购物车
  • 全部删除
  • TargetMol
    您的购物车当前为空

Anti-IGFBP2 Antibody (2T360)

一键复制产品信息
Rating icon 还可以
产品编号 TMAC-02100
别名 mIGFBP-2, IGF-BP53, IGFBP-2, IGFBP2, IBP-2, BP2, AI255832

Anti-IGFBP2 Antibody (2T360) 是一种 Rabbit 抗体,靶向 IGFBP2。Anti-IGFBP2 Antibody (2T360) 可用于 IHC,WB。

Anti-IGFBP2 Antibody (2T360)

Anti-IGFBP2 Antibody (2T360)

一键复制产品信息
Rating icon 还可以
产品编号 TMAC-02100 别名 mIGFBP-2, IGF-BP53, IGFBP-2, IGFBP2, IBP-2, BP2, AI255832

Anti-IGFBP2 Antibody (2T360) 是一种 Rabbit 抗体,靶向 IGFBP2。Anti-IGFBP2 Antibody (2T360) 可用于 IHC,WB。

规格价格库存数量
50 μL
¥ 1,480
5日内发货
100 μL
¥ 2,495
5日内发货
大包装 & 定制
加入购物车
TargetMol 的所有产品仅用作科学研究或药证申报,不能被用于人体,我们不向个人提供产品和服务。请您遵守承诺用途,不得违反法律法规规定用于任何其他用途。
实验操作小课堂
常见问题解答
查看更多
联系我们获取更多批次信息
资源下载

产品介绍

生物活性
产品描述
Anti-IGFBP2 Antibody (2T360) is a Rabbit antibody targeting IGFBP2. Anti-IGFBP2 Antibody (2T360) can be used in IHC,WB.
别名mIGFBP-2, IGF-BP53, IGFBP-2, IGFBP2, IBP-2, BP2, AI255832
Ig Type
IgG
克隆号
2T360
交叉反应
Human
验证活性
1. Western blot analysis of IGFBP2 on Human serum (1) and NCCIT (2) lysates using anti-IGFBP2 antibody at 1/500 dilution.
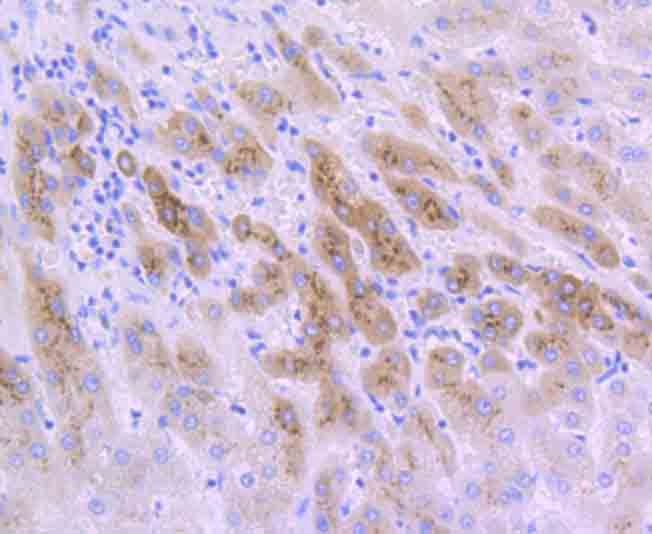
2. Immunohistochemical analysis of paraffin-embedded human liver tissue using anti-IGFBP2 antibody. Counter stained with hematoxylin.
verifiedActivityverifiedActivity
应用IHCWB
推荐剂量
WB: 1:500-2000; IHC: 1:50-200
抗体种类
Monoclonal
宿主来源Rabbit
构建方式Recombinant Antibody
纯化方式ProA affinity purified
性状Liquid
缓冲液1*TBS (pH7.4), 1%BSA, 40%Glycerol. Preservative: 0.05% Sodium Azide.
研究背景The Insulin-like growth factor-binding proteins (IGFBPs), a family of homologous proteins that have co-evolved with the IGFs, serve not only as shuttle molecules for the soluble IGFs, but also confer a level of regulation to the IGF signaling system. Physical association of the IGFBPs with IGF influences the bio-availability of the growth factors, and their concentration and distribution in the extracellular environment. The IGFBPs also appear to have biological activity independent of the IGFs. Seven IGFBPs have been described, each differing in their tissue distribution, half-lives and modulation of IGF interactions with their receptors. IGFBP1 is negatively regulated by Insulin production. The IGFBP1 gene is expressed at a high level during fetal liver development and in response to nutritional changes and diabetes. IGFBP2, which may function as a chaperone, escorting IGFs to their target tissues, is expressed in several human tissues including fetal eye and fetal brain.
偶联与修饰
偶联
Unconjugated
抗原信息
免疫原
Recombinant Protein
Uniprot ID
化学信息
分子量Theoretical: 35 kDa.
存储&运输
储存方式Store at -20°C or -80°C for 12 months. Avoid repeated freeze-thaw cycles.
运输方式Shipping with blue ice.

计算器

  • 稀释 计算器

关键词

评论列表

4个月前
5.0
Rating icon 很棒

评论内容

Related Tags: buy Anti-IGFBP2 Antibody (2T360) | purchase Anti-IGFBP2 Antibody (2T360) | Anti-IGFBP2 Antibody (2T360) cost | order Anti-IGFBP2 Antibody (2T360) | Anti-IGFBP2 Antibody (2T360) molecular weight