购物车
  • TargetMol
    您的购物车当前为空

Anti-VEGFR1/FLT-1 Polyclonal Antibody

Synonyms: VEGFR1, VEGF R1, FRT, Flt-1, FLT1, FLT
货号 TMAB-01955 一键复制产品信息
Rating icon 还可以

Anti-VEGFR1/FLT-1 Polyclonal Antibody 是一种 Rabbit 抗体,靶向 VEGFR1/FLT-1。Anti-VEGFR1/FLT-1 Polyclonal Antibody 可用于 IF, IHC-Fr, IHC-P, WB。

Anti-VEGFR1/FLT-1 Polyclonal Antibody

一键复制产品信息
Rating icon 还可以
货号 TMAB-01955

别名 VEGFR1, VEGF R1, FRT, Flt-1, FLT1, FLT

Anti-VEGFR1/FLT-1 Polyclonal Antibody 是一种 Rabbit 抗体,靶向 VEGFR1/FLT-1。Anti-VEGFR1/FLT-1 Polyclonal Antibody 可用于 IF, IHC-Fr, IHC-P, WB。

Anti-VEGFR1/FLT-1 Polyclonal Antibody
规格价格库存数量
50 μL
¥ 1,160
5日内发货
100 μL
¥ 1,970
5日内发货
200 μL
¥ 2,790
5日内发货
库存状态实时更新,以官网显示为准,现货产品可直接加购物车下单
大包装 & 定制
加入购物车

TargetMol的所有产品仅用作科学研究或药证申报,不能被用于人体,我们不向个人提供产品和服务。请您遵守承诺用途,不得违反法律法规规定用于任何其他用途。

实验操作小课堂
常见问题解答
查看更多

资源下载:产品操作手册

产品介绍


生物活性
产品描述
Anti-VEGFR1/FLT-1 Polyclonal Antibody is a Rabbit antibody targeting VEGFR1/FLT-1. Anti-VEGFR1/FLT-1 Polyclonal Antibody can be used in IF, IHC-Fr, IHC-P, WB.
别名
VEGFR1, VEGF R1, FRT, Flt-1, FLT1, FLT
Ig Type
IgG
反应种属
Human,Rat,Mouse
验证活性
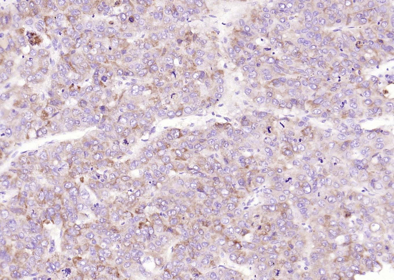
1. Paraformaldehyde-fixed, paraffin embedded (human liver carcinoma); Antigen retrieval by boiling in sodium citrate buffer (pH6.0) for 15 min; Block endogenous peroxidase by 3% hydrogen peroxide for 20 min; Blocking buffer (normal goat serum) at 37°C for 30 min; Antibody incubation with (VEGFR1) Polyclonal Antibody, Unconjugated (TMAB-01955) at 1:200 overnight at 4°C, followed by operating according to SP Kit (Rabbit) instructionsand DAB staining.
2. Sample:
Lane 1: Recombinant human VEGFR1 protein, C-His (HEK293)
Primary: Anti-VEGFR1 (TMAB-01955) at 1/1000 dilution
Secondary: IRDye800CW Goat Anti-Rabbit IgG at 1/20000 dilution
Predicted band size: 147 kDa
Observed band size: 140 kDa
verifiedActivityverifiedActivity
应用IFIHC-FrIHC-PWB
推荐剂量
WB: 1:500-2000; IHC-P: 1:100-500; IHC-Fr: 1:400-800; IF: 1:100-500
抗体种类
Polyclonal
宿主来源Rabbit
亚细胞定位Isoform 1: Cell membrane; Single-pass type I membrane protein. Endosome. Note=Autophosphorylation promotes ubiquitination and endocytosis;Isoform 2: Secreted;Isoform 3: Secreted;Isoform 4: Secreted;Isoform 5: Cytoplasm (Potential);Isoform 6: Cytoplasm (Potential);Isoform 7: Cytoplasm (Potential).
组织特异性Detected in normal lung, but also in placenta,liver, kidney, heart and brain tissues. Specifically expressed in most of the vascular endothelial cells, and also expressed in peripheral blood monocytes. Isoform 2 is strongly expressed in placenta. Isoform
构建方式Polyclonal Antibody
纯化方式Protein A purified
性状Liquid
缓冲液0.01M TBS (pH7.4) with 1% BSA, 0.02% Proclin300 and 50% Glycerol.
浓度1 mg/mL
研究背景VEGF Receptor 1 (also known as FLT) belongs to the src gene family and shows tyrosine protein kinase activity that is important for the control of cell proliferation and differentiation. The protein acts as a receptor for VEGF, VEGFB and PGF. An alternatively spliced form of the gene produces a soluble protein (sFlt1) which binds vascular endothelial growth factor (VEGF) with high affinity. sFlt1 has a higher affinity for VEGF indicating that it may function as an inhibitor in the VEGF response. VEGF Receptor 1 is specifically expressed in most vascular endothelial cells and peripheral blood monocytes.
抗原信息
免疫原
KLH conjugated synthetic peptide: mouse VEGFR1
抗原种属
Mouse
基因名称
FLT1
蛋白名称
Vascular endothelial growth factor receptor 1
研究领域
Response to hypoxia,VEGF,Angiogenic growth factors,Growth factors,Endothelial Cell Markers,VEGF Receptors,Endothelium,Hypoxia,Cancer,VEGF,Tyrosine Kinases
功能
Following activation by double-stranded RNA in the presence of ATP, the kinase becomes autophosphorylated and can catalyze the phosphorylation of the translation initiation factor EIF2S1, which leads to an inhibition of the initiation of protein synthesis. Double-stranded RNA is generated during the course of a viral infection.
化学信息
分子量Theoretical: 147 kDa. Actual: 180 kDa.
储存&溶解度
储存方式Store at -20°C or -80°C for 12 months. Avoid repeated freeze-thaw cycles.
运输方式Shipping with blue ice.

计算器

  • 稀释 计算器
  • 配液 计算器
Related Tags: buy Anti-VEGFR1/FLT-1 Polyclonal Antibody | purchase Anti-VEGFR1/FLT-1 Polyclonal Antibody | Anti-VEGFR1/FLT-1 Polyclonal Antibody cost | order Anti-VEGFR1/FLT-1 Polyclonal Antibody | Anti-VEGFR1/FLT-1 Polyclonal Antibody molecular weight