• TargetMol
    您的购物车当前为空

Anti-MMP-3 Antibody (6H498)

一键复制产品信息
Rating icon 还可以
货号 TMAC-02623

别名 Transin-1, Stromelysin-1, STMY1, SL-1, MMP3, Matrix metalloproteinase-3 (MMP-3)

Anti-MMP-3 Antibody (6H498) 是一种 Rabbit 抗体,靶向 MMP-3。Anti-MMP-3 Antibody (6H498) 可用于 IHC,WB。

Anti-MMP-3 Antibody (6H498)

Anti-MMP-3 Antibody (6H498)

一键复制产品信息
Rating icon 还可以
货号 TMAC-02623 别名 Transin-1, Stromelysin-1, STMY1, SL-1, MMP3, Matrix metalloproteinase-3 (MMP-3)

Anti-MMP-3 Antibody (6H498) 是一种 Rabbit 抗体,靶向 MMP-3。Anti-MMP-3 Antibody (6H498) 可用于 IHC,WB。

规格价格库存数量
50 μL
¥ 1,495
5日内发货
100 μL
¥ 2,485
5日内发货
库存状态实时更新,以官网显示为准,现货产品可直接加购物车下单
大包装 & 定制
加入购物车
TargetMol的所有产品仅用作科学研究或药证申报,不能被用于人体,我们不向个人提供产品和服务。请您遵守承诺用途,不得违反法律法规规定用于任何其他用途。
实验操作小课堂
常见问题解答
查看更多
资源下载:

产品介绍


生物活性
产品描述
Anti-MMP-3 Antibody (6H498) is a Rabbit antibody targeting MMP-3. Anti-MMP-3 Antibody (6H498) can be used in IHC,WB.
别名Transin-1, Stromelysin-1, STMY1, SL-1, MMP3, Matrix metalloproteinase-3 (MMP-3)
Ig Type
IgG
克隆号
6H498
反应种属
Human,Mouse,Rat
验证活性
1. Western blot analysis of MMP3 on different lysates using anti-MMP3 antibody at 1/1,000 dilution. Positive control: Lane 1: Human liver, Lane 2: Mouse lung, Lane 3: Rat liver.
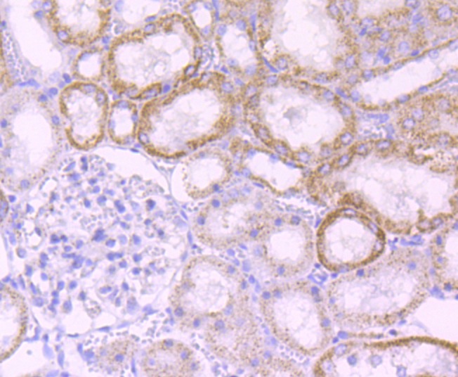
2. Immunohistochemical analysis of paraffin-embedded rat kidney tissue using anti-MMP3 antibody. Counter stained with hematoxylin.
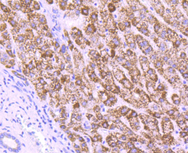
3. Immunohistochemical analysis of paraffin-embedded human liver tissue using anti-MMP3 antibody. Counter stained with hematoxylin.
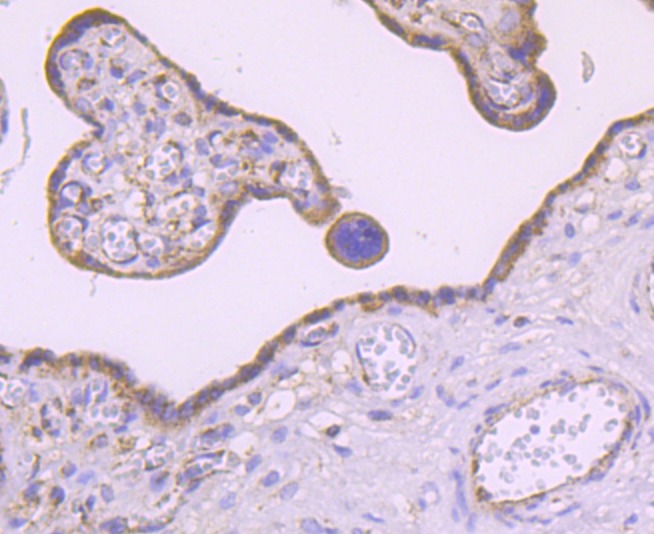
4. Immunohistochemical analysis of paraffin-embedded human placenta tissue using anti-MMP3 antibody. Counter stained with hematoxylin.
5. Immunohistochemical analysis of paraffin-embedded mouse liver tissue using anti-MMP3 antibody. Counter stained with hematoxylin.
verifiedActivityverifiedActivityverifiedActivityverifiedActivityverifiedActivity
应用IHCWB
推荐剂量
WB: 1:500-2000; IHC: 1:50-200
抗体种类
Monoclonal
宿主来源Rabbit
构建方式Recombinant Antibody
纯化方式ProA affinity purified
性状Liquid
缓冲液1*TBS (pH7.4), 1%BSA, 40%Glycerol. Preservative: 0.05% Sodium Azide.
研究背景The matrix metalloproteinases (MMP) are a family of peptidase enzymes responsible for the degradation of extracellular matrix components, including collagen, gelatin, fibronectin, laminin and proteoglycan. Transcription of MMP genes is differentially activated by phorbol ester, lipopolysaccharide (LPS) or staphylococcal enterotoxin B (SEB). MMP catalysis requires both calcium and zinc. MMP-3, MMP-10 and MMP-11 (also designated stromelysin-1, -2 and -3 respectively) activate procollagenase. MMP-3 activation of procollagenase can occur via two pathways. Direct activation by MMP-3 is slow and activation by MMP-3 in conjunction with tissue or plasma proteinases is rapid. MMP-10 is expressed in small intestine, and at lower levels in lung and heart. MMP-11 is specifically expressed in stromal cells of breast carcinomas and contributes to epithelial cell malignancies.
偶联与修饰
偶联
Unconjugated
抗原信息
免疫原
Recombinant Protein
Uniprot ID
储存&溶解度
储存方式Store at -20°C or -80°C for 12 months. Avoid repeated freeze-thaw cycles.
运输方式Shipping with blue ice.
存储store at low temperature | -20°C for 1 year

计算器

  • 稀释 计算器
Related Tags: buy Anti-MMP-3 Antibody (6H498) | purchase Anti-MMP-3 Antibody (6H498) | Anti-MMP-3 Antibody (6H498) cost | order Anti-MMP-3 Antibody (6H498)