购物车
  • TargetMol
    您的购物车当前为空

Anti-Argonaute-2 Polyclonal Antibody

Synonyms: Q10, EIF2C2, argonaute RISC catalytic component 2, Argonaute 2
货号 TMAB-00146 一键复制产品信息
Rating icon 还可以

Anti-Argonaute-2 Polyclonal Antibody 是一种 Rabbit 抗体,靶向 Argonaute-2。Anti-Argonaute-2 Polyclonal Antibody 可用于 IF,IHC-Fr,IHC-P,WB。

Anti-Argonaute-2 Polyclonal Antibody

一键复制产品信息
Rating icon 还可以
货号 TMAB-00146

别名 Q10, EIF2C2, argonaute RISC catalytic component 2, Argonaute 2

Anti-Argonaute-2 Polyclonal Antibody 是一种 Rabbit 抗体,靶向 Argonaute-2。Anti-Argonaute-2 Polyclonal Antibody 可用于 IF,IHC-Fr,IHC-P,WB。

Anti-Argonaute-2 Polyclonal Antibody
规格价格库存数量
50 μL
¥ 1,175
5日内发货
100 μL
¥ 1,965
5日内发货
200 μL
¥ 2,790
5日内发货
库存状态实时更新,以官网显示为准,现货产品可直接加购物车下单
大包装 & 定制
加入购物车

