购物车
  • TargetMol
    您的购物车当前为空

Anti-TL1A/TNFSF15 Polyclonal Antibody

Synonyms: VEGI-251, VEGI192A, VEGI, TNFSF15, TL1A, TL1
货号 TMAB-01069 一键复制产品信息
Rating icon 还可以

Anti-TL1A/TNFSF15 Polyclonal Antibody 是一种 Rabbit 抗体,靶向 TL1A/TNFSF15。Anti-TL1A/TNFSF15 Polyclonal Antibody 可用于 IF,IHC-Fr,IHC-P,WB。

Anti-TL1A/TNFSF15 Polyclonal Antibody

一键复制产品信息
Rating icon 还可以
货号 TMAB-01069

别名 VEGI-251, VEGI192A, VEGI, TNFSF15, TL1A, TL1

Anti-TL1A/TNFSF15 Polyclonal Antibody 是一种 Rabbit 抗体,靶向 TL1A/TNFSF15。Anti-TL1A/TNFSF15 Polyclonal Antibody 可用于 IF,IHC-Fr,IHC-P,WB。

Anti-TL1A/TNFSF15 Polyclonal Antibody
规格价格库存数量
50 μL
¥ 1,175
5日内发货
100 μL
¥ 1,970
5日内发货
200 μL
¥ 2,795
5日内发货
库存状态实时更新,以官网显示为准,现货产品可直接加购物车下单
大包装 & 定制
加入购物车

