购物车
  • TargetMol
    您的购物车当前为空

Anti-TIM-1/KIM-1/HAVCR1 Antibody (1N213)

Synonyms: TIMD-1, TIMD1, TIM-1, TIM1, TIM, KIM-1, KIM1, HAVCR-1, HAVCR1, HAVCR, CD365
货号 TMAC-02318 一键复制产品信息
Rating icon 还可以

Anti-TIM-1/KIM-1/HAVCR1 Antibody (1N213) 是一种 Mouse 抗体,靶向 TIM-1/KIM-1/HAVCR1。Anti-TIM-1/KIM-1/HAVCR1 Antibody (1N213) 可用于 ICC,IHC,WB。

Anti-TIM-1/KIM-1/HAVCR1 Antibody (1N213)

一键复制产品信息
Rating icon 还可以
货号 TMAC-02318

别名 TIMD-1, TIMD1, TIM-1, TIM1, TIM, KIM-1, KIM1, HAVCR-1, HAVCR1, HAVCR, CD365

Anti-TIM-1/KIM-1/HAVCR1 Antibody (1N213) 是一种 Mouse 抗体,靶向 TIM-1/KIM-1/HAVCR1。Anti-TIM-1/KIM-1/HAVCR1 Antibody (1N213) 可用于 ICC,IHC,WB。

Anti-TIM-1/KIM-1/HAVCR1 Antibody (1N213)
规格价格库存数量
50 μL
¥ 1,995
5日内发货
100 μL
¥ 2,990
5日内发货
库存状态实时更新,以官网显示为准,现货产品可直接加购物车下单
大包装 & 定制
加入购物车

TargetMol的所有产品仅用作科学研究或药证申报,不能被用于人体,我们不向个人提供产品和服务。请您遵守承诺用途,不得违反法律法规规定用于任何其他用途。

实验操作小课堂
常见问题解答
查看更多

资源下载:产品操作手册

产品介绍


生物活性
产品描述
Anti-TIM-1/KIM-1/HAVCR1 Antibody (1N213) is a Mouse antibody targeting TIM-1/KIM-1/HAVCR1. Anti-TIM-1/KIM-1/HAVCR1 Antibody (1N213) can be used in ICC,IHC,WB.
别名
TIMD-1, TIMD1, TIM-1, TIM1, TIM, KIM-1, KIM1, HAVCR-1, HAVCR1, HAVCR, CD365
克隆号
1N213
反应种属
Human
验证活性
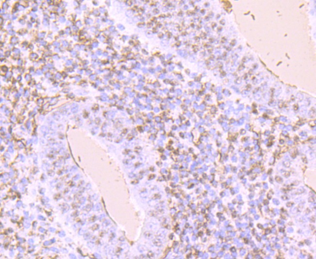
1. Immunohistochemical analysis of paraffin-embedded human uterus tissue using anti-KIM1 antibody. Counter stained with hematoxylin.
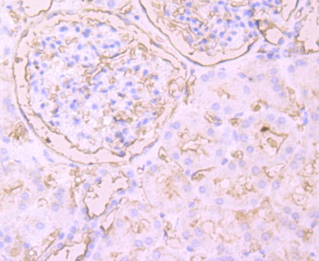
2. Immunohistochemical analysis of paraffin-embedded human kidney tissue using anti-KIM1 antibody. Counter stained with hematoxylin.
3. ICC staining KIM1 in Hela cells (red). The nuclear counter stain is DAPI (blue). Cells were fixed in paraformaldehyde, permeabilised with 0.25% Triton X100/PBS.
4. ICC staining KIM1 in PC-12 cells (green). The nuclear counter stain is DAPI (blue). Cells were fixed in paraformaldehyde, permeabilised with 0.25% Triton X100/PBS.
verifiedActivityverifiedActivityverifiedActivityverifiedActivity
应用ICCIHCWB
推荐剂量
WB: 1:500-1000; IHC: 1:50-200; ICC: 1:50-200
抗体种类
Monoclonal
宿主来源Mouse
构建方式Hybridoma Monoclonal Antibody
性状Liquid
缓冲液1*TBS (pH7.4), 1%BSA, 40%Glycerol. Preservative: 0.12% Sodium Azide.
研究背景May play a role in T-helper cell development and the regulation of asthma and allergic diseases. Receptor for TIMD4 (By similarity). May play a role in kidney injury and repair. (Microbial infection) Acts as a receptor for hepatitis A virus. Acts as a receptor for ebolavirus and marburg virus by binding exposed phosphatidyl-serine at the surface of virion membrane. Acts as a receptor for Dengue virus by binding exposed phosphatidyl-serine at the surface of virion membrane.
偶联与修饰
偶联
Unconjugated
抗原信息
免疫原
Recombinant Protein
Uniprot ID
化学信息
分子量Theoretical: 39 kDa.
储存&溶解度
储存方式Store at -20°C or -80°C for 12 months. Avoid repeated freeze-thaw cycles.
运输方式Shipping with blue ice.

计算器

  • 稀释 计算器
  • 配液 计算器
Related Tags: buy Anti-TIM-1/KIM-1/HAVCR1 Antibody (1N213) | purchase Anti-TIM-1/KIM-1/HAVCR1 Antibody (1N213) | Anti-TIM-1/KIM-1/HAVCR1 Antibody (1N213) cost | order Anti-TIM-1/KIM-1/HAVCR1 Antibody (1N213) | Anti-TIM-1/KIM-1/HAVCR1 Antibody (1N213) molecular weight