购物车
  • 全部删除
  • TargetMol
    您的购物车当前为空

Anti-HDAC3 Antibody (9R940)

一键复制产品信息
Rating icon 还可以
产品编号 TMAC-01777
别名 SMAP45, RPD3-2, Protein deacylase HDAC3, Protein deacetylase HDAC3, Histone deacetylase 3, HDAC3, HD3

Anti-HDAC3 Antibody (9R940) 是一种 Rabbit 抗体,靶向 HDAC3。Anti-HDAC3 Antibody (9R940) 可用于 ICC/IF,IHC,IP,WB。

Anti-HDAC3 Antibody (9R940)

Anti-HDAC3 Antibody (9R940)

一键复制产品信息
Rating icon 还可以
产品编号 TMAC-01777 别名 SMAP45, RPD3-2, Protein deacylase HDAC3, Protein deacetylase HDAC3, Histone deacetylase 3, HDAC3, HD3

Anti-HDAC3 Antibody (9R940) 是一种 Rabbit 抗体,靶向 HDAC3。Anti-HDAC3 Antibody (9R940) 可用于 ICC/IF,IHC,IP,WB。

规格价格库存数量
50 μL
¥ 1,490
5日内发货
100 μL
¥ 2,485
5日内发货
大包装 & 定制
加入购物车
TargetMol 的所有产品仅用作科学研究或药证申报,不能被用于人体,我们不向个人提供产品和服务。请您遵守承诺用途,不得违反法律法规规定用于任何其他用途。
实验操作小课堂
常见问题解答
查看更多
联系我们获取更多批次信息
资源下载

产品介绍

生物活性
产品描述
Anti-HDAC3 Antibody (9R940) is a Rabbit antibody targeting HDAC3. Anti-HDAC3 Antibody (9R940) can be used in ICC/IF,IHC,IP,WB.
别名SMAP45, RPD3-2, Protein deacylase HDAC3, Protein deacetylase HDAC3, Histone deacetylase 3, HDAC3, HD3
Ig Type
IgG
克隆号
9R940
交叉反应
Human,Mouse,Rat
验证活性
1. Western blot analysis of HDAC3 on NIH/3T3 cell lysates using anti-HDAC3 antibody at 1/1,000 dilution.
2. Immunohistochemical analysis of paraffin-embedded human tonsil tissue using anti-HDAC3 antibody. Counter stained with hematoxylin.
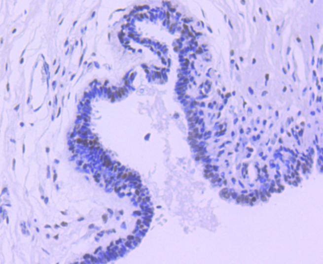
3. Immunohistochemical analysis of paraffin-embedded human breast carcinoma tissue using anti-HDAC3 antibody. Counter stained with hematoxylin.
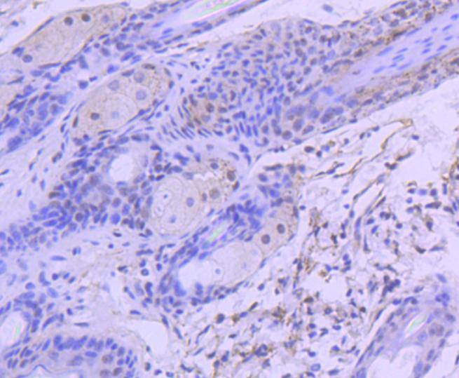
4. Immunohistochemical analysis of paraffin-embedded mouse skin tissue using anti-HDAC3 antibody. Counter stained with hematoxylin.
5. ICC staining HDAC3 in Hela cells (green). The nuclear counter stain is DAPI (blue). Cells were fixed in paraformaldehyde, permeabilised with 0.25% Triton X100/PBS.
6. ICC staining HDAC3 in NIH/3T3 cells (green). The nuclear counter stain is DAPI (blue). Cells were fixed in paraformaldehyde, permeabilised with 0.25% Triton X100/PBS.
verifiedActivityverifiedActivityverifiedActivityverifiedActivityverifiedActivityverifiedActivity
应用ICC/IFIHCIPWB
推荐剂量
WB: 1:1000-5000; IHC: 1:50-200; ICC/IF: 1:50
抗体种类
Monoclonal
宿主来源Rabbit
构建方式Recombinant Antibody
纯化方式ProA affinity purified
性状Liquid
缓冲液1*TBS (pH7.4), 1%BSA, 40%Glycerol. Preservative: 0.05% Sodium Azide.
研究背景In the intact cell, DNA closely associates with histones and other nuclear proteins to form chromatin. The remodeling of chromatin is believed to be a critical component of transcriptional regulation and a major source of this remodeling is brought about by the acetylation of nucleosomal histones. Acetylation of lysine residues in the amino-terminal tail domain of histone results in an allosteric change in the nucleosomal conformation and an increased accessibility to transcription factors by DNA. Conversely, the deacetylation of histones is associated with transcriptional silencing. Several mammalian proteins have been identified as nuclear histone acetylases, including GCN5, PCAF (p300/CBP-associated factor), p300/CBP and the TFIID subunit TAF II p250. Mammalian HDAC1 (also designated HD1), HDAC2 (also designated RPD3) and HDAC3, all of which are related to the yeast transcriptional factor Rpd3p, have been identified as histone deacetylases.
偶联与修饰
偶联
Unconjugated
抗原信息
免疫原
Recombinant Protein
Uniprot ID
化学信息
分子量Theoretical: 49 kDa.
存储&运输
储存方式Store at -20°C or -80°C for 12 months. Avoid repeated freeze-thaw cycles.
运输方式Shipping with blue ice.

计算器

  • 稀释 计算器

关键词

评论列表

4个月前
5.0
Rating icon 很棒

评论内容

Related Tags: buy Anti-HDAC3 Antibody (9R940) | purchase Anti-HDAC3 Antibody (9R940) | Anti-HDAC3 Antibody (9R940) cost | order Anti-HDAC3 Antibody (9R940) | Anti-HDAC3 Antibody (9R940) molecular weight