购物车
  • TargetMol
    您的购物车当前为空

Anti-TRIM21 Polyclonal Antibody

Synonyms: tripartite motif containing 21, SSA1, SSA, RO52, Ro/SSA, RNF81
货号 TMAB-01896 一键复制产品信息
Rating icon 还可以

Anti-TRIM21 Polyclonal Antibody 是一种 Rabbit 抗体,靶向 TRIM21。Anti-TRIM21 Polyclonal Antibody 可用于 ELISA,IF,IHC-Fr,IHC-P,WB。

Anti-TRIM21 Polyclonal Antibody

一键复制产品信息
Rating icon 还可以
货号 TMAB-01896

别名 tripartite motif containing 21, SSA1, SSA, RO52, Ro/SSA, RNF81

Anti-TRIM21 Polyclonal Antibody 是一种 Rabbit 抗体,靶向 TRIM21。Anti-TRIM21 Polyclonal Antibody 可用于 ELISA,IF,IHC-Fr,IHC-P,WB。

Anti-TRIM21 Polyclonal Antibody
规格价格库存数量
50 μL
¥ 1,175
5日内发货
100 μL
¥ 1,975
5日内发货
200 μL
¥ 2,795
5日内发货
库存状态实时更新,以官网显示为准,现货产品可直接加购物车下单
大包装 & 定制
加入购物车

