购物车
  • TargetMol
    您的购物车当前为空

Anti-Tyrosine Hydroxylase Polyclonal Antibody

Synonyms: tyrosine hydroxylase
货号 TMAB-01924 一键复制产品信息
Rating icon 还可以

Anti-Tyrosine Hydroxylase Polyclonal Antibody 是一种 Rabbit 抗体,靶向 V5 tag。Anti-Tyrosine Hydroxylase Polyclonal Antibody 可用于 WB,IHC-P,IHC-F,IF,FCM,ICC/IF。

Anti-Tyrosine Hydroxylase Polyclonal Antibody

一键复制产品信息
Rating icon 还可以
货号 TMAB-01924

别名 tyrosine hydroxylase

Anti-Tyrosine Hydroxylase Polyclonal Antibody 是一种 Rabbit 抗体,靶向 V5 tag。Anti-Tyrosine Hydroxylase Polyclonal Antibody 可用于 WB,IHC-P,IHC-F,IF,FCM,ICC/IF。

Anti-Tyrosine Hydroxylase Polyclonal Antibody
规格价格库存数量
50 μL
¥ 1,160
5日内发货
100 μL
¥ 1,965
5日内发货
200 μL
¥ 2,780
5日内发货
库存状态实时更新,以官网显示为准,现货产品可直接加购物车下单
大包装 & 定制
加入购物车

