• TargetMol
    您的购物车当前为空

Anti-Wnt7b Polyclonal Antibody

一键复制产品信息
Rating icon 还可以
货号 TMAB-01988

别名 WNT7B, Protein Wnt-7b

Anti-Wnt7b Polyclonal Antibody 是一种 Rabbit 抗体,靶向 Wnt7b。Anti-Wnt7b Polyclonal Antibody 可用于 IF,IHC-Fr,IHC-P。

Anti-Wnt7b Polyclonal Antibody

Anti-Wnt7b Polyclonal Antibody

一键复制产品信息
Rating icon 还可以
货号 TMAB-01988 别名 WNT7B, Protein Wnt-7b

Anti-Wnt7b Polyclonal Antibody 是一种 Rabbit 抗体,靶向 Wnt7b。Anti-Wnt7b Polyclonal Antibody 可用于 IF,IHC-Fr,IHC-P。

规格价格库存数量
50 μL
¥ 1,165
5日内发货
100 μL
¥ 1,970
5日内发货
200 μL
¥ 2,790
5日内发货
库存状态实时更新,以官网显示为准,现货产品可直接加购物车下单
大包装 & 定制
加入购物车
TargetMol的所有产品仅用作科学研究或药证申报,不能被用于人体,我们不向个人提供产品和服务。请您遵守承诺用途,不得违反法律法规规定用于任何其他用途。
实验操作小课堂
常见问题解答
查看更多
资源下载:

