购物车
  • TargetMol
    您的购物车当前为空

Anti-CES1 Polyclonal Antibody

Synonyms: TGH, SES1, REH, PCE-1, HMSE1, HMSE, hCE-1, CES2, CEH, CE-1, carboxylesterase 1, ACAT
货号 TMAB-00418 一键复制产品信息
Rating icon 还可以

Anti-CES1 Polyclonal Antibody 是一种 Rabbit 抗体,靶向 CES1。Anti-CES1 Polyclonal Antibody 可用于 IF,IHC-Fr,IHC-P,WB。

Anti-CES1 Polyclonal Antibody

一键复制产品信息
Rating icon 还可以
货号 TMAB-00418

别名 TGH, SES1, REH, PCE-1, HMSE1, HMSE, hCE-1, CES2, CEH, CE-1, carboxylesterase 1, ACAT

Anti-CES1 Polyclonal Antibody 是一种 Rabbit 抗体,靶向 CES1。Anti-CES1 Polyclonal Antibody 可用于 IF,IHC-Fr,IHC-P,WB。

Anti-CES1 Polyclonal Antibody
规格价格库存数量
50 μL
¥ 1,170
5日内发货
100 μL
¥ 1,970
5日内发货
200 μL
¥ 2,785
5日内发货
库存状态实时更新,以官网显示为准,现货产品可直接加购物车下单
大包装 & 定制
加入购物车