TargetMol的所有产品仅用作科学研究或药证申报,不能被用于人体,我们不向个人提供产品和服务。请您遵守承诺用途,不得违反法律法规规定用于任何其他用途。

实验操作小课堂
常见问题解答
查看更多

选择批次:
颜色: 无色透明
性状: Liquid
资源下载: COA产品操作手册

产品介绍


生物活性
产品描述
Anti-Tyrosine Hydroxylase Polyclonal Antibody is a Rabbit antibody targeting V5 tag. Anti-Tyrosine Hydroxylase Polyclonal Antibody can be used in WB,IHC-P,IHC-F,IF,FCM,ICC/IF.
别名
tyrosine hydroxylase
Ig Type
IgG
反应种属
Mouse,Rat,Human
验证活性
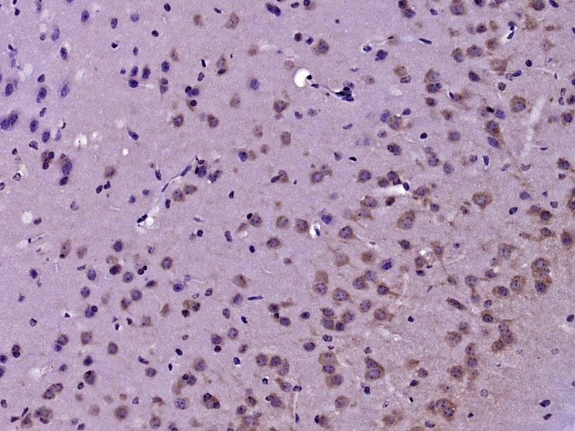
1. Tissue/cell: rat brain tissue; 4% Paraformaldehyde-fixed and paraffin-embedded;
Antigen retrieval: citrate buffer (0.01M, pH6.0), Boiling bathing for 15 min; Block endogenous peroxidase by 3% Hydrogen peroxide for 30 min; Blocking buffer (normal goat serum) at 37°C for 20 min;
Incubation: Anti-Tyrosine Hydroxylase Polyclonal Antibody, Unconjugated (TMAB-01924) 1:200, overnight at 4°C, followed by conjugation to the secondary antibody and DAb staining.
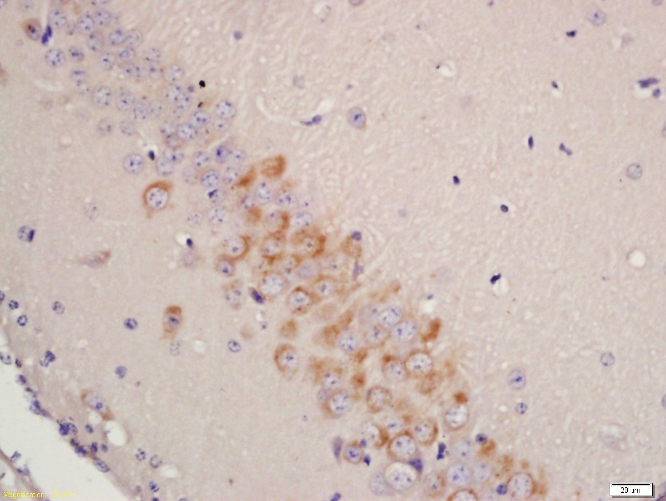
2. Paraformaldehyde-fixed, paraffin embedded (Mouse brain); Antigen retrieval by boiling in sodium citrate buffer (pH6.0) for 15 min; Block endogenous peroxidase by 3% hydrogen peroxide for 20 min; Blocking buffer (normal goat serum) at 37°C for 30 min; Antibody incubation with (Tyrosine Hydroxylase) Polyclonal Antibody, Unconjugated (TMAB-01924) at 1:400 overnight at 4°C, followed by a conjugated secondary antibody for 90 minutes, and DAPI for nucleus staining.
3. Paraformaldehyde-fixed, paraffin embedded (Rat brain); Antigen retrieval by boiling in sodium citrate buffer (pH6.0) for 15 min; Block endogenous peroxidase by 3% hydrogen peroxide for 20 min; Blocking buffer (normal goat serum) at 37°C for 30 min; Antibody incubation with (Tyrosine Hydroxylase) Polyclonal Antibody, Unconjugated (TMAB-01924) at 1:400 overnight at 4°C, followed by a conjugated secondary antibody for 90 minutes, and DAPI for nucleus staining.
4. Sample: PC-3 (Mouse) Lysate at 30 μg
Primary: Anti-Tyrosine Hydroxylase (TMAB-01924) at 1:300 dilution;
Secondary: HRP conjugated Goat-Anti-rabbit Igg (secondary antibody) at 1:5000 dilution;
Predicted band size:60 kDa
Observed band size:60 kDa
5. Sample: adipocyte (mouse) Lysate at 5-10 μg
model A, model B, model C are from different mice;
Primary: Anti-Tyrosine Hydroxylase (TMAB-01924) at 1/2000 dilution
Predicted band size: 60 kDa
Observed band size: 60 kDa
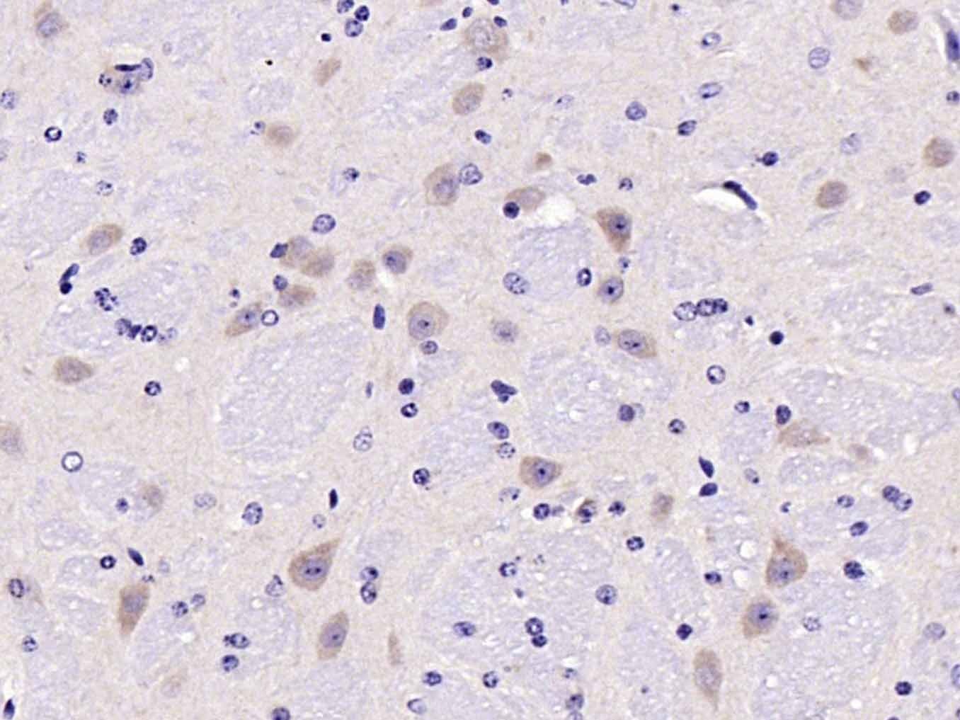
