• TargetMol
    您的购物车当前为空

Anti-XRCC5 Antibody (9O180)

一键复制产品信息
Rating icon 还可以
货号 TMAC-02347

别名 CTC-85

Anti-XRCC5 Antibody (9O180) 是一种 Rabbit 抗体,靶向 XRCC5。Anti-XRCC5 Antibody (9O180) 可用于 ICC/IF,IHC,IP,WB。

Anti-XRCC5 Antibody (9O180)

Anti-XRCC5 Antibody (9O180)

一键复制产品信息
Rating icon 还可以
货号 TMAC-02347 别名 CTC-85

Anti-XRCC5 Antibody (9O180) 是一种 Rabbit 抗体,靶向 XRCC5。Anti-XRCC5 Antibody (9O180) 可用于 ICC/IF,IHC,IP,WB。

规格价格库存数量
50 μL
¥ 1,485
5日内发货
100 μL
¥ 2,480
5日内发货
库存状态实时更新,以官网显示为准,现货产品可直接加购物车下单
大包装 & 定制
加入购物车
TargetMol的所有产品仅用作科学研究或药证申报,不能被用于人体,我们不向个人提供产品和服务。请您遵守承诺用途,不得违反法律法规规定用于任何其他用途。
实验操作小课堂
常见问题解答
查看更多
资源下载:

产品介绍


生物活性
产品描述
Anti-XRCC5 Antibody (9O180) is a Rabbit antibody targeting XRCC5. Anti-XRCC5 Antibody (9O180) can be used in ICC/IF,IHC,IP,WB.
别名CTC-85
Ig Type
IgG
克隆号
9O180
反应种属
Human
验证活性
1. Western blot analysis of Ku80 on MCF-7 cells lysates using anti-Ku80 antibody at 1/1,000 dilution.
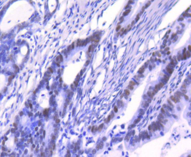
2. Immunohistochemical analysis of paraffin-embedded human colon cancer tissue using anti-Ku80 antibody. Counter stained with hematoxylin.
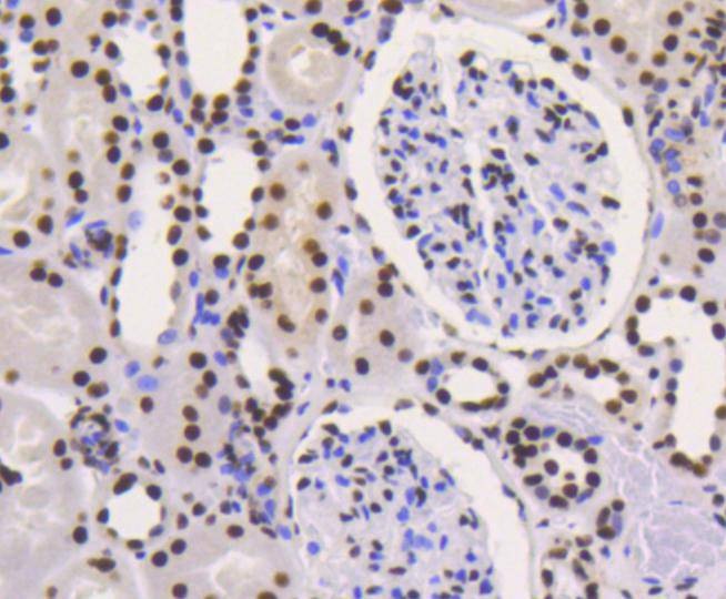
3. Immunohistochemical analysis of paraffin-embedded human kideny tissue using anti-Ku80 antibody. Counter stained with hematoxylin.
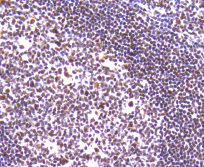
4. Immunohistochemical analysis of paraffin-embedded human tonsil tissue using anti-Ku80 antibody. Counter stained with hematoxylin.
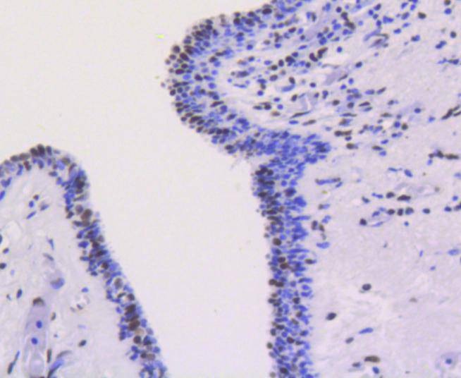
5. Immunohistochemical analysis of paraffin-embedded human breast carcinoma tissue using anti-Ku80 antibody. Counter stained with hematoxylin.
6. ICC staining Ku80 in Hela cells (green). The nuclear counter stain is DAPI (blue). Cells were fixed in paraformaldehyde, permeabilised with 0.25% Triton X100/PBS.
7. ICC staining Ku80 in A549 cells (green). The nuclear counter stain is DAPI (blue). Cells were fixed in paraformaldehyde, permeabilised with 0.25% Triton X100/PBS.
8. ICC staining Ku80 in SW480 cells (green). The nuclear counter stain is DAPI (blue). Cells were fixed in paraformaldehyde, permeabilised with 0.25% Triton X100/PBS.
verifiedActivityverifiedActivityverifiedActivityverifiedActivityverifiedActivityverifiedActivityverifiedActivityverifiedActivity
应用ICC/IFIHCIPWB
推荐剂量
WB: 1:1000-2000; IHC: 1:50-200; ICC/IF: 1:50-200
抗体种类
Monoclonal
宿主来源Rabbit
构建方式Recombinant Antibody
纯化方式ProA affinity purified
性状Liquid
缓冲液1*TBS (pH7.4), 1%BSA, 40%Glycerol. Preservative: 0.05% Sodium Azide.
研究背景The Ku protein is localized in the nucleus and is composed of subunits referred to as Ku-70 (p70) and Ku-86 (p86) which is also known by the synonym Ku-80 or (p80). Ku was first described as an autoantigen to which antibodies were produced in a patient with scleroderma polymyositis overlap syndrome, and was later found in the sera of patients with other rheumatic diseases. Both subunits of the Ku protein have been cloned, and a number of functions have been proposed for Ku, including cell signaling, DNA replication and transcriptional activation. Ku is involved in Pol II-directed transcription by virtue of its DNA binding activity, serving as the regulatory component of the DNA-associated protein kinase that phosphorylates Pol II and transcription factor Sp. Ku proteins also activate transcription from the U1 small nuclear RNA and the human transferrin receptor gene promoters. A Ku-related protein designated the enhancer 1 binding factor (E1BF), composed of two subunits, has been identified as a positive regulator of RNA polymerase I transcription initiation.
偶联与修饰
偶联
Unconjugated
抗原信息
免疫原
Recombinant Protein
Uniprot ID
化学信息
分子量Theoretical: 83 kDa.
储存&溶解度
储存方式Store at -20°C or -80°C for 12 months. Avoid repeated freeze-thaw cycles.
运输方式Shipping with blue ice.
存储store at low temperature | -20°C for 1 year

计算器

  • 稀释 计算器
Related Tags: buy Anti-XRCC5 Antibody (9O180) | purchase Anti-XRCC5 Antibody (9O180) | Anti-XRCC5 Antibody (9O180) cost | order Anti-XRCC5 Antibody (9O180) | Anti-XRCC5 Antibody (9O180) molecular weight