购物车
  • TargetMol
    您的购物车当前为空

Anti-Tri-methyl-HIST1H3A (Lys27) Polyclonal Antibody

Synonyms: Tri-methyl-HIST1H3A (K27), Tri-Me-HIST1H3A (Lys27), Tri-Me-HIST1H3A (K27), TriMe-H3K27, Histone H3K27-trimethylated, H3K27me3
货号 TMAC-01910 一键复制产品信息
Rating icon 还可以

Anti-Tri-methyl-HIST1H3A (Lys27) Polyclonal Antibody 是一种 Rabbit 抗体,靶向 Tri-methyl-HIST1H3A (Lys27)。Anti-Tri-methyl-HIST1H3A (Lys27) Polyclonal Antibody 可用于 IF,IHC,WB。

Anti-Tri-methyl-HIST1H3A (Lys27) Polyclonal Antibody

一键复制产品信息
Rating icon 还可以
货号 TMAC-01910

别名 Tri-methyl-HIST1H3A (K27), Tri-Me-HIST1H3A (Lys27), Tri-Me-HIST1H3A (K27), TriMe-H3K27, Histone H3K27-trimethylated, H3K27me3

Anti-Tri-methyl-HIST1H3A (Lys27) Polyclonal Antibody 是一种 Rabbit 抗体,靶向 Tri-methyl-HIST1H3A (Lys27)。Anti-Tri-methyl-HIST1H3A (Lys27) Polyclonal Antibody 可用于 IF,IHC,WB。

Anti-Tri-methyl-HIST1H3A (Lys27) Polyclonal Antibody
规格价格库存数量
50 μL
¥ 1,480
5日内发货
100 μL
¥ 2,245
5日内发货
库存状态实时更新,以官网显示为准,现货产品可直接加购物车下单
大包装 & 定制
加入购物车

TargetMol的所有产品仅用作科学研究或药证申报,不能被用于人体,我们不向个人提供产品和服务。请您遵守承诺用途,不得违反法律法规规定用于任何其他用途。

实验操作小课堂
常见问题解答
查看更多

选择批次:
颜色: 无色透明
性状: Liquid
资源下载: COA产品操作手册

产品介绍


生物活性
产品描述
Anti-Tri-methyl-HIST1H3A (Lys27) Polyclonal Antibody is a Rabbit antibody targeting Tri-methyl-HIST1H3A (Lys27). Anti-Tri-methyl-HIST1H3A (Lys27) Polyclonal Antibody can be used in IF,IHC,WB.
别名
Tri-methyl-HIST1H3A (K27), Tri-Me-HIST1H3A (Lys27), Tri-Me-HIST1H3A (K27), TriMe-H3K27, Histone H3K27-trimethylated, H3K27me3
Ig Type
IgG
反应种属
Human,Mouse,Rat
验证活性
1. Western blot analysis of extracts from HT29 and C6 cells using Histone H3 (Tri-Methyl-Lys27) Antibody TMAC-01910.
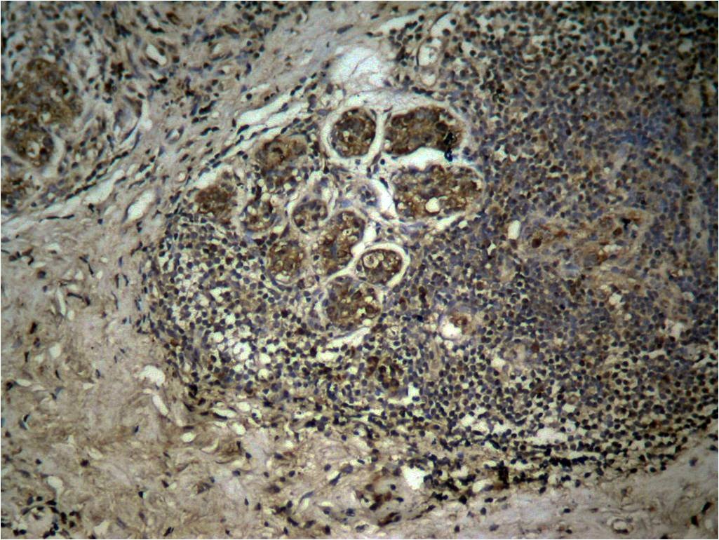
2. Immunohistochemical analysis of paraffin-embedded human breast carcinoma tissue using Histone H3 (Tri-Methyl-Lys27) AntibodyTMAC-01910.
3. Immunofluorescence staining of methanol-fixed MEF cells using Histone H3 (Tri-Methyl-Lys27) Antibody TMAC-01910.
verifiedActivityverifiedActivityverifiedActivity
应用IFIHCWB
抗体种类
Polyclonal
宿主来源Rabbit
构建方式Polyclonal Antibody
纯化方式Antibodies were produced by immunizing rabbits with synthetic phosphopeptide and KLH conjugates. Antibodies were purified by affinity-chromatography using epitope-specific phosphopeptide. Non-phospho specific antibodies were removed by chromatogramphy using non-phosphopeptide.
性状Liquid
缓冲液Supplied at 1.0mg/mL in phosphate buffered saline (without Mg2+ and Ca2+), pH 7.4, 150mM NaCl, 0.02% sodium azide and 50% glycerol.
研究背景Core component of nucleosome. Nucleosomes wrap and compact DNA into chromatin, limiting DNA accessibility to the cellular machineries which require DNA as a template. Histones thereby play a central role in transcription regulation, DNA repair, DNA replication and chromosomal stability. DNA accessibility is regulated via a complex set of post-translational modifications of histones, also called histone code, and nucleosome remodeling.
偶联与修饰
偶联
Unconjugated
其他可选修饰符
Methylated/Acetylated
抗原信息
免疫原
Peptide sequence around Tri-Methylation site of lysine 27(A-R-K(tri-methyl)-S-A) derived from Human Histone H3
抗原种属
human
Uniprot ID
化学信息
分子量Actual: 17 kDa.
储存&溶解度
储存方式Store at -20°C or -80°C for 12 months. Avoid repeated freeze-thaw cycles.
运输方式Shipping with blue ice.

计算器

  • 稀释 计算器
  • 配液 计算器
Related Tags: buy Anti-Tri-methyl-HIST1H3A (Lys27) Polyclonal Antibody | purchase Anti-Tri-methyl-HIST1H3A (Lys27) Polyclonal Antibody | Anti-Tri-methyl-HIST1H3A (Lys27) Polyclonal Antibody cost | order Anti-Tri-methyl-HIST1H3A (Lys27) Polyclonal Antibody | Anti-Tri-methyl-HIST1H3A (Lys27) Polyclonal Antibody molecular weight