购物车
  • TargetMol
    您的购物车当前为空

Anti-XRN2 Antibody (1B629)

Synonyms: XRN 2, DHP protein, DHM1 like protein, 5' 3' exoribonuclease 2
货号 TMAC-04303 一键复制产品信息
Rating icon 还可以

Anti-XRN2 Antibody (1B629) 是一种 Mouse 抗体,靶向 XRN2。Anti-XRN2 Antibody (1B629) 可用于 IHC,WB。

Anti-XRN2 Antibody (1B629)

一键复制产品信息
Rating icon 还可以
货号 TMAC-04303

别名 XRN 2, DHP protein, DHM1 like protein, 5' 3' exoribonuclease 2

Anti-XRN2 Antibody (1B629) 是一种 Mouse 抗体,靶向 XRN2。Anti-XRN2 Antibody (1B629) 可用于 IHC,WB。

Anti-XRN2 Antibody (1B629)
规格价格库存数量
50 μL
¥ 1,995
5日内发货
100 μL
¥ 2,995
5日内发货
库存状态实时更新,以官网显示为准,现货产品可直接加购物车下单
大包装 & 定制
加入购物车

TargetMol的所有产品仅用作科学研究或药证申报,不能被用于人体,我们不向个人提供产品和服务。请您遵守承诺用途,不得违反法律法规规定用于任何其他用途。

实验操作小课堂
常见问题解答
查看更多

资源下载:产品操作手册

产品介绍


生物活性
产品描述
Anti-XRN2 Antibody (1B629) is a Mouse antibody targeting XRN2. Anti-XRN2 Antibody (1B629) can be used in IHC,WB.
别名
XRN 2, DHP protein, DHM1 like protein, 5' 3' exoribonuclease 2
克隆号
1B629
反应种属
Human
验证活性
1. Western blot analysis of XRN2 on human XRN2 recombinant protein using anti-XRN2 antibody at 1/1,000 dilution.
2. Western blot analysis of XRN2 on HEK293 (1) and XRN2-hIgGFc transfected HEK293 (2) cell lysate using anti-XRN2 antibody at 1/1,000 dilution.
3. Western blot analysis of XRN2 on different cell lysate using anti-XRN2 antibody at 1/1,000 dilution. Positive control: Lane1: Raw264.7, Lane2: HEK293, Lane3: NTERA-2, Lane4: LNcap, Lane5: HepG2, Lane6: HEK293, Lane7: Hela.
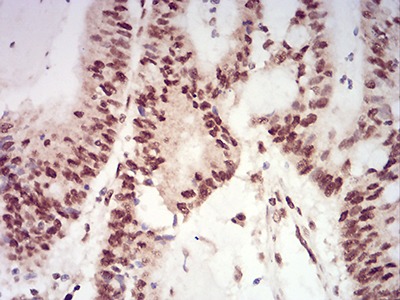
4. Immunohistochemical analysis of paraffin-embedded human colon cancer tissue using anti-XRN2 antibody. Counter stained with hematoxylin.
5. Immunohistochemical analysis of paraffin-embedded human ovarian cancer tissue using anti- XRN2 antibody. Counter stained with hematoxylin.
verifiedActivityverifiedActivityverifiedActivityverifiedActivityverifiedActivity
应用IHCWB
推荐剂量
WB: 1:500-2000; IHC: 1:200-500
抗体种类
Monoclonal
宿主来源Mouse
构建方式Hybridoma Monoclonal Antibody
纯化方式ProA affinity purified
性状Liquid
缓冲液1*TBS (pH7.4), 1%BSA, 40%Glycerol. Preservative: 0.05% Sodium Azide.
研究背景Degradation of mRNA is a critical aspect of gene expression that occurs via the exoribonuclease. Exoribonuclease 2 (XRN2) is the human homologue of the Saccharomyces cerevisiae RAT1, which functions as a nuclear 5' to 3' exoribonuclease and is essential for mRNA turnover and cell viability. XRN2 also processes rRNAs and small nucleolar RNAs (snoRNAs) in the nucleus. XRN2 moves along with RNA polymerase II and gains access to the nascent RNA transcript after the endonucleolytic cleavage at the poly(A) site or at a second cotranscriptional cleavage site (CoTC). CoTC is an autocatalytic RNA structure that undergoes rapid self-cleavage and acts as a precursor to termination by presenting a free RNA 5' end to be recognized by XRN2. XRN2 then travels in a 5'-3' direction like a guided torpedo and facilitates the dissociation of the RNA polymerase elongation complex.
偶联与修饰
偶联
Unconjugated
抗原信息
免疫原
Recombinant Protein
Uniprot ID
化学信息
分子量Theoretical: 109 kDa.
储存&溶解度
储存方式Store at -20°C or -80°C for 12 months. Avoid repeated freeze-thaw cycles.
运输方式Shipping with blue ice.

计算器

  • 稀释 计算器
  • 配液 计算器
Related Tags: buy Anti-XRN2 Antibody (1B629) | purchase Anti-XRN2 Antibody (1B629) | Anti-XRN2 Antibody (1B629) cost | order Anti-XRN2 Antibody (1B629) | Anti-XRN2 Antibody (1B629) molecular weight