购物车
  • TargetMol
    您的购物车当前为空

Anti-Tryptophan Hydroxylase 1/TPH-1 Polyclonal Antibody

Synonyms: tryptophan hydroxylase 1, TRPH, TPRH
货号 TMAB-01909 一键复制产品信息
Rating icon 还可以

Anti-Tryptophan Hydroxylase 1/TPH-1 Polyclonal Antibody 是一种 Rabbit 抗体,靶向 Tryptophan Hydroxylase 1/TPH-1。Anti-Tryptophan Hydroxylase 1/TPH-1 Polyclonal Antibody 可用于 IF,IHC-Fr,IHC-P,WB。

Anti-Tryptophan Hydroxylase 1/TPH-1 Polyclonal Antibody

一键复制产品信息
Rating icon 还可以
货号 TMAB-01909

别名 tryptophan hydroxylase 1, TRPH, TPRH

Anti-Tryptophan Hydroxylase 1/TPH-1 Polyclonal Antibody 是一种 Rabbit 抗体,靶向 Tryptophan Hydroxylase 1/TPH-1。Anti-Tryptophan Hydroxylase 1/TPH-1 Polyclonal Antibody 可用于 IF,IHC-Fr,IHC-P,WB。

Anti-Tryptophan Hydroxylase 1/TPH-1 Polyclonal Antibody
规格价格库存数量
50 μL
¥ 1,170
5日内发货
100 μL
¥ 1,975
5日内发货
200 μL
¥ 2,785
5日内发货
库存状态实时更新,以官网显示为准,现货产品可直接加购物车下单
大包装 & 定制
加入购物车

TargetMol的所有产品仅用作科学研究或药证申报,不能被用于人体,我们不向个人提供产品和服务。请您遵守承诺用途,不得违反法律法规规定用于任何其他用途。

实验操作小课堂
常见问题解答
查看更多

资源下载:产品操作手册

产品介绍


生物活性
产品描述
Anti-Tryptophan Hydroxylase 1/TPH-1 Polyclonal Antibody is a Rabbit antibody targeting Tryptophan Hydroxylase 1/TPH-1. Anti-Tryptophan Hydroxylase 1/TPH-1 Polyclonal Antibody can be used in IF,IHC-Fr,IHC-P,WB.
别名
tryptophan hydroxylase 1, TRPH, TPRH
Ig Type
IgG
反应种属
Mouse,Rat (predicted:Human,Chicken,Dog,Horse,Rabbit)
验证活性
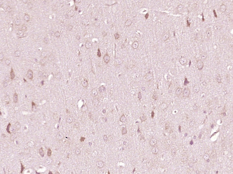
1. Paraformaldehyde-fixed, paraffin embedded (Rat brain); Antigen retrieval by boiling in sodium citrate buffer (pH6.0) for 15 min; Block endogenous peroxidase by 3% hydrogen peroxide for 20 min; Blocking buffer (normal goat serum) at 37°C for 30 min; Antibody incubation with (TPH) Polyclonal Antibody, Unconjugated (TMAB-01909) at 1:400 overnight at 4°C, followed by operating according to SP Kit (Rabbit) instructionsand DAB staining.
2. Sample:
Lane 1: Mouse Cerebrum tissue lysates
Lane 2: Mouse Cerebellum tissue lysates
Lane 3: Mouse Liver tissue lysates
Lane 4: Rat Cerebrum tissue lysates
Lane 5: Rat Cerebellum tissue lysates
Primary: Anti-TpH(TMAB-01909) at 1/1000 dilution
Secondary: IRDye800CW Goat Anti-Rabbit IgG at 1/20000 dilution
Predicted band size: 49 kDa
Observed band size: 49 kDa
verifiedActivityverifiedActivity
应用IFIHC-FrIHC-PWB
推荐剂量
WB: 1:500-2000; IHC-P: 1:100-500; IHC-Fr: 1:100-500; IF: 1:100-500
抗体种类
Polyclonal
宿主来源Rabbit
组织特异性Isoform 2 seems to be less widely expressed than isoform 1.
构建方式Polyclonal Antibody
纯化方式Protein A purified
性状Liquid
缓冲液0.01M TBS (pH7.4) with 1% BSA, 0.02% Proclin300 and 50% Glycerol.
浓度1 mg/mL
研究背景This gene encodes a member of the aromatic amino acid hydroxylase family. The encoded protein catalyzes the first and rate limiting step in the biosynthesis of serotonin, an important hormone and neurotransmitter. Mutations in this gene have been associated with an elevated risk for a variety of diseases and disorders, including schizophrenia, somatic anxiety, anger-related traits, bipolar disorder, suicidal behavior, addictions, and others.[provided by RefSeq, Apr 2009].
抗原信息
免疫原
KLH conjugated synthetic peptide: human TPH
抗原种属
Human
基因名称
TPH1
基因ID
蛋白名称
Tryptophan 5-hydroxylase 1
Uniprot ID
研究领域
Energy Metabolism,Tryptophan,Cancer,Energy Metabolism,Amino acid metabolism,Hormone biosynthesis,Hormone biosynthesis
化学信息
分子量Theoretical: 49 kDa. Actual: 49 kDa.
储存&溶解度
储存方式Store at -20°C or -80°C for 12 months. Avoid repeated freeze-thaw cycles.
运输方式Shipping with blue ice.

计算器

  • 稀释 计算器
  • 配液 计算器
Related Tags: buy Anti-Tryptophan Hydroxylase 1/TPH-1 Polyclonal Antibody | purchase Anti-Tryptophan Hydroxylase 1/TPH-1 Polyclonal Antibody | Anti-Tryptophan Hydroxylase 1/TPH-1 Polyclonal Antibody cost | order Anti-Tryptophan Hydroxylase 1/TPH-1 Polyclonal Antibody | Anti-Tryptophan Hydroxylase 1/TPH-1 Polyclonal Antibody molecular weight