购物车
  • TargetMol
    您的购物车当前为空

Anti-PDGFRB Antibody (6N196)

Synonyms: PDGFR-β, PDGFRB, PDGFR-2, PDGFR1, PDGFR, PDGF R β/CD140b, PDGF R β, PDGF R beta, JTK12, CD140B
货号 TMAC-03114 一键复制产品信息
Rating icon 还可以

Anti-PDGFRB Antibody (6N196) 是一种 Rabbit 抗体,靶向 PDGFRB。Anti-PDGFRB Antibody (6N196) 可用于 IHC,IP,WB。

Anti-PDGFRB Antibody (6N196)

一键复制产品信息
Rating icon 还可以
货号 TMAC-03114

别名 PDGFR-β, PDGFRB, PDGFR-2, PDGFR1, PDGFR, PDGF R β/CD140b, PDGF R β, PDGF R beta, JTK12, CD140B

Anti-PDGFRB Antibody (6N196) 是一种 Rabbit 抗体,靶向 PDGFRB。Anti-PDGFRB Antibody (6N196) 可用于 IHC,IP,WB。

Anti-PDGFRB Antibody (6N196)
规格价格库存数量
50 μL
¥ 1,495
5日内发货
100 μL
¥ 2,490
5日内发货
库存状态实时更新,以官网显示为准,现货产品可直接加购物车下单
大包装 & 定制
加入购物车

TargetMol的所有产品仅用作科学研究或药证申报,不能被用于人体,我们不向个人提供产品和服务。请您遵守承诺用途,不得违反法律法规规定用于任何其他用途。

实验操作小课堂
常见问题解答
查看更多

资源下载:产品操作手册

产品介绍


生物活性
产品描述
Anti-PDGFRB Antibody (6N196) is a Rabbit antibody targeting PDGFRB. Anti-PDGFRB Antibody (6N196) can be used in IHC,IP,WB.
别名
PDGFR-β, PDGFRB, PDGFR-2, PDGFR1, PDGFR, PDGF R β/CD140b, PDGF R β, PDGF R beta, JTK12, CD140B
Ig Type
IgG
克隆号
6N196
反应种属
Human,Mouse,Rat
验证活性
1. Western blot analysis of PDGF Receptor beta on NIH/3T3 cell lysates using anti-PDGF Receptor beta antibody at 1/1,000 dilution.
2. Immunohistochemical analysis of paraffin-embedded human lung tissue using anti-PDGF Receptor beta antibody. Counter stained with hematoxylin.
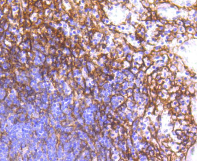
3. Immunohistochemical analysis of paraffin-embedded human spleen tissue using anti-PDGF Receptor beta antibody. Counter stained with hematoxylin.
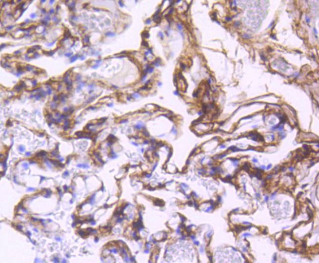
4. Immunohistochemical analysis of paraffin-embedded mouse lung tissue using anti-PDGF Receptor beta antibody. Counter stained with hematoxylin.
5. Immunohistochemical analysis of paraffin-embedded mouse brain tissue using anti-PDGF Receptor beta antibody. Counter stained with hematoxylin.
verifiedActivityverifiedActivityverifiedActivityverifiedActivityverifiedActivity
应用IHCIPWB
推荐剂量
WB: 1:1000-5000; IHC: 1:50-200
抗体种类
Monoclonal
宿主来源Rabbit
构建方式Recombinant Antibody
纯化方式ProA affinity purified
性状Liquid
缓冲液1*TBS (pH7.4), 1%BSA, 40%Glycerol. Preservative: 0.05% Sodium Azide.
研究背景Platelet-derived growth factor (PDGF) is a mitogen for mesenchyme- and glia-derived cells. PDGF consists of two chains, A and B, which dimerize to form functionally distinct isoforms, PGDF-AA, PDGF-AB and PDGF-BB. These three isoforms bind with different affinities to two receptor types, PDGFR-α and ?Cβ, which are endowed with protein tyrosine kinase domains. PDGFR-α can bind to both A and B subunits of PDGF, while PDGFR-β can only bind the B subunit. Ligand binding promotes either homo- or heterodimerization of the PDGF receptors in a specific manner. PDGF-AA induces the dimerization of two α receptors, PDGF-AB induces dimerization of αα and αβ and PDGF-BB induces the formation of three types of dimers, αα, αβ and ββ. Translocation of the PDGFR-?? gene with the Tel gene is linked to chronic myelomonocytic leukemia (CMML), a myelodysplastic syndrome, and demonstrates the oncogenic potential of the PDGF receptors.
偶联与修饰
偶联
Unconjugated
抗原信息
免疫原
Recombinant Protein
Uniprot ID
化学信息
分子量Theoretical: 170 kDa.
储存&溶解度
储存方式Store at -20°C or -80°C for 12 months. Avoid repeated freeze-thaw cycles.
运输方式Shipping with blue ice.

计算器

  • 稀释 计算器
  • 配液 计算器
Related Tags: buy Anti-PDGFRB Antibody (6N196) | purchase Anti-PDGFRB Antibody (6N196) | Anti-PDGFRB Antibody (6N196) cost | order Anti-PDGFRB Antibody (6N196) | Anti-PDGFRB Antibody (6N196) molecular weight