6. Paraformaldehyde-fixed, paraffin embedded (mouse brain); Antigen retrieval by boiling in sodium citrate buffer (pH6.0) for 15 min; Block endogenous peroxidase by 3% hydrogen peroxide for 20 min; Blocking buffer (normal goat serum) at 37°C for 30 min; Antibody incubation with (Tyrosine Hydroxylase) Polyclonal Antibody, Unconjugated (TMAB-01924) at 1:200 overnight at 4°C, followed by operating according to SP Kit (Rabbit) instructionsand DAB staining.
7. Paraformaldehyde-fixed, paraffin embedded (Mouse brain); Antigen retrieval by boiling in sodium citrate buffer (pH6.0) for 15 min; Block endogenous peroxidase by 3% hydrogen peroxide for 20 min; Blocking buffer (normal goat serum) at 37°C for 30 min; Antibody incubation with (Tyrosine Hydroxylase) Polyclonal Antibody, Unconjugated (TMAB-01924) at 1:400 overnight at 4°C, followed by operating according to SP Kit (Rabbit) instructionsand DAB staining.
verifiedActivityverifiedActivityverifiedActivityverifiedActivityverifiedActivityverifiedActivityverifiedActivity
应用WBIHC-PIHC-FIFFCMICC/IF
推荐剂量
WB=1:500-2000,IHC-P=1:100-500,IHC-F=1:100-500,IF=1:100-500,FCM=1:100-200,ICC/IF=1:50-200
抗体种类
Polyclonal
宿主来源Rabbit
亚细胞定位Mainly expressed in the brain and adrenal glands.
组织特异性Mainly expressed in the brain and adrenal glands.
构建方式Polyclonal Antibody
纯化方式Protein A purified
性状Liquid
缓冲液0.01M TBS (pH7.4) with 1% BSA, 0.02% Proclin300 and 50% Glycerol.
浓度1 mg/mL
研究背景The protein encoded by this gene is involved in the conversion of tyrosine to dopamine. It is the rate-limiting enzyme in the synthesis of catecholamines, hence plays a key role in the physiology of adrenergic neurons. Mutations in this gene have been associated with autosomal recessive Segawa syndrome. Alternatively spliced transcript variants encoding different isoforms have been noted for this gene. [provided by RefSeq, Jul 2008]
抗原信息
免疫原
KLH conjugated synthetic peptide: mouse TH
抗原种属
Mouse
基因名称
TH
基因ID
蛋白名称
Tyrosine 3-monooxygenase
Uniprot ID
研究领域
Noradrenaline,Dopamine,Soma marker,Hypoxia,Hormone biosynthesis,Response to hypoxia,Hormone biosynthesis
功能
Plays an important role in the physiology of adrenergic neurons.
化学信息
分子量Theoretical: 60 kDa. Actual: 60 kDa.
储存&溶解度
储存方式Store at -20°C or -80°C for 12 months. Avoid repeated freeze-thaw cycles.
运输方式Shipping with blue ice.

计算器

  • 稀释 计算器
  • 配液 计算器
Related Tags: buy Anti-Tyrosine Hydroxylase Polyclonal Antibody | purchase Anti-Tyrosine Hydroxylase Polyclonal Antibody | Anti-Tyrosine Hydroxylase Polyclonal Antibody cost | order Anti-Tyrosine Hydroxylase Polyclonal Antibody | Anti-Tyrosine Hydroxylase Polyclonal Antibody molecular weight