产品介绍


生物活性
产品描述
Anti-Wnt7b Polyclonal Antibody is a Rabbit antibody targeting Wnt7b. Anti-Wnt7b Polyclonal Antibody can be used in IF,IHC-Fr,IHC-P.
别名WNT7B, Protein Wnt-7b
Ig Type
IgG
反应种属
Human,Mouse,Rat (predicted:Chicken,Dog,Pig,Horse,Rabbit)
验证活性
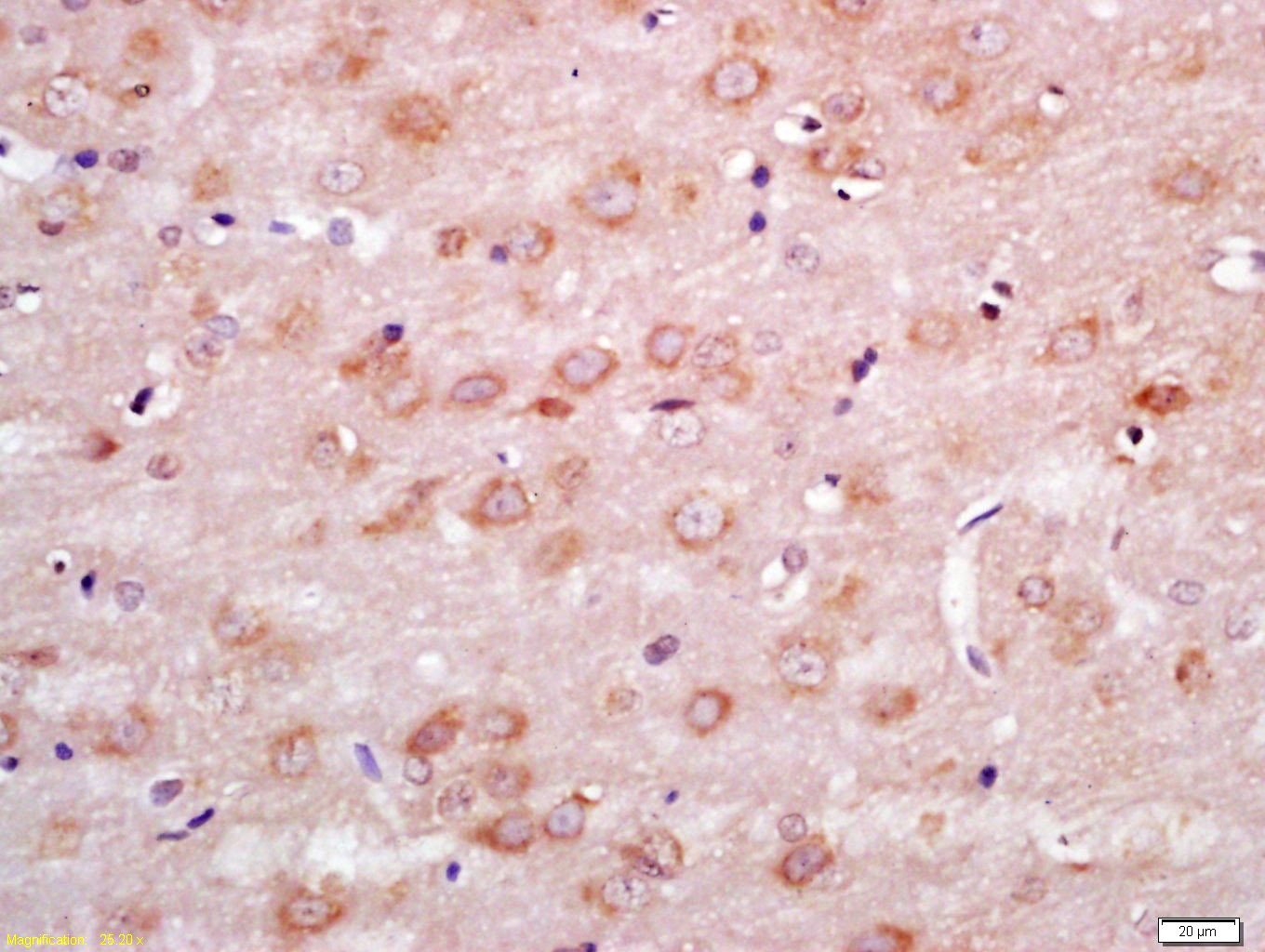
1. Tissue/cell: rat brain tissue; 4% Paraformaldehyde-fixed and paraffin-embedded;
Antigen retrieval: citrate buffer (0.01M, pH6.0), Boiling bathing for 15 min; Block endogenous peroxidase by 3% Hydrogen peroxide for 30 min; Blocking buffer (normal goat serum) at 37°C for 20 min;
Incubation: Anti-WNT7B Polyclonal Antibody, Unconjugated (TMAB-01988) 1:200, overnight at 4°C, followed by conjugation to the secondary antibody and DAb staining.
2. Tissue/cell: human lung carcinoma; 4% Paraformaldehyde-fixed and paraffin-embedded;
Antigen retrieval: citrate buffer (0.01M, pH6.0), Boiling bathing for 15 min; Block endogenous peroxidase by 3% Hydrogen peroxide for 30 min; Blocking buffer (normal goat serum) at 37°C for 20 min;
Incubation: Anti-WNT7B Polyclonal Antibody, Unconjugated (TMAB-01988) 1:200, overnight at 4°C, followed by conjugation to the secondary antibody and DAb staining.
3. Paraformaldehyde-fixed, paraffin embedded (Human kidney); Antigen retrieval by boiling in sodium citrate buffer (pH6.0) for 15 min; Block endogenous peroxidase by 3% hydrogen peroxide for 20 min; Blocking buffer (normal goat serum) at 37°C for 30 min; Antibody incubation with (WNT7B) Polyclonal Antibody, Unconjugated (TMAB-01988) at 1:200 overnight at 4°C, followed by operating according to SP Kit (Rabbit) instructionsand DAB staining.
4. Paraformaldehyde-fixed, paraffin embedded (mouse uterus); Antigen retrieval by boiling in sodium citrate buffer (pH6.0) for 15 min; Block endogenous peroxidase by 3% hydrogen peroxide for 20 min; Blocking buffer (normal goat serum) at 37°C for 30 min; Antibody incubation with (WNT7B) Polyclonal Antibody, Unconjugated (TMAB-01988) at 1:200 overnight at 4°C, followed by operating according to SP Kit (Rabbit) instructionsand DAB staining.
verifiedActivityverifiedActivityverifiedActivityverifiedActivity
应用IFIHC-FrIHC-P
推荐剂量
IHC-P: 1:100-500; IHC-Fr: 1:100-500; IF: 1:100-500
抗体种类
Polyclonal
宿主来源Rabbit
亚细胞定位Secreted, extracellular space, extracellular matrix.
组织特异性Moderately expressed in fetal brain, weakly expressed in fetal lung and kidney, and faintly expressed in adult brain, lung and prostate.
构建方式Polyclonal Antibody
纯化方式Protein A purified
性状Liquid
缓冲液0.01M TBS (pH7.4) with 1% BSA, 0.02% Proclin300 and 50% Glycerol.
浓度1 mg/mL
研究背景Wnt7b is a secreted glycosylated protein that belongs to the Wnt family. Wnt proteins can be lipid modified and are ligands for members of the frizzled family of receptors, which mediate cell-cell communication during development. Wnt7b is thought to modulate several important signaling pathways in the lung which results in the coordinated proliferation of adjacent epithelial and mesenchymal cells to stimulate organ growth.
抗原信息
免疫原
KLH conjugated synthetic peptide: human WNT7B
抗原种属
Human
基因名称
WNT7B
基因ID
蛋白名称
Protein Wnt-7b
Uniprot ID
研究领域
Signal transduction,Secreted
功能
Ligand for members of the frizzled family of seven transmembrane receptors. Probable developmental protein. May be a signaling molecule which affects the development of discrete regions of tissues. Is likely to signal over only few cell diameters (By similarity).
化学信息
分子量Theoretical: 36 kDa.
储存&溶解度
储存方式Store at -20°C or -80°C for 12 months. Avoid repeated freeze-thaw cycles.
运输方式Shipping with blue ice.
存储store at low temperature | store at -20°C

计算器

  • 稀释 计算器

关键词

Related Tags: buy Anti-Wnt7b Polyclonal Antibody | purchase Anti-Wnt7b Polyclonal Antibody | Anti-Wnt7b Polyclonal Antibody cost | order Anti-Wnt7b Polyclonal Antibody | Anti-Wnt7b Polyclonal Antibody molecular weight