购物车
  • 全部删除
  • TargetMol
    您的购物车当前为空

Anti-XDH Antibody (7F885)

一键复制产品信息
Rating icon 还可以
产品编号 TMAC-04295
别名 XOR, XO, XDHA, XD, Xanthine oxidoreductase, Xanthine oxidase, Xanthine dehydrogenase/oxidase, Xanthine dehydrogenase, EC 1.17.3.2, EC 1.17.1.4

Anti-XDH Antibody (7F885) 是一种 Rabbit 抗体,靶向 XDH。Anti-XDH Antibody (7F885) 可用于 IHC,WB。

Anti-XDH Antibody (7F885)

Anti-XDH Antibody (7F885)

一键复制产品信息
Rating icon 还可以
产品编号 TMAC-04295 别名 XOR, XO, XDHA, XD, Xanthine oxidoreductase, Xanthine oxidase, Xanthine dehydrogenase/oxidase, Xanthine dehydrogenase, EC 1.17.3.2, EC 1.17.1.4

Anti-XDH Antibody (7F885) 是一种 Rabbit 抗体,靶向 XDH。Anti-XDH Antibody (7F885) 可用于 IHC,WB。

规格价格库存数量
50 μL
¥ 1,480
5日内发货
100 μL
¥ 2,485
5日内发货
大包装 & 定制
加入购物车
TargetMol 的所有产品仅用作科学研究或药证申报,不能被用于人体,我们不向个人提供产品和服务。请您遵守承诺用途,不得违反法律法规规定用于任何其他用途。
实验操作小课堂
常见问题解答
查看更多
联系我们获取更多批次信息
资源下载

产品介绍

生物活性
产品描述
Anti-XDH Antibody (7F885) is a Rabbit antibody targeting XDH. Anti-XDH Antibody (7F885) can be used in IHC,WB.
别名XOR, XO, XDHA, XD, Xanthine oxidoreductase, Xanthine oxidase, Xanthine dehydrogenase/oxidase, Xanthine dehydrogenase, EC 1.17.3.2, EC 1.17.1.4
Ig Type
IgG
克隆号
7F885
交叉反应
Human,Mouse,Rat
验证活性
1. Western blot analysis of Xanthine Oxidase on human kidney tissue lysate using anti-Xanthine Oxidase antibody at 1/1,000 dilution.
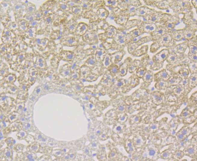
2. Immunohistochemical analysis of paraffin-embedded rat liver tissue using anti-Xanthine Oxidase antibody. Counter stained with hematoxylin.
3. Immunohistochemical analysis of paraffin-embedded human liver tissue using anti-Xanthine Oxidase antibody. Counter stained with hematoxylin.
4. Immunohistochemical analysis of paraffin-embedded mouse liver tissue using anti-Xanthine Oxidase antibody. Counter stained with hematoxylin.
verifiedActivityverifiedActivityverifiedActivityverifiedActivity
应用IHCWB
推荐剂量
WB: 1:500-2000; IHC: 1:50-200
抗体种类
Monoclonal
宿主来源Rabbit
构建方式Recombinant Antibody
纯化方式ProA affinity purified
性状Liquid
缓冲液1*TBS (pH7.4), 1%BSA, 40%Glycerol. Preservative: 0.05% Sodium Azide.
研究背景The process of metabolizing purines to a common molecule known as xanthine is an essential process for the proper shuttling of uric acid. Xanthine oxidase is a flavoprotein enzyme that coordinates molybdenum and utilizes NAD+ as an electron acceptor to catalyze the oxidation of hypoxanthine to xanthine and then to uric acid. The predominant form of this enzyme is xanthine dehydrogenase, which is a homodimer that can be converted to xanthine oxidase by sulfhydryl oxidation or proteolytic modification. Xanthine oxidase is present in species ranging from bacteria to human and is ubiquitously expressed in mammalian tissues. In the oxidase form, this enzyme is coupled to the generation of free radicals. Individuals showing marked elevation of serum xanthine oxidase is suggestive of chronic liver disease and cholestasis, which is a condition defined by hepatic obstruction. Hepatic obstruction causes bile salts, the bile pigment bilirubin, and fats to accumulate in the blood stream instead of being eliminated normally. The clinical consequences of defects in xanthine oxidase range from mild to severe and even contribute to fatal disorders.
偶联与修饰
偶联
Unconjugated
抗原信息
免疫原
Recombinant Protein: human Xanthine Oxidase aa 100-300
抗原种属
human
Uniprot ID
化学信息
分子量Theoretical: 146 kDa.
存储&运输
储存方式Store at -20°C or -80°C for 12 months. Avoid repeated freeze-thaw cycles.
运输方式Shipping with blue ice.

计算器

  • 稀释 计算器

评论列表

4个月前
5.0
Rating icon 很棒

评论内容

Related Tags: buy Anti-XDH Antibody (7F885) | purchase Anti-XDH Antibody (7F885) | Anti-XDH Antibody (7F885) cost | order Anti-XDH Antibody (7F885) | Anti-XDH Antibody (7F885) molecular weight