种类
Polyclonal
宿主来源Rabbit
亚细胞定位Cell membrane; Multi-pass membrane protein.
组织特异性Expressed in the thyroid.
构建方式Polyclonal Antibody
纯化方式Protein A purified
性状Liquid
缓冲液0.01M TBS (pH7.4) with 1% BSA, 0.02% Proclin300 and 50% Glycerol.
浓度1 mg/mL
研究背景The glycoprotein hormone receptor family consists of the luteinizing hormone receptor, the follicle-stimulating hormone receptor, and the thyroid stimulating hormone(TSH) receptor. TSH, which is released from the pituitary gland, binds to the TSH receptor on thyroid cells to control size and function of the thyroid gland (De Felice et al. 2004). The TSH receptor signals through Gs to elevate intracellular cAMP in the thyroid gland, which regulates iodide uptake, and transcription of thyroglobulin (Tg), thyroid peroxidase (TPO), and sodium-iodide symporter. The TSH receptor also signals Gq and phospholipase C to regulat iodide efflux, H2O2 production, and thyroglobulin iodination. Autoimmunity to the TSH receptor causes hyperthyroidism (Graves disease) or hypothyroidism (Hashimoto thyroiditis) when the autoantibodies function as agonists or antagonists, respectively, at the TSH receptor (Rapoport and McLachlan, 2001; Davies et al., 2002). Millipore’s cloned human TSH receptor-expressing cell line is made in the Chem-10 host, which supports high levels of recombinant TSH receptor expression on the cell surface and contains high levels of the promiscuous G protein to couple the receptor to the calcium signaling pathway. Thus, the cell line is an ideal tool for screening for antagonists of interactions between TSH and its ligands.
抗原信息
免疫原
KLH conjugated synthetic peptide: human TSHR
抗原种属
Human
基因名称
TSHR
基因ID
蛋白名称
Thyrotropin receptor
Uniprot ID
研究领域
Thyroid axis,Hormones
功能
Receptor for thyrothropin. Plays a central role in controlling thyroid cell metabolism. The activity of this receptor is mediated by G proteins which activate adenylate cyclase. Also acts as a receptor for thyrostimulin (GPA2+GPB5).
化学信息
分子量Theoretical: 86 kDa. Actual: 130 kDa.
储存&溶解度
储存方式Store at -20°C or -80°C for 12 months. Avoid repeated freeze-thaw cycles.
运输方式Shipping with blue ice.

计算器

  • 稀释 计算器
  • 配液 计算器

关键词

Related Tags: buy Anti-TSHR (CT) Polyclonal Antibody | purchase Anti-TSHR (CT) Polyclonal Antibody | Anti-TSHR (CT) Polyclonal Antibody cost | order Anti-TSHR (CT) Polyclonal Antibody | Anti-TSHR (CT) Polyclonal Antibody molecular weight