TargetMol的所有产品仅用作科学研究或药证申报,不能被用于人体,我们不向个人提供产品和服务。请您遵守承诺用途,不得违反法律法规规定用于任何其他用途。

实验操作小课堂
常见问题解答
查看更多

资源下载:产品操作手册

产品介绍


生物活性
产品描述
Anti-CES1 Polyclonal Antibody is a Rabbit antibody targeting CES1. Anti-CES1 Polyclonal Antibody can be used in IF,IHC-Fr,IHC-P,WB.
别名
TGH, SES1, REH, PCE-1, HMSE1, HMSE, hCE-1, CES2, CEH, CE-1, carboxylesterase 1, ACAT
Ig Type
IgG
反应种属
Mouse,Rat (predicted:Human,Pig,Cow,Rabbit)
验证活性
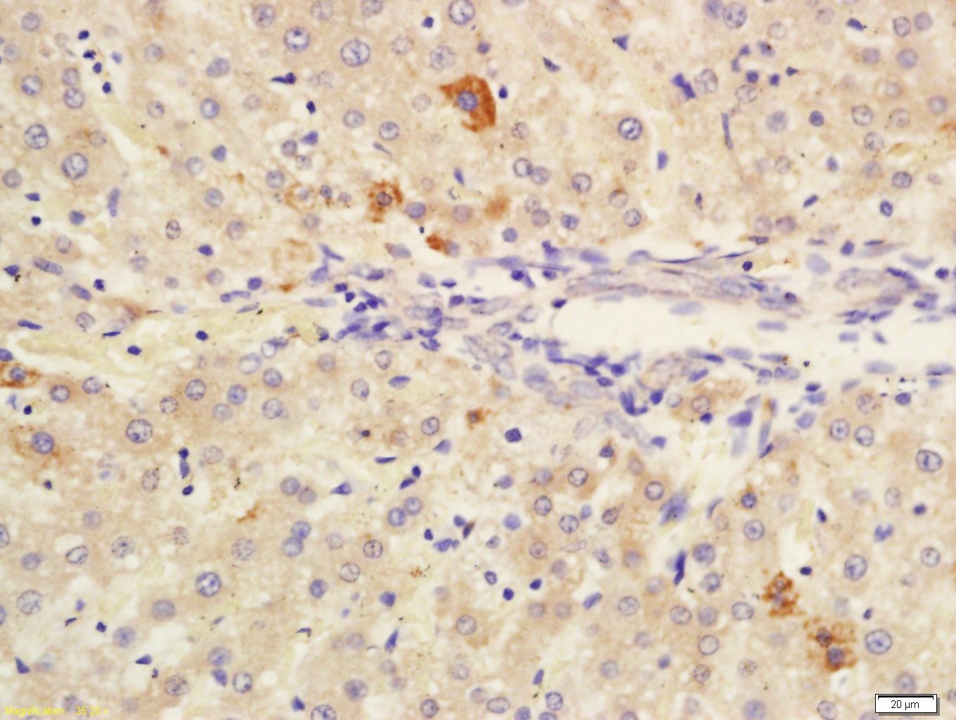
1. Tissue/cell: rat liver tissue; 4% Paraformaldehyde-fixed and paraffin-embedded;
Antigen retrieval: citrate buffer (0.01M, pH6.0), Boiling bathing for 15 min; Block endogenous peroxidase by 3% Hydrogen peroxide for 30 min; Blocking buffer (normal goat serum) at 37°C for 20 min;
Incubation: Anti-CES1 Polyclonal Antibody, Unconjugated (TMAB-00418) 1:200, overnight at 4°C, followed by conjugation to the secondary antibody and DAb staining.
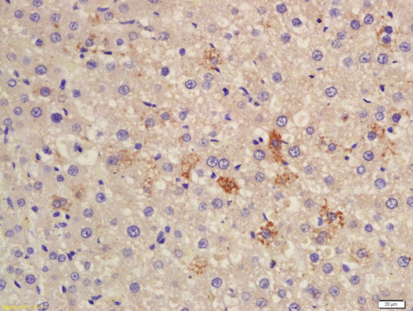
2. Tissue/cell: rat liver tissue; 4% Paraformaldehyde-fixed and paraffin-embedded;
Antigen retrieval: citrate buffer (0.01M, pH6.0), Boiling bathing for 15 min; Block endogenous peroxidase by 3% Hydrogen peroxide for 30 min; Blocking buffer (normal goat serum) at 37°C for 20 min;
Incubation: Anti-CES1/ Liver Carboxylesterase 1 Polyclonal Antibody, Unconjugated (TMAB-00418) 1:200, overnight at 4°C, followed by conjugation to the secondary antibody and DAb staining.
3. Protein: intestinal (mouse) lysate at 40 μg;
Primary: rabbit Anti-CES1/Liver Carboxylesterase 1 (TMAB-00418) at 1:300;
Secondary: HRP conjugated Goat-Anti-rabbit Igg (secondary antibody) at 1: 5000;
Predicted band size: 61 kDa
Observed band size: 66 kDa
verifiedActivityverifiedActivityverifiedActivity
应用IFIHC-FrIHC-PWB
推荐剂量
WB: 1:500-2000; IHC-P: 1:100-500; IHC-Fr: 1:100-500; IF: 1:100-500
抗体种类
Polyclonal
宿主来源Rabbit
亚细胞定位Endoplasmic reticulum lumen.
组织特异性Expressed predominantly in liver with lower levels in heart and lung.
构建方式Polyclonal Antibody
纯化方式Protein A purified
性状Liquid
缓冲液0.01M TBS (pH7.4) with 1% BSA, 0.02% Proclin300 and 50% Glycerol.
浓度1 mg/mL
研究背景This gene encodes a member of the carboxylesterase large family. The family members are responsible for the hydrolysis or transesterification of various xenobiotics, such as cocaine and heroin, and endogenous substrates with ester, thioester, or amide bonds. They may participate in fatty acyl and cholesterol ester metabolism, and may play a role in the blood-brain barrier system. This enzyme is the major liver enzyme and functions in liver drug clearance. Mutations of this gene cause carboxylesterase 1 deficiency. Three transcript variants encoding three different isoforms have been found for this gene. [provided by RefSeq, Jun 2010]
抗原信息
免疫原
KLH conjugated synthetic peptide: human CES1
抗原种属
Human
基因名称
Ces1
基因ID
蛋白名称
Liver carboxylesterase 1
Uniprot ID
研究领域
Lipoprotein metabolism,Cholesterol Metabolism,Hydrolysis,Lipoproteins/Apolipoproteins,Drug metabolism,Cholesterol Metabolism,Hydrolysis,Lipoprotein metabolism,Cancer,Heart disease,Drug metabolism,Lipid metabolism
功能
Involved in the detoxification of xenobiotics and in the activation of ester and amide prodrugs. Hydrolyzes aromatic and aliphatic esters, but has no catalytic activity toward amides or a fatty acyl-CoA ester. Hydrolyzes the methyl ester group of cocaine to form benzoylecgonine. Catalyzes the transesterification of cocaine to form cocaethylene. Displays fatty acid ethyl ester synthase activity, catalyzing the ethyl esterification of oleic acid to ethyloleate.
化学信息
分子量Theoretical: 61 kDa. Actual: 66 kDa.
储存&溶解度
储存方式Store at -20°C or -80°C for 12 months. Avoid repeated freeze-thaw cycles.
运输方式Shipping with blue ice.

计算器

  • 稀释 计算器
  • 配液 计算器
Related Tags: buy Anti-CES1 Polyclonal Antibody | purchase Anti-CES1 Polyclonal Antibody | Anti-CES1 Polyclonal Antibody cost | order Anti-CES1 Polyclonal Antibody | Anti-CES1 Polyclonal Antibody molecular weight