TargetMol的所有产品仅用作科学研究或药证申报,不能被用于人体,我们不向个人提供产品和服务。请您遵守承诺用途,不得违反法律法规规定用于任何其他用途。

实验操作小课堂
常见问题解答
查看更多

资源下载:产品操作手册

产品介绍


生物活性
产品描述
Anti-TL1A/TNFSF15 Polyclonal Antibody is a Rabbit antibody targeting TL1A/TNFSF15. Anti-TL1A/TNFSF15 Polyclonal Antibody can be used in IF,IHC-Fr,IHC-P,WB.
别名
VEGI-251, VEGI192A, VEGI, TNFSF15, TL1A, TL1
Ig Type
IgG
反应种属
Human,Mouse (predicted:Rat,Dog,Pig,Cow,Horse,Rabbit,GuineaPig)
验证活性
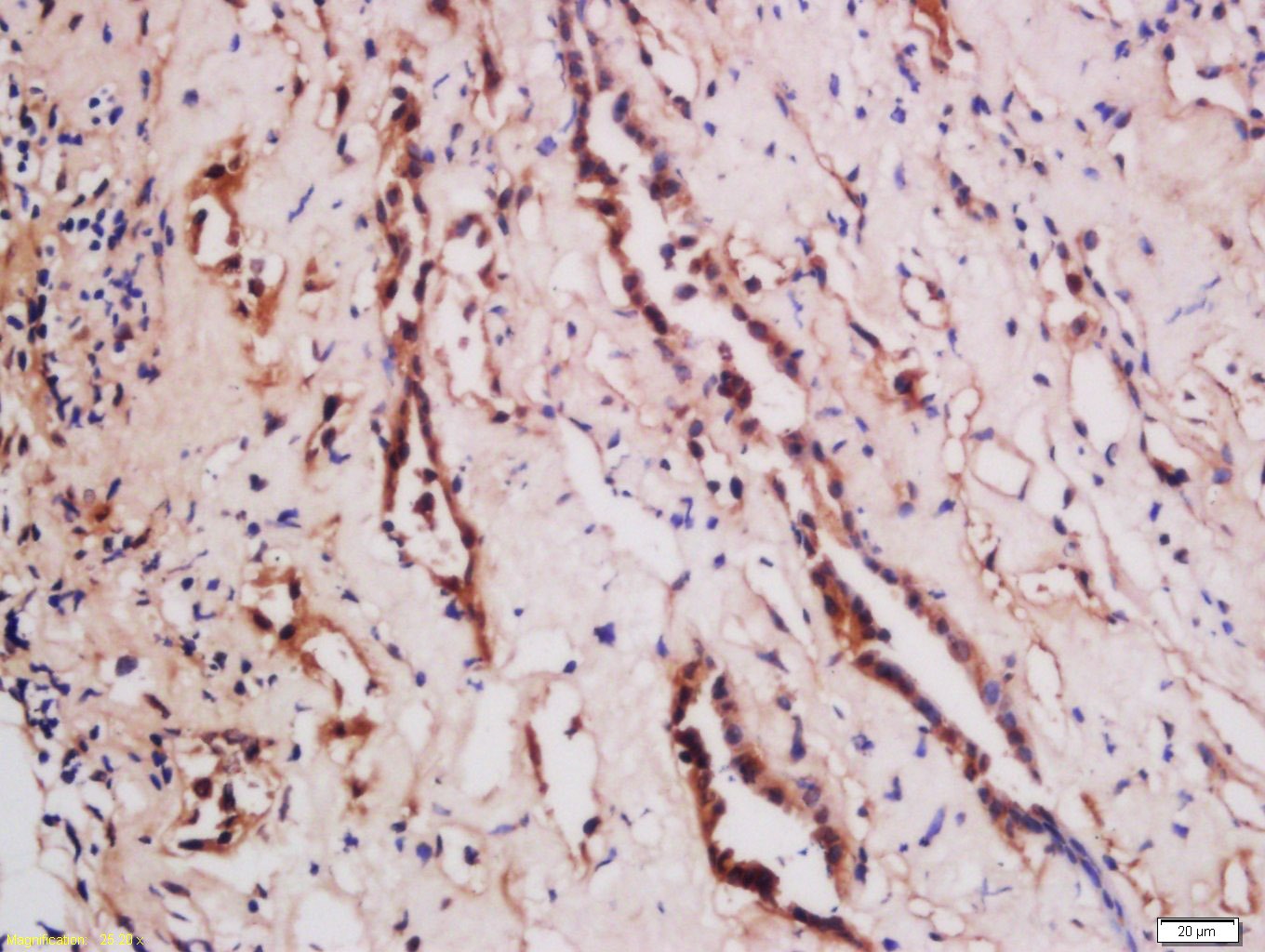
1. Tissue/cell: human kidney tissue; 4% Paraformaldehyde-fixed and paraffin-embedded;
Antigen retrieval: citrate buffer (0.01M, pH6.0), Boiling bathing for 15 min; Block endogenous peroxidase by 3% Hydrogen peroxide for 30 min; Blocking buffer (normal goat serum) at 37°C for 20 min;
Incubation: Anti-TNFSF15 Polyclonal Antibody, Unconjugated (TMAB-01069) 1:200, overnight at 4°C, followed by conjugation to the secondary antibody and DAb staining.
2. Sample:
bone (mouse) Lysate at 40 μg
Primary: Anti-TNFSF15 (TMAB-01069) at 1/300 dilution
Secondary: IRDye800CW Goat Anti-Rabbit IgG at 1/20000 dilution
Predicted band size: 28 kDa
Observed band size: 38 kDa
verifiedActivityverifiedActivity
应用IFIHC-FrIHC-PWB
推荐剂量
WB: 1:500-2000; IHC-P: 1:100-500; IHC-Fr: 1:100-500; IF: 1:100-500
抗体种类
Polyclonal
宿主来源Rabbit
亚细胞定位Membrane; Single-pass type II membrane protein (Probable). Tumor necrosis factor ligand superfamily member 15, secreted form: Secreted.
组织特异性Specifically expressed in endothelial cells. Detected in monocytes, placenta, lung, liver, kidney, skeletal muscle, pancreas, spleen, prostate, small intestine and colon.
构建方式Polyclonal Antibody
纯化方式Protein A purified
性状Liquid
缓冲液0.01M TBS (pH7.4) with 1% BSA, 0.02% Proclin300 and 50% Glycerol.
浓度1 mg/mL
研究背景Receptor for TNFRSF25 and TNFRSF6B. Mediates activation of NF-kappa-B. Inhibits vascular endothelial growth and angiogenesis (in vitro). Promotes activation of caspases and apoptosis.
抗原信息
免疫原
KLH conjugated synthetic peptide: human TNFSF15
抗原种属
Human
基因名称
TNFSF15
基因ID
蛋白名称
Tumor necrosis factor ligand superfamily member 15
Uniprot ID
研究领域
Inhibitors,ChIP kits,TNF Superfamily
功能
Receptor for TNFRSF25 and TNFRSF6B. Mediates activation of NF-kappa-B. Inhibits vascular endothelial growth and angiogenesis (in vitro). Promotes activation of caspases and apoptosis.
化学信息
分子量Theoretical: 28 kDa. Actual: 38 kDa.
储存&溶解度
储存方式Store at -20°C or -80°C for 12 months. Avoid repeated freeze-thaw cycles.
运输方式Shipping with blue ice.

计算器

  • 稀释 计算器
  • 配液 计算器
Related Tags: buy Anti-TL1A/TNFSF15 Polyclonal Antibody | purchase Anti-TL1A/TNFSF15 Polyclonal Antibody | Anti-TL1A/TNFSF15 Polyclonal Antibody cost | order Anti-TL1A/TNFSF15 Polyclonal Antibody | Anti-TL1A/TNFSF15 Polyclonal Antibody molecular weight