• TargetMol
    您的购物车当前为空

Anti-GDNF Polyclonal Antibody

一键复制产品信息
Rating icon 还可以
货号 TMAB-00760

Anti-GDNF Polyclonal Antibody 是一种 Rabbit 抗体,靶向 GDNF。Anti-GDNF Polyclonal Antibody 可用于 IF,IHC-Fr,IHC-P,WB。

Anti-GDNF Polyclonal Antibody

Anti-GDNF Polyclonal Antibody

一键复制产品信息
Rating icon 还可以
货号 TMAB-00760

Anti-GDNF Polyclonal Antibody 是一种 Rabbit 抗体,靶向 GDNF。Anti-GDNF Polyclonal Antibody 可用于 IF,IHC-Fr,IHC-P,WB。

规格价格库存数量
50 μL
¥ 1,165
5日内发货
100 μL
¥ 1,960
5日内发货
200 μL
¥ 2,795
5日内发货
库存状态实时更新,以官网显示为准,现货产品可直接加购物车下单
大包装 & 定制
加入购物车
TargetMol的所有产品仅用作科学研究或药证申报,不能被用于人体,我们不向个人提供产品和服务。请您遵守承诺用途,不得违反法律法规规定用于任何其他用途。
实验操作小课堂
常见问题解答
查看更多
资源下载:

产品介绍


生物活性
产品描述
Anti-GDNF Polyclonal Antibody is a Rabbit antibody targeting GDNF. Anti-GDNF Polyclonal Antibody can be used in IF,IHC-Fr,IHC-P,WB.
Ig Type
IgG
反应种属
Human,Mouse,Rat
验证活性
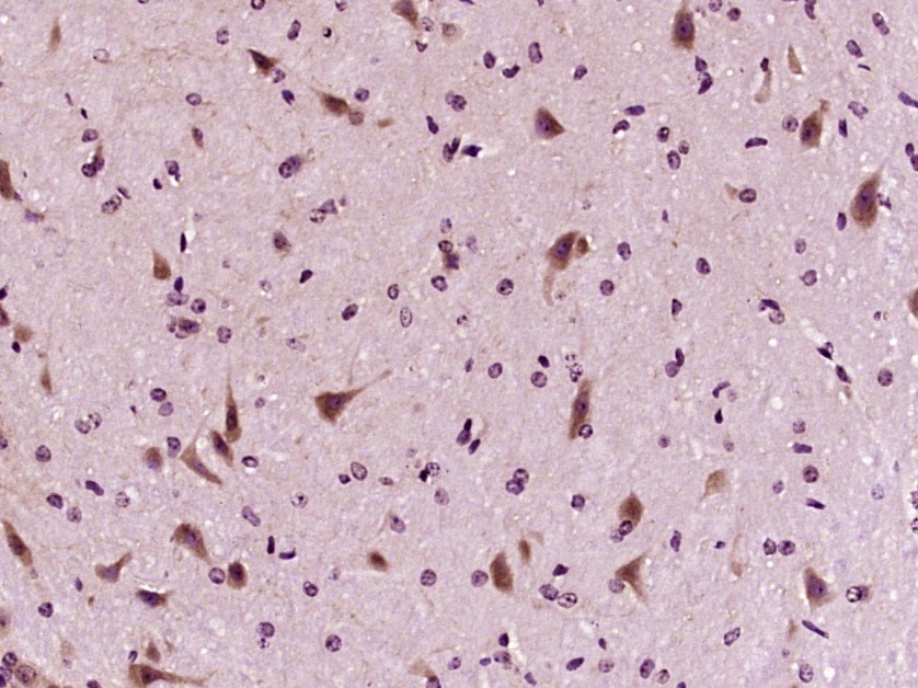
1. Paraformaldehyde-fixed, paraffin embedded (Mouse brain); Antigen retrieval by boiling in sodium citrate buffer (pH6.0) for 15 min; Block endogenous peroxidase by 3% hydrogen peroxide for 20 min; Blocking buffer (normal goat serum) at 37°C for 30 min; Antibody incubation with (GDNF) Polyclonal Antibody, Unconjugated (TMAB-00760) at 1:400 overnight at 4°C, followed by operating according to SP Kit (Rabbit) instructionsand DAB staining.
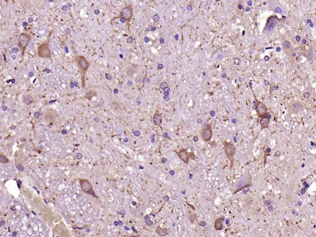
2. Paraformaldehyde-fixed, paraffin embedded (rat spinal cord); Antigen retrieval by boiling in sodium citrate buffer (pH6.0) for 15 min; Block endogenous peroxidase by 3% hydrogen peroxide for 20 min; Blocking buffer (normal goat serum) at 37°C for 30 min; Antibody incubation with (GDNF) Polyclonal Antibody, Unconjugated (TMAB-00760) at 1:200 overnight at 4°C, followed by operating according to SP Kit (Rabbit) instructionsand DAB staining.
3. Sample:
Lane 1: Cerebrum (Mouse) Lysate at 40 μg
Lane 2: Spinal cord (Mouse) Lysate at 40 μg
Lane 3: Cerebrum (Rat) Lysate at 40 μg
Lane 4: Spinal cord (Rat) Lysate at 40 μg
Lane 5: U87MG (Human) Cell Lysate at 30 μg
Lane 6: U251 (Human) Cell Lysate at 30 μg
Primary: Anti-GDNF (TMAB-00760) at 1/1000 dilution
Secondary: IRDye800CW Goat Anti-Rabbit IgG at 1/20000 dilution
Predicted band size: 25/20 kDa
Observed band size: 28 kDa
verifiedActivityverifiedActivityverifiedActivity
应用IFIHC-FrIHC-PWB
推荐剂量
WB: 1:500-2000; IHC-P: 1:100-500; IHC-Fr: 1:100-500; IF: 1:200-800
抗体种类
Polyclonal
宿主来源Rabbit
亚细胞定位Secreted.
组织特异性In the brain, predominantly expressed in the striatum with highest levels in the caudate and lowest in the putamen. Isoform 2 is absent from most tissues except for low levels in intestine and kidney. Highest expression of isoform 3 is found in pancreatic
构建方式Polyclonal Antibody
纯化方式Protein A purified
性状Liquid
缓冲液0.01M TBS (pH7.4) with 1% BSA, 0.02% Proclin300 and 50% Glycerol.
浓度1 mg/mL
研究背景Neurobiology. Neurotrophins. Neuroscience. This gene encodes a highly conserved neurotrophic factor. The recombinant form of this protein was shown to promote the survival and differentiation of dopaminergic neurons in culture, and was able to prevent apoptosis of motor neurons induced by axotomy. The encoded protein is processed to a mature secreted form that exists as a homodimer. The mature form of the protein is a ligand for the product of the RET (rearranged during transfection) protooncogene. In addition to the transcript encoding GDNF, two additional alternative transcripts encoding distinct proteins, referred to as astrocyte-derived trophic factors, have also been described. Mutations in this gene may be associated with Hirschsprung disease.
抗原信息
免疫原
KLH conjugated synthetic peptide: human GDNF
抗原种属
Human
基因名称
GDNF
基因ID
蛋白名称
Glial cell line-derived neurotrophic factor
Uniprot ID
研究领域
Kidney development,Neurotrophins,Amyotrophic lateral sclerosis,Parkinson's disease
功能
Neurotrophic factor that enhances survival and morphological differentiation of dopaminergic neurons and increases their high-affinity dopamine uptake.
化学信息
分子量Theoretical: 15 kDa.
储存&溶解度
储存方式Store at -20°C or -80°C for 12 months. Avoid repeated freeze-thaw cycles.
运输方式Shipping with blue ice.
存储store at low temperature | store at -20°C

计算器

  • 稀释 计算器
Related Tags: buy Anti-GDNF Polyclonal Antibody | purchase Anti-GDNF Polyclonal Antibody | Anti-GDNF Polyclonal Antibody cost | order Anti-GDNF Polyclonal Antibody | Anti-GDNF Polyclonal Antibody molecular weight