购物车
  • TargetMol
    您的购物车当前为空

Anti-4EBP1 Polyclonal Antibody

Synonyms: PHAS-I, eukaryotic translation initiation factor 4E binding protein 1, BP-1, 4E-BP1, 4EBP1
货号 TMAB-00004 一键复制产品信息
Rating icon 还可以

Anti-4EBP1 Polyclonal Antibody 是一种 Rabbit 抗体,靶向 4EBP1。Anti-4EBP1 Polyclonal Antibody 可用于 IF, IHC-Fr, IHC-P, WB。

Anti-4EBP1 Polyclonal Antibody

一键复制产品信息
Rating icon 还可以
货号 TMAB-00004

别名 PHAS-I, eukaryotic translation initiation factor 4E binding protein 1, BP-1, 4E-BP1, 4EBP1

Anti-4EBP1 Polyclonal Antibody 是一种 Rabbit 抗体,靶向 4EBP1。Anti-4EBP1 Polyclonal Antibody 可用于 IF, IHC-Fr, IHC-P, WB。

Anti-4EBP1 Polyclonal Antibody
规格价格库存数量
50 μL
¥ 1,165
5日内发货
100 μL
¥ 1,960
5日内发货
200 μL
¥ 2,790
5日内发货
库存状态实时更新,以官网显示为准,现货产品可直接加购物车下单
大包装 & 定制
加入购物车

TargetMol的所有产品仅用作科学研究或药证申报,不能被用于人体,我们不向个人提供产品和服务。请您遵守承诺用途,不得违反法律法规规定用于任何其他用途。

实验操作小课堂
常见问题解答
查看更多

资源下载:产品操作手册

产品介绍


生物活性
产品描述
Anti-4EBP1 Polyclonal Antibody is a Rabbit antibody targeting 4EBP1. Anti-4EBP1 Polyclonal Antibody can be used in IF, IHC-Fr, IHC-P, WB.
别名
PHAS-I, eukaryotic translation initiation factor 4E binding protein 1, BP-1, 4E-BP1, 4EBP1
Ig Type
IgG
反应种属
Human,Mouse (predicted:Rat,Dog,Cow,Horse,Goat,Sheep)
验证活性
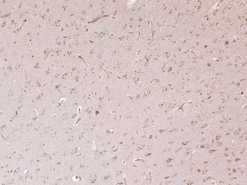
1. Paraformaldehyde-fixed, paraffin embedded (Mouse brain); Antigen retrieval by boiling in sodium citrate buffer (pH6.0) for 15 min; Block endogenous peroxidase by 3% hydrogen peroxide for 20 min; Blocking buffer (normal goat serum) at 37°C for 30 min; Antibody incubation with eIF4EBP1 Polyclonal Antibody, Unconjugated (TMAB-00004) at 1:400 overnight at 4°C, followed by operating according to SP Kit (Rabbit) instructionsand DAB staining.
2. Sample:
Lane 1: Human HepG2 cell lysates
Lane 2: Human HeLa cell lysates
Primary: Anti-eIF4EBP1 (TMAB-00004) at 1/1000 dilution
Secondary: IRDye800CW Goat Anti-Rabbit IgG at 1/20000 dilution
Predicted band size: 12 kDa
Observed band size: 17 kDa
verifiedActivityverifiedActivity
应用IFIHC-FrIHC-PWB
推荐剂量
WB: 1:500-2000; IHC-P: 1:100-500; IHC-Fr: 1:100-500; IF: 1:100-500
抗体种类
Polyclonal
宿主来源Rabbit
亚细胞定位Nucleus.
组织特异性Lung and testis.
构建方式Polyclonal Antibody
纯化方式Protein A purified
性状Liquid
缓冲液0.01M TBS (pH7.4) with 1% BSA, 0.02% Proclin300 and 50% Glycerol.
浓度1 mg/mL
研究背景This gene encodes one member of a family of translation repressor proteins. The protein directly interacts with eukaryotic translation initiation factor 4E (eIF4E), which is a limiting component of the multisubunit complex that recruits 40S ribosomal subunits to the 5' end of mRNAs. Interaction of this protein with eIF4E inhibits complex assembly and represses translation. This protein is phosphorylated in response to various signals including UV irradiation and insulin signaling, resulting in its dissociation from eIF4E and activation of mRNA translation. [provided by RefSeq, Jul 2008].
抗原信息
免疫原
KLH conjugated synthetic peptide: human 4E-BP1
抗原种属
Human
基因名称
EIF4EBP1
基因ID
蛋白名称
Eukaryotic translation initiation factor 4E-binding protein 1
Uniprot ID
研究领域
RNAi,Regulation,Eukaryotic Initiation factors (eIF's),Diabetes,Metabolic disorders,Obesity
功能
Regulates eIF4E activity by preventing its assembly into the eIF4F complex. Mediates the regulation of protein translation by hormones, growth factors and other stimuli that signal through the MAP kinase and mTORC1 pathways.
化学信息
分子量Theoretical: 12 kDa. Actual: 17 kDa.
储存&溶解度
储存方式Store at -20°C or -80°C for 12 months. Avoid repeated freeze-thaw cycles.
运输方式Shipping with blue ice.

计算器

  • 稀释 计算器
  • 配液 计算器

关键词

Related Tags: buy Anti-4EBP1 Polyclonal Antibody | purchase Anti-4EBP1 Polyclonal Antibody | Anti-4EBP1 Polyclonal Antibody cost | order Anti-4EBP1 Polyclonal Antibody | Anti-4EBP1 Polyclonal Antibody molecular weight