购物车
  • 全部删除
  • TargetMol
    您的购物车当前为空

Anti-WSCD2 Antibody (7M244)

一键复制产品信息
Rating icon 还可以
产品编号 TMAC-04290
别名 WSCD2_HUMAN, WSCD 2, WSC domain-containing protein 2, WSC domain containing protein 2, WSC domain containing 2, Gm450, C530024P05Rik, 4933413A10Rik

Anti-WSCD2 Antibody (7M244) 是一种 Mouse 抗体,靶向 WSCD2。Anti-WSCD2 Antibody (7M244) 可用于 ICC,IHC,WB。

Anti-WSCD2 Antibody (7M244)

Anti-WSCD2 Antibody (7M244)

一键复制产品信息
Rating icon 还可以
产品编号 TMAC-04290 别名 WSCD2_HUMAN, WSCD 2, WSC domain-containing protein 2, WSC domain containing protein 2, WSC domain containing 2, Gm450, C530024P05Rik, 4933413A10Rik

Anti-WSCD2 Antibody (7M244) 是一种 Mouse 抗体,靶向 WSCD2。Anti-WSCD2 Antibody (7M244) 可用于 ICC,IHC,WB。

规格价格库存数量
50 μL
¥ 1,985
5日内发货
100 μL
¥ 2,980
5日内发货
大包装 & 定制
加入购物车
TargetMol 的所有产品仅用作科学研究或药证申报,不能被用于人体,我们不向个人提供产品和服务。请您遵守承诺用途,不得违反法律法规规定用于任何其他用途。
实验操作小课堂
常见问题解答
查看更多
联系我们获取更多批次信息
资源下载

产品介绍

生物活性
产品描述
Anti-WSCD2 Antibody (7M244) is a Mouse antibody targeting WSCD2. Anti-WSCD2 Antibody (7M244) can be used in ICC,IHC,WB.
别名WSCD2_HUMAN, WSCD 2, WSC domain-containing protein 2, WSC domain containing protein 2, WSC domain containing 2, Gm450, C530024P05Rik, 4933413A10Rik
克隆号
7M244
交叉反应
Human
验证活性
1. Western blot analysis of WSCD2 on WSCD2 recombinant protein lysate using anti-WSCD2 antibody at 1/2000 dilution.
2. Western blot analysis of WSCD2 on human stomach tissue lysate using anti-WSCD2 antibody at 1/1000 dilution.
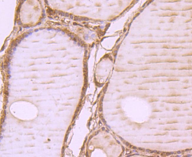
3. Immunohistochemical analysis of paraffin-embedded human thyroid tissue using anti-WSCD2 antibody. Counter stained with
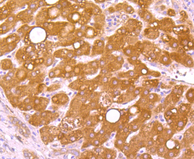
4. Immunohistochemical analysis of paraffin-embedded human liver cancer tissue using anti-WSCD2 antibody. Counter stained with hematoxylin.
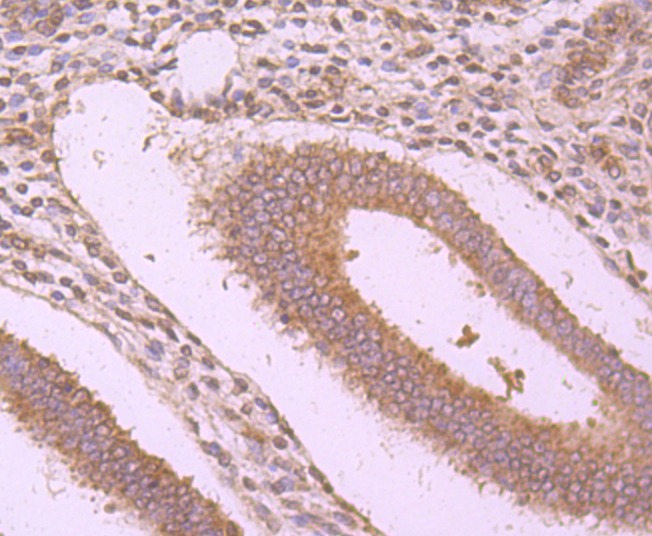
5. Immunohistochemical analysis of paraffin-embedded human uterus tissue using anti-WSCD2 antibody. Counter stained with hematoxylin.
6. ICC staining WSCD2 in SH-SY5Y cells (green). The nuclear counter stain is DAPI (blue). Cells were fixed in paraformaldehyde, permeabilised with 0.25% Triton X100/PBS.
verifiedActivityverifiedActivityverifiedActivityverifiedActivityverifiedActivityverifiedActivity
应用ICCIHCWB
推荐剂量
WB: 1:500-2000; IHC: 1:100-500; ICC: 1:50-200
抗体种类
Monoclonal
宿主来源Mouse
构建方式Hybridoma Monoclonal Antibody
纯化方式ProA affinity purified
性状Liquid
缓冲液1*TBS (pH7.4), 0.5%BSA, 50%Glycerol. Preservative: 0.05% Sodium Azide.
研究背景WSC domain-containing protein 2 (WSCD2) is a 565 amino acid, single-pass membrane protein that contains two WSC domains. The WSC domain is named after the yeast WSC1-WSC4 (cell wall integrity and stress response components 1-4) proteins, which each contain a WSC domain, and is a putative carbohydrate binding domain that spans about 90 amino acids. Containing eight conserved cysteine residues, which are predicted to form disulfide bridges, WSC domains are often found with other domains, such as LDL-receptor class A, PKD and C-type lectin. Two isoforms of WSCD2 exist as a result of alternative splicing events.
偶联与修饰
偶联
Unconjugated
抗原信息
免疫原
Recombinant Protein
Uniprot ID
化学信息
分子量Theoretical: 70 kDa.
存储&运输
储存方式Store at -20°C or -80°C for 12 months. Avoid repeated freeze-thaw cycles.
运输方式Shipping with blue ice.

计算器

  • 稀释 计算器

评论列表

4个月前
5.0
Rating icon 很棒

评论内容

Related Tags: buy Anti-WSCD2 Antibody (7M244) | purchase Anti-WSCD2 Antibody (7M244) | Anti-WSCD2 Antibody (7M244) cost | order Anti-WSCD2 Antibody (7M244) | Anti-WSCD2 Antibody (7M244) molecular weight