• TargetMol
    您的购物车当前为空

Anti-CPT2 Antibody (3I417)

一键复制产品信息
Rating icon 还可以
货号 TMAC-00953

别名 mitochondrial, CPT2, CPT1, Carnitine palmitoyltransferase II (CPT II), Carnitine O-palmitoyltransferase 2, mitochondrial

Anti-CPT2 Antibody (3I417) 是一种 Rabbit 抗体,靶向 CPT2。Anti-CPT2 Antibody (3I417) 可用于 ICC/IF,IHC,WB。

Anti-CPT2 Antibody (3I417)

Anti-CPT2 Antibody (3I417)

一键复制产品信息
Rating icon 还可以
货号 TMAC-00953 别名 mitochondrial, CPT2, CPT1, Carnitine palmitoyltransferase II (CPT II), Carnitine O-palmitoyltransferase 2, mitochondrial

Anti-CPT2 Antibody (3I417) 是一种 Rabbit 抗体,靶向 CPT2。Anti-CPT2 Antibody (3I417) 可用于 ICC/IF,IHC,WB。

规格价格库存数量
50 μL
¥ 1,480
5日内发货
100 μL
¥ 2,490
5日内发货
库存状态实时更新,以官网显示为准,现货产品可直接加购物车下单
大包装 & 定制
加入购物车
TargetMol的所有产品仅用作科学研究或药证申报,不能被用于人体,我们不向个人提供产品和服务。请您遵守承诺用途,不得违反法律法规规定用于任何其他用途。
实验操作小课堂
常见问题解答
查看更多
资源下载:

产品介绍


生物活性
产品描述
Anti-CPT2 Antibody (3I417) is a Rabbit antibody targeting CPT2. Anti-CPT2 Antibody (3I417) can be used in ICC/IF,IHC,WB.
别名mitochondrial, CPT2, CPT1, Carnitine palmitoyltransferase II (CPT II), Carnitine O-palmitoyltransferase 2, mitochondrial
Ig Type
IgG
克隆号
3I417
反应种属
Human,Mouse,Rat
验证活性
1. Western blot analysis of CPT2 on different lysates using anti-CPT2 antibody at 1/1,000 dilution. Positive control: Lane 1: Hela, Lane 2: 293, Lane 3: HepG2, Lane 4: NIH/3T3.
2. Immunohistochemical analysis of paraffin-embedded human liver cancer tissue using anti-CPT2 antibody. Counter stained with hematoxylin.
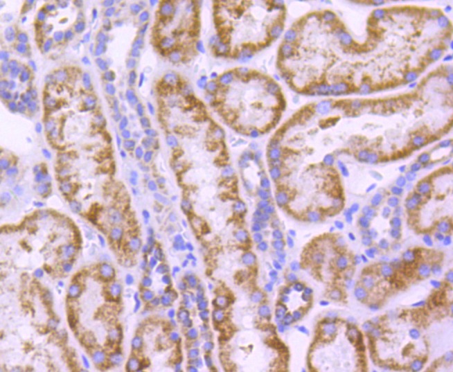
3. Immunohistochemical analysis of paraffin-embedded human kidney tissue using anti-CPT2 antibody. Counter stained with hematoxylin.
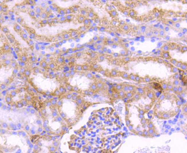
4. Immunohistochemical analysis of paraffin-embedded mouse kidney tissue using anti-CPT2 antibody. Counter stained with hematoxylin.
5. ICC staining CPT2 in HepG2 cells (green). The nuclear counter stain is DAPI (blue). Cells were fixed in paraformaldehyde, permeabilised with 0.25% Triton X100/PBS.
6. ICC staining CPT2 in SW480 cells (green). The nuclear counter stain is DAPI (blue). Cells were fixed in paraformaldehyde, permeabilised with 0.25% Triton X100/PBS.
verifiedActivityverifiedActivityverifiedActivityverifiedActivityverifiedActivityverifiedActivity
应用ICC/IFIHCWB
推荐剂量
WB: 1:500-1000; IHC: 1:50-200; ICC/IF: 1:50-200
抗体种类
Monoclonal
宿主来源Rabbit
构建方式Recombinant Antibody
纯化方式ProA affinity purified
性状Liquid
缓冲液1*TBS (pH7.4), 1%BSA, 40%Glycerol. Preservative: 0.05% Sodium Azide.
研究背景The mitochondrial β-oxidation of long-chain fatty acids is initiated by the sequential action of carnitine palmitoyltransferase (CPT) I (outer membrane and detergent labile) and II (inner membrane and detergent stable), together with carnitine carrier. CPTI catalyzes the first reaction in the transport of long-chain fatty acids from the cytoplasm to the mitochondrion, a rate-limiting step in beta-oxidation. Two types of CPTI are known, the liver (CPTIA) and muscle (CPTIB) isoforms. The muscle type protein is specially expressed in heart and skeletal muscle. Membrane-bound CPTI, but not CPTII, is inhibited reversibly by malonyl-coenzyme A (CoA). Unlike CPTII, CPTI requires membrane integrity for catalytic function. In addition, glutamic acid 3 and histidine 5 are necessary for malonyl CoA inhibition and binding to liver CPTI, but not for catalytic activity.
偶联与修饰
偶联
Unconjugated
抗原信息
免疫原
Recombinant Protein
Uniprot ID
化学信息
分子量Theoretical: 74 kDa.
储存&溶解度
储存方式Store at -20°C or -80°C for 12 months. Avoid repeated freeze-thaw cycles.
运输方式Shipping with blue ice.
存储store at low temperature | -20°C for 1 year

计算器

  • 稀释 计算器
Related Tags: buy Anti-CPT2 Antibody (3I417) | purchase Anti-CPT2 Antibody (3I417) | Anti-CPT2 Antibody (3I417) cost | order Anti-CPT2 Antibody (3I417) | Anti-CPT2 Antibody (3I417) molecular weight