购物车
  • TargetMol
    您的购物车当前为空

Anti-Von Willebrand Factor/vWF Antibody (5Q448)

Synonyms: VWF, VWD, F8VWF
货号 TMAC-04268 一键复制产品信息
Rating icon 还可以

Anti-Von Willebrand Factor/vWF Antibody (5Q448) 是一种 Rabbit 抗体,靶向 Von Willebrand Factor/vWF。Anti-Von Willebrand Factor/vWF Antibody (5Q448) 可用于 IHC,WB。

Anti-Von Willebrand Factor/vWF Antibody (5Q448)

一键复制产品信息
Rating icon 还可以
货号 TMAC-04268

别名 VWF, VWD, F8VWF

Anti-Von Willebrand Factor/vWF Antibody (5Q448) 是一种 Rabbit 抗体,靶向 Von Willebrand Factor/vWF。Anti-Von Willebrand Factor/vWF Antibody (5Q448) 可用于 IHC,WB。

Anti-Von Willebrand Factor/vWF Antibody (5Q448)
规格价格库存数量
50 μL
¥ 1,490
5日内发货
100 μL
¥ 2,480
5日内发货
库存状态实时更新,以官网显示为准,现货产品可直接加购物车下单
大包装 & 定制
加入购物车

TargetMol的所有产品仅用作科学研究或药证申报,不能被用于人体,我们不向个人提供产品和服务。请您遵守承诺用途,不得违反法律法规规定用于任何其他用途。

实验操作小课堂
常见问题解答
查看更多

资源下载:产品操作手册

产品介绍


生物活性
产品描述
Anti-Von Willebrand Factor/vWF Antibody (5Q448) is a Rabbit antibody targeting Von Willebrand Factor/vWF. Anti-Von Willebrand Factor/vWF Antibody (5Q448) can be used in IHC,WB.
别名
VWF, VWD, F8VWF
Ig Type
IgG
克隆号
5Q448
反应种属
Human
验证活性
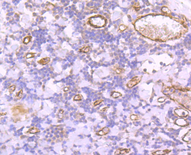
1. Immunohistochemical analysis of paraffin-embedded human tonsil tissue using anti-Von Willebrand Factor antibody. Counter stained with hematoxylin.
2. Western blot analysis of VWF expression in human serum lysate.
verifiedActivityverifiedActivity
应用IHCWB
推荐剂量
WB: 1:500-2000 IHC: 1:50-200
抗体种类
Monoclonal
宿主来源Rabbit
构建方式Recombinant Antibody
纯化方式ProA affinity purified
性状Liquid
缓冲液Rabbit IgG in phosphate buffered saline , pH 7.4, 150mM NaCl, 0.02% sodium azide and 50% glycerol.
研究背景Von Willebrand disease is a congenital bleeding disorder caused by defects in the von Willebrand factor protein (VWF). VWF is a multimeric glycoprotein that is found in endothelial cells, plasma and platelets, and it is involved in the coagulation of blood at injury sites. VWF acts as a carrier protein for Factor VIII, a cofactor required for coagulation, and it promotes platelet adhesion and aggregation. Several factors are known to stimulate the binding of VWF to platelets, including glycoprotein 1b, ristocetin, botrocetin, collagen, sulphatides and heparin. Of the several domains contained within VWF, the A1, A2 and A3 domains have been shown to mediate this activation. VWF is thought to undergo a variety of posttranslational modifications that influence the affinity and availability for Factor VII, including cleavage of the propeptide and formation of N-terminal intersubunit disulfide bonds.
偶联与修饰
偶联
Unconjugated
抗原信息
免疫原
Recombinant Protein
Uniprot ID
化学信息
分子量Theoretical: 309 kDa.
储存&溶解度
储存方式Store at -20°C or -80°C for 12 months. Avoid repeated freeze-thaw cycles.
运输方式Shipping with blue ice.

计算器

  • 稀释 计算器
  • 配液 计算器
Related Tags: buy Anti-Von Willebrand Factor/vWF Antibody (5Q448) | purchase Anti-Von Willebrand Factor/vWF Antibody (5Q448) | Anti-Von Willebrand Factor/vWF Antibody (5Q448) cost | order Anti-Von Willebrand Factor/vWF Antibody (5Q448) | Anti-Von Willebrand Factor/vWF Antibody (5Q448) molecular weight