购物车
  • 全部删除
  • TargetMol
    您的购物车当前为空

Anti-CD147 Antibody (7A20)

一键复制产品信息
Rating icon 还可以
产品编号 TMAC-00661
别名 TCSF, OK, M6, EMMPRIN, CD147, basigin (Ok blood group), 5F7

Anti-CD147 Antibody (7A20) 是一种 Rabbit 抗体,靶向 CD147。Anti-CD147 Antibody (7A20) 可用于 ICC/IF,IHC,WB。

Anti-CD147 Antibody (7A20)

Anti-CD147 Antibody (7A20)

一键复制产品信息
Rating icon 还可以
产品编号 TMAC-00661 别名 TCSF, OK, M6, EMMPRIN, CD147, basigin (Ok blood group), 5F7

Anti-CD147 Antibody (7A20) 是一种 Rabbit 抗体,靶向 CD147。Anti-CD147 Antibody (7A20) 可用于 ICC/IF,IHC,WB。

规格价格库存数量
50 μL
¥ 1,490
5日内发货
100 μL
¥ 2,495
5日内发货
大包装 & 定制
加入购物车
TargetMol 的所有产品仅用作科学研究或药证申报,不能被用于人体,我们不向个人提供产品和服务。请您遵守承诺用途,不得违反法律法规规定用于任何其他用途。
实验操作小课堂
常见问题解答
查看更多
联系我们获取更多批次信息
资源下载

产品介绍

生物活性
产品描述
Anti-CD147 Antibody (7A20) is a Rabbit antibody targeting CD147. Anti-CD147 Antibody (7A20) can be used in ICC/IF,IHC,WB.
别名TCSF, OK, M6, EMMPRIN, CD147, basigin (Ok blood group), 5F7
Ig Type
IgG
克隆号
7A20
交叉反应
Human,Mouse,Rat
验证活性
1. Western blot analysis of CD147 on different lysates using anti-CD147 antibody at 1/1,000 dilution. Positive control: Lane 1: Hela, Lane 2: Jurkat, Lane 3: Mouse kidney.
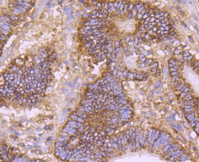
2. Immunohistochemical analysis of paraffin-embedded human colon cancer tissue using anti-CD147 antibody. Counter stained with hematoxylin.
3. Immunohistochemical analysis of paraffin-embedded mouse brain tissue using anti-CD147 antibody. Counter stained with hematoxylin.
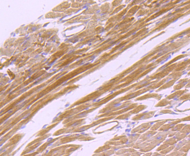
4. Immunohistochemical analysis of paraffin-embedded mouse heart tissue using anti-CD147 antibody. Counter stained with hematoxylin.
5. Immunohistochemical analysis of paraffin-embedded rat brain tissue using anti-CD147 antibody. Counter stained with hematoxylin.
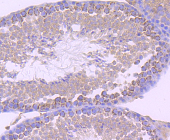
6. Immunohistochemical analysis of paraffin-embedded mouse testis tissue using anti-CD147 antibody. Counter stained with hematoxylin.
7. ICC staining CD147 in Hela cells (red). The nuclear counter stain is DAPI (blue). Cells were fixed in paraformaldehyde, permeabilised with 0.25% Triton X100/PBS.
8. ICC staining CD147 in A431 cells (red). The nuclear counter stain is DAPI (blue). Cells were fixed in paraformaldehyde, permeabilised with 0.25% Triton X100/PBS.
9. ICC staining CD147 in SKOV-3 cells (red). The nuclear counter stain is DAPI (blue). Cells were fixed in paraformaldehyde, permeabilised with 0.25% Triton X100/PBS.
verifiedActivityverifiedActivityverifiedActivityverifiedActivityverifiedActivityverifiedActivityverifiedActivityverifiedActivityverifiedActivity
应用ICC/IFIHCWB
推荐剂量
WB: 1:1000-2000; IHC: 1:50-200; ICC/IF: 1:50-200
抗体种类
Monoclonal
宿主来源Rabbit
构建方式Recombinant Antibody
纯化方式ProA affinity purified
性状Liquid
缓冲液1*TBS (pH7.4), 1%BSA, 40%Glycerol. Preservative: 0.05% Sodium Azide.
研究背景Extracellular matrix metalloproteinase inducer (EMMPRIN), also designated basigin or CD147, is involved in the regulation of matrix remodeling at the epidermal-dermal interface. EMMPRIN stimulates the production of interstitial collagenase, gelatinase A, stromelysin-1 and various metalloproteinases (MMPs) by fibroblasts. These enzymes, which are typically increased during tissue degradation and wound healing, are important factors in cancer invasion and metastasis.
偶联与修饰
偶联
Unconjugated
抗原信息
免疫原
Recombinant Protein
Uniprot ID
化学信息
分子量Theoretical: 42 kDa.
存储&运输
储存方式Store at -20°C or -80°C for 12 months. Avoid repeated freeze-thaw cycles.
运输方式Shipping with blue ice.

计算器

  • 稀释 计算器

关键词

评论列表

4个月前
5.0
Rating icon 很棒

评论内容

Related Tags: buy Anti-CD147 Antibody (7A20) | purchase Anti-CD147 Antibody (7A20) | Anti-CD147 Antibody (7A20) cost | order Anti-CD147 Antibody (7A20) | Anti-CD147 Antibody (7A20) molecular weight