TargetMol的所有产品仅用作科学研究或药证申报,不能被用于人体,我们不向个人提供产品和服务。请您遵守承诺用途,不得违反法律法规规定用于任何其他用途。

实验操作小课堂
常见问题解答
查看更多

资源下载:产品操作手册

产品介绍


生物活性
产品描述
Anti-Argonaute-2 Polyclonal Antibody is a Rabbit antibody targeting Argonaute-2. Anti-Argonaute-2 Polyclonal Antibody can be used in IF,IHC-Fr,IHC-P,WB.
别名
Q10, EIF2C2, argonaute RISC catalytic component 2, Argonaute 2
Ig Type
IgG
反应种属
Mouse (predicted:Human,Rat,Dog,Pig,Cow,Horse,Sheep)
验证活性
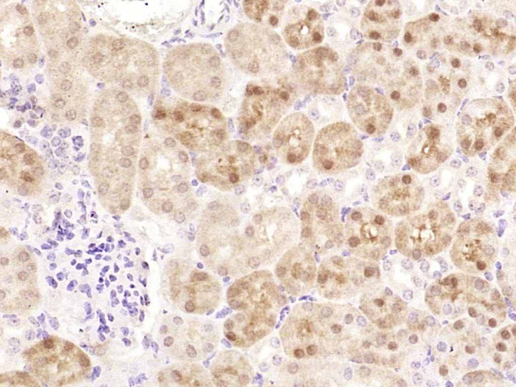
1. Paraformaldehyde-fixed, paraffin embedded (mouse kidney); Antigen retrieval by boiling in sodium citrate buffer (pH6.0) for 15 min; Block endogenous peroxidase by 3% hydrogen peroxide for 20 min; Blocking buffer (normal goat serum) at 37°C for 30 min; Antibody incubation with (AGO2) Polyclonal Antibody, Unconjugated (TMAB-00146) at 1:200 overnight at 4°C, followed by operating according to SP Kit (Rabbit) instructionsand DAB staining.
2. Sample:
Spleen (Mouse) Lysate at 40 μg
Primary: Anti-eIF2C2 (TMAB-00146) at 1/1000 dilution
Secondary: IRDye800CW Goat Anti-Rabbit IgG at 1/20000 dilution
Predicted band size: 97 kDa
Observed band size: 97 kDa
3. Sample:
Uterus (Mouse) Lysate at 40 μg
Primary: Anti-eIF2C2 (TMAB-00146) at 1/1000 dilution
Secondary: IRDye800CW Goat Anti-Rabbit IgG at 1/20000 dilution
Predicted band size: 97 kDa
Observed band size: 97 kDa
verifiedActivityverifiedActivityverifiedActivity
应用IFIHC-FrIHC-PWB
推荐剂量
WB: 1:500-2000; IHC-P: 1:100-500; IHC-Fr: 1:100-500; IF: 1:100-500
抗体种类
Polyclonal
宿主来源Rabbit
亚细胞定位Cytoplasm > P-body. Nucleus. Translational repression of mRNAs results in their recruitment to P-bodies. Translocation to the nucleus requires IMP8.
构建方式Polyclonal Antibody
纯化方式Protein A purified
性状Liquid
缓冲液0.01M TBS (pH7.4) with 1% BSA, 0.02% Proclin300 and 50% Glycerol.
浓度1 mg/mL
研究背景Eukaryotic translation initiation factor 2C (eIF2C) proteins (argonaute family) influence RNA interference (RNAi) as components of the RNA-inducible silencing complex (RISC) or microRNA (miRNA)-containing ribonucleoprotein particle (miRNP). Small RNAs, including small interfering RNAs (siRNAs) and miRNAs, can silence target genes through mechanisms that utilize RISC or miRNP particles. eIF2C1 (argonaute 1, AGO1, eIF2C, GERP95, Q99) and Dicer1 play a coordinated role in siRNA-mediated gene silencing. eIF2C2 (Slicer, argonaute 2, AGO2, Q10) is a RISC component that can concentrate in cytoplasmic processing bodies (P-bodies) and catalyze mRNA cleavage. Mammalian P-bodies contain mRNAs and have an association with miRNA-induced translational silencing and siRNA-induced mRNA degradation. Additional eIF2C proteins include eIF2C3 (argonaute 3, AGO3), eIF2C4 (argonaute 4, AGO4) and meIF2c5 (mouse argonaute 5).
抗原信息
免疫原
KLH conjugated synthetic peptide: human AGO2
抗原种属
Human
基因名称
AGO2
基因ID
蛋白名称
FOSL1
Uniprot ID
研究领域
RNAi,Nuclear Pore Complex,Argonaute and Piwi,Eukaryotic Initiation factors (eIF's)
功能
Required for RNA-mediated gene silencing (RNAi) by the RNA-induced silencing complex (RISC). The 'minimal RISC' appears to include EIF2C2/AGO2 bound to a short guide RNA such as a microRNA (miRNA) or short interfering RNA (siRNA). These guide RNAs direct RISC to complementary mRNAs that are targets for RISC-mediated gene silencing. The precise mechanism of gene silencing depends on the degree of complementarity between the miRNA or siRNA and its target. Binding of RISC to a perfectly complementary mRNA generally results in silencing due to endonucleolytic cleavage of the mRNA specifically by EIF2C2/AGO2. Binding of RISC to a partially complementary mRNA results in silencing through inhibition of translation, and this is independent of endonuclease activity. May inhibit translation initiation by binding to the 7-methylguanosine cap, thereby preventing the recruitment of the translation initiation factor eIF4-E. May also inhibit translation initiation via interaction with EIF6, which itself binds to the 60S ribosomal subunit and prevents its association with the 40S ribosomal subunit. The inhibition of translational initiation leads to the accumulation of the affected mRNA in cytoplasmic processing bodies (P-bodies), where mRNA degradation may subsequently occur. In some cases RISC-mediated translational repression is also observed for miRNAs that perfectly match the 3' untranslated region (3'-UTR). Can also upregulate the translation of specific mRNAs under certain growth conditions. Binds to the AU element of the 3'-UTR of the TNF (TNF-alpha) mRNA and upregulates translation under conditions of serum starvation. Also required for transcriptional gene silencing (TGS), in which short RNAs known as antigene RNAs or agRNAs direct the transcriptional repression of complementary promoter regions.
化学信息
分子量Theoretical: 97 kDa. Actual: 97 kDa.
储存&溶解度
储存方式Store at -20°C or -80°C for 12 months. Avoid repeated freeze-thaw cycles.
运输方式Shipping with blue ice.

计算器

  • 稀释 计算器
  • 配液 计算器

关键词

Related Tags: buy Anti-Argonaute-2 Polyclonal Antibody | purchase Anti-Argonaute-2 Polyclonal Antibody | Anti-Argonaute-2 Polyclonal Antibody cost | order Anti-Argonaute-2 Polyclonal Antibody | Anti-Argonaute-2 Polyclonal Antibody molecular weight