购物车
  • TargetMol
    您的购物车当前为空

Anti-K63-linkage Specific Ubiquitin Antibody (7M837)

Synonyms: UBB, Polyubiquitin-B
货号 TMAC-02295 一键复制产品信息
Rating icon 还可以

Anti-K63-linkage Specific Ubiquitin Antibody (7M837) 是一种 Rabbit 抗体,靶向 K63-linkage Specific Ubiquitin。Anti-K63-linkage Specific Ubiquitin Antibody (7M837) 可用于 ICC/IF,IHC,WB。

Anti-K63-linkage Specific Ubiquitin Antibody (7M837)

一键复制产品信息
Rating icon 还可以
货号 TMAC-02295

别名 UBB, Polyubiquitin-B

Anti-K63-linkage Specific Ubiquitin Antibody (7M837) 是一种 Rabbit 抗体,靶向 K63-linkage Specific Ubiquitin。Anti-K63-linkage Specific Ubiquitin Antibody (7M837) 可用于 ICC/IF,IHC,WB。

Anti-K63-linkage Specific Ubiquitin Antibody (7M837)
规格价格库存数量
50 μL
¥ 1,495
5日内发货
100 μL
¥ 2,485
5日内发货
库存状态实时更新,以官网显示为准,现货产品可直接加购物车下单
大包装 & 定制
加入购物车

TargetMol的所有产品仅用作科学研究或药证申报,不能被用于人体,我们不向个人提供产品和服务。请您遵守承诺用途,不得违反法律法规规定用于任何其他用途。

实验操作小课堂
常见问题解答
查看更多

资源下载:产品操作手册

产品介绍


生物活性
产品描述
Anti-K63-linkage Specific Ubiquitin Antibody (7M837) is a Rabbit antibody targeting K63-linkage Specific Ubiquitin. Anti-K63-linkage Specific Ubiquitin Antibody (7M837) can be used in ICC/IF,IHC,WB.
别名
UBB, Polyubiquitin-B
Ig Type
IgG
克隆号
7M837
反应种属
Human,Mouse,Rat
验证活性
1. Western blot analysis of K63-linkage Specific Ubiquitin on Hela cells lysates using anti-K63-linkage Specific Ubiquitin antibody at 1/1,000 dilution.
2. Immunohistochemical analysis of paraffin-embedded human colon cancer tissue using anti-K63-linkage Specific Ubiquitin antibody. Counter stained with hematoxylin.
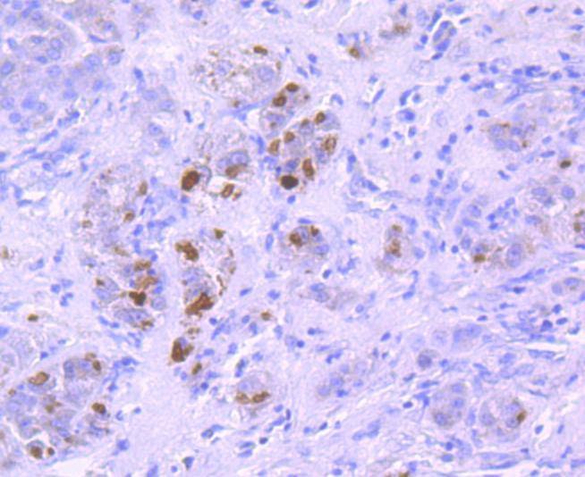
3. Immunohistochemical analysis of paraffin-embedded human liver cancer tissue using anti-K63-linkage Specific Ubiquitin antibody. Counter stained with hematoxylin.
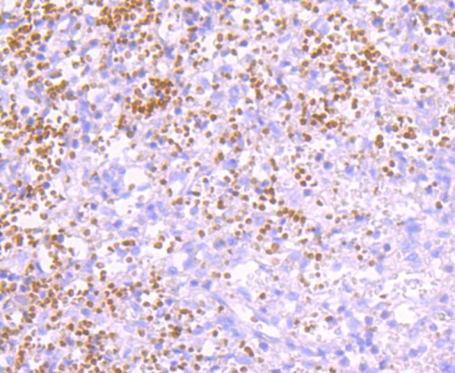
4. Immunohistochemical analysis of paraffin-embedded human spleen tissue using anti-K63-linkage Specific Ubiquitin antibody. Counter stained with hematoxylin.
5. ICC staining K63-linkage Specific Ubiquitin in Hela cells (red). The nuclear counter stain is DAPI (blue). Cells were fixed in paraformaldehyde, permeabilised with 0.25% Triton X100/PBS.
6. ICC staining K63-linkage Specific Ubiquitin in N2A cells (red). The nuclear counter stain is DAPI (blue). Cells were fixed in paraformaldehyde, permeabilised with 0.25% Triton X100/PBS.
7. ICC staining K63-linkage Specific Ubiquitin in 293T cells (red). The nuclear counter stain is DAPI (blue). Cells were fixed in paraformaldehyde, permeabilised with 0.25% Triton X100/PBS.
verifiedActivityverifiedActivityverifiedActivityverifiedActivityverifiedActivityverifiedActivityverifiedActivity
应用ICC/IFIHCWB
推荐剂量
WB: 1:1000; IHC: 1:50-200; ICC/IF: 1:100-500
抗体种类
Monoclonal
宿主来源Rabbit
构建方式Recombinant Antibody
纯化方式ProA affinity purified
性状Liquid
缓冲液1*TBS (pH7.4), 1%BSA, 40%Glycerol. Preservative: 0.05% Sodium Azide.
研究背景Ubiquitin (Ub) is among the most phylogenetically conserved proteins known. The primary function of ubiquitin is to clear abnormal, foreign and improperly folded proteins by targeting them for degradation by the 26S Proteosome. This small, 76 amino acid protein can be covalently attached to cellular proteins via an isopeptide linkage between the carboxy terminal group of ubiquitin and lysine amino groups on the acceptor protein. For proteolysis to occur, ubiquitin oligomers must be assembled. Ubiquitin chains on proteolytic substrates are commonly found to have an isopeptide bridge between Lys 48 of one ubiquitin molecule and the carboxy-terminus of a neighboring ubiquitin molecule. Ubiquitin also plays a role in regulating signal transduction cascades through the elimination inhibitory proteins, such as IκB-α and p27.
偶联与修饰
偶联
Unconjugated
抗原信息
免疫原
Recombinant Protein
Uniprot ID
化学信息
分子量Theoretical: 60-100 kDa.
储存&溶解度
储存方式Store at -20°C or -80°C for 12 months. Avoid repeated freeze-thaw cycles.
运输方式Shipping with blue ice.

计算器

  • 稀释 计算器
  • 配液 计算器
Related Tags: buy Anti-K63-linkage Specific Ubiquitin Antibody (7M837) | purchase Anti-K63-linkage Specific Ubiquitin Antibody (7M837) | Anti-K63-linkage Specific Ubiquitin Antibody (7M837) cost | order Anti-K63-linkage Specific Ubiquitin Antibody (7M837) | Anti-K63-linkage Specific Ubiquitin Antibody (7M837) molecular weight