购物车
  • TargetMol
    您的购物车当前为空

Anti-VSIG4 Polyclonal Antibody

Synonyms: Z39IG, V-set and immunoglobulin domain containing 4, CRIg
货号 TMAB-01974 一键复制产品信息
Rating icon 还可以

Anti-VSIG4 Polyclonal Antibody 是一种 Rabbit 抗体,靶向 VSIG4。Anti-VSIG4 Polyclonal Antibody 可用于 IF,IHC-Fr,IHC-P,WB。

Anti-VSIG4 Polyclonal Antibody

一键复制产品信息
Rating icon 还可以
货号 TMAB-01974

别名 Z39IG, V-set and immunoglobulin domain containing 4, CRIg

Anti-VSIG4 Polyclonal Antibody 是一种 Rabbit 抗体,靶向 VSIG4。Anti-VSIG4 Polyclonal Antibody 可用于 IF,IHC-Fr,IHC-P,WB。

Anti-VSIG4 Polyclonal Antibody
规格价格库存数量
50 μL
¥ 1,175
5日内发货
100 μL
¥ 1,970
5日内发货
200 μL
¥ 2,785
5日内发货
库存状态实时更新,以官网显示为准,现货产品可直接加购物车下单
大包装 & 定制
加入购物车

TargetMol的所有产品仅用作科学研究或药证申报,不能被用于人体,我们不向个人提供产品和服务。请您遵守承诺用途,不得违反法律法规规定用于任何其他用途。

实验操作小课堂
常见问题解答
查看更多

资源下载:产品操作手册

产品介绍


生物活性
产品描述
Anti-VSIG4 Polyclonal Antibody is a Rabbit antibody targeting VSIG4. Anti-VSIG4 Polyclonal Antibody can be used in IF,IHC-Fr,IHC-P,WB.
别名
Z39IG, V-set and immunoglobulin domain containing 4, CRIg
Ig Type
IgG
反应种属
Mouse,Rat (predicted:Human,Dog,Cow)
验证活性
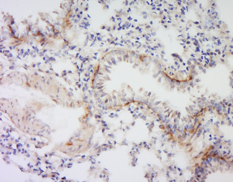
1. Tissue/cell: Rat lung tissue; 4% Paraformaldehyde-fixed and paraffin-embedded;
Antigen retrieval: citrate buffer (0.01M, pH6.0), Boiling bathing for 15 min; Block endogenous peroxidase by 3% Hydrogen peroxide for 30 min; Blocking buffer (normal goat serum) at 37°C for 20 min;
Incubation: Anti-VSIG4 Polyclonal Antibody, Unconjugated (TMAB-01974) 1:200, overnight at 4°C, followed by conjugation to the secondary antibody and DAb staining.
2. Sample:
Lung (Mouse) lysate at 30 μg
Placenta (Mouse) Lysate at 30 μg
Primary: Anti-VSIG4 (TMAB-01974) at 1/300 dilution
Secondary: IRDye800CW Goat Anti-Rabbit IgG at 1/20000 dilution
Predicted band size: 33 kDa
Observed band size: 33 kDa
3. Sample:
Placenta (Mouse) Lysate at 40 μg
Primary: Anti-VSIG4 (TMAB-01974) at 1/1000 dilution
Secondary: IRDye800CW Goat Anti-Rabbit IgG at 1/20000 dilution
Predicted band size: 33 kDa
Observed band size: 33 kDa
4. Sample:
Lung (Mouse) Lysate at 40 μg
Primary: Anti-VSIG4 (TMAB-01974) at 1/1000 dilution
Secondary: IRDye800CW Goat Anti-Rabbit IgG at 1/20000 dilution
Predicted band size: 33 kDa
Observed band size: 33 kDa
verifiedActivityverifiedActivityverifiedActivityverifiedActivity
应用IFIHC-FrIHC-PWB
推荐剂量
WB: 1:500-2000; IHC-P: 1:100-500; IHC-Fr: 1:100-500; IF: 1:100-500
抗体种类
Polyclonal
宿主来源Rabbit
亚细胞定位Membrane; Single-pass type I membrane protein (Probable).
组织特异性Abundantly expressed in several fetal tissues. In adult tissues, highest expression in lung and placenta. Expressed in resting macrophages.
构建方式Polyclonal Antibody
纯化方式Protein A purified
性状Liquid
缓冲液0.01M TBS (pH7.4) with 1% BSA, 0.02% Proclin300 and 50% Glycerol.
浓度1 mg/mL
研究背景T cell activation by APCs is positively and negatively regulated by members of the B7 family. We have identified a previously unknown function for B7 familyrelated protein V-set and Ig domaincontaining 4 (VSIG4). Administration to mice of soluble VSIG4-Ig fusion molecules reduced the induction of T cell responses in vivo and inhibited the production of Th celldependent IgG responses. Unlike that of B7 family members, surface expression of VSIG4 was restricted to resting tissue macrophages and absent upon activation by LPS or in autoimmune inflammatory foci. The specific expression of VSIG4 on resting macrophages in tissue suggests that this inhibitory ligand may be important for the maintenance of T cell unresponsiveness in healthy tissues.
抗原信息
免疫原
KLH conjugated synthetic peptide: human VSIG4
抗原种属
Human
基因名称
VSIG4
基因ID
蛋白名称
V-set and immunoglobulin domain-containing protein 4
Uniprot ID
研究领域
Receptors,Classical Pathway,Macrophage / Inflamm.
功能
Phagocytic receptor, strong negative regulator of T-cell proliferation and IL2 production. Potent inhibitor of the alternative complement pathway convertases.
化学信息
分子量Theoretical: 33 kDa. Actual: 33 kDa.
储存&溶解度
储存方式Store at -20°C or -80°C for 12 months. Avoid repeated freeze-thaw cycles.
运输方式Shipping with blue ice.

计算器

  • 稀释 计算器
  • 配液 计算器
Related Tags: buy Anti-VSIG4 Polyclonal Antibody | purchase Anti-VSIG4 Polyclonal Antibody | Anti-VSIG4 Polyclonal Antibody cost | order Anti-VSIG4 Polyclonal Antibody | Anti-VSIG4 Polyclonal Antibody molecular weight