TargetMol的所有产品仅用作科学研究或药证申报,不能被用于人体,我们不向个人提供产品和服务。请您遵守承诺用途,不得违反法律法规规定用于任何其他用途。

实验操作小课堂
常见问题解答
查看更多

资源下载:产品操作手册

产品介绍


生物活性
产品描述
Anti-TRIM21 Polyclonal Antibody is a Rabbit antibody targeting TRIM21. Anti-TRIM21 Polyclonal Antibody can be used in ELISA,IF,IHC-Fr,IHC-P,WB.
别名
tripartite motif containing 21, SSA1, SSA, RO52, Ro/SSA, RNF81
Ig Type
IgG
反应种属
Human,Rat,Mouse
验证活性
1. Sample: U937 Cell Lysate at 40 μg
Primary: Anti-TRIM21 (TMAB-01896) at 1/300 dilution
Secondary: IRDye800CW Goat Anti-Rabbit IgG at 1/20000 dilution
Predicted band size: 52 kDa
Observed band size: 56 kDa
2. Sample:
Heart (Mouse) Lysate at 40 μg
Primary: Anti-TRIM21 (TMAB-01896) at 1/1000 dilution
Secondary: IRDye800CW Goat Anti-Rabbit IgG at 1/20000 dilution
Predicted band size: 52 kDa
Observed band size: 52 kDa
3. Sample:
Lung (Mouse) Lysate at 40 μg
Primary: Anti-TRIM21 (TMAB-01896) at 1/1000 dilution
Secondary: IRDye800CW Goat Anti-Rabbit IgG at 1/20000 dilution
Predicted band size: 52 kDa
Observed band size: 52 kDa
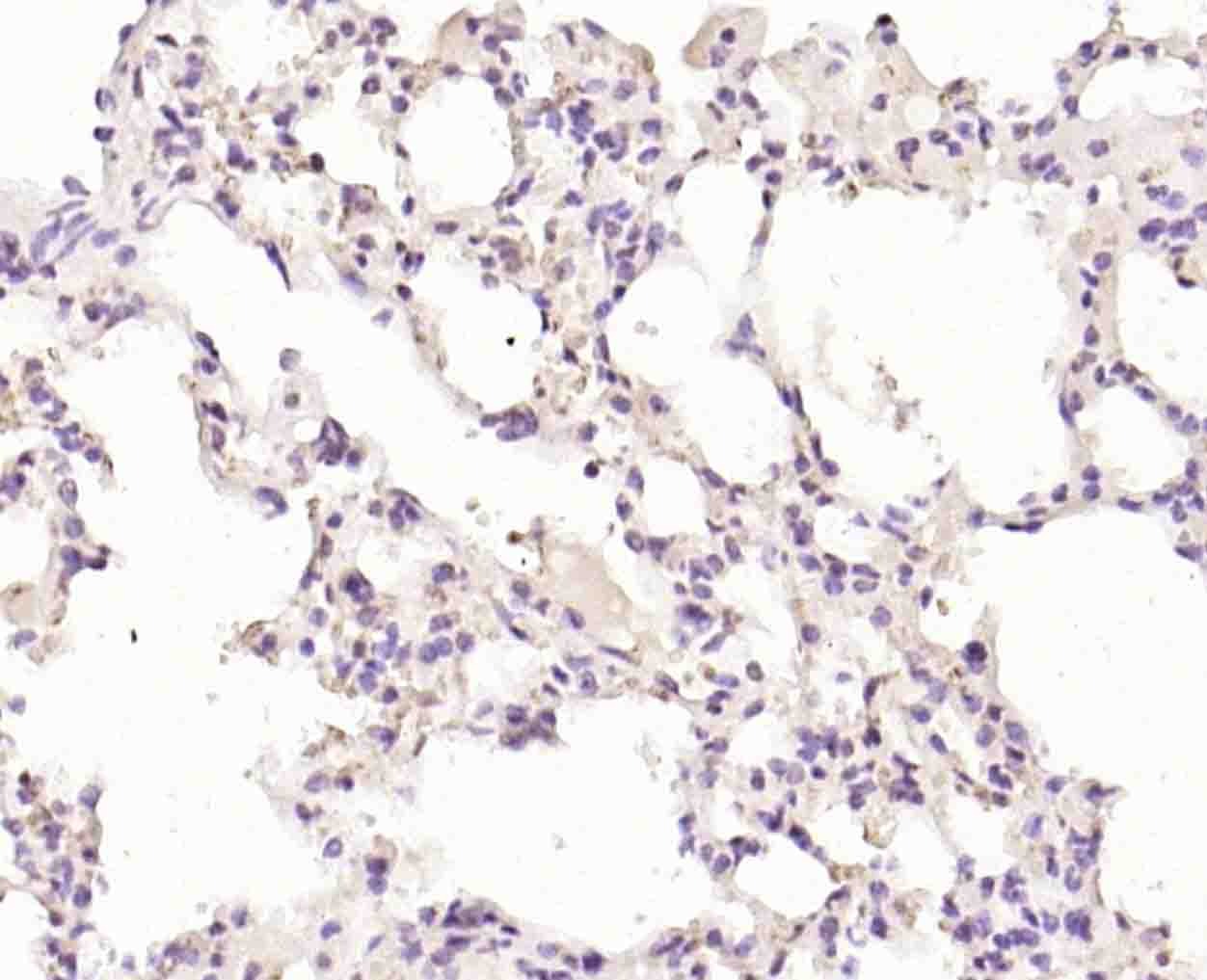
4. Paraformaldehyde-fixed, paraffin embedded (mouse lung); Antigen retrieval by boiling in sodium citrate buffer (pH6.0) for 15 min; Block endogenous peroxidase by 3% hydrogen peroxide for 20 min; Blocking buffer (normal goat serum) at 37°C for 30 min; Incubation with (TRIM21) Polyclonal Antibody, Unconjugated (TMAB-01896) at 1:200 overnight at 4°C, followed by operating according to SP Kit (Rabbit) instructionsand DAB staining.
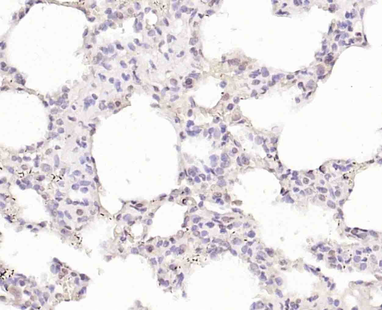
5. Paraformaldehyde-fixed, paraffin embedded (rat lung); Antigen retrieval by boiling in sodium citrate buffer (pH6.0) for 15 min; Block endogenous peroxidase by 3% hydrogen peroxide for 20 min; Blocking buffer (normal goat serum) at 37°C for 30 min; Incubation with (TRIM21) Polyclonal Antibody, Unconjugated (TMAB-01896) at 1:200 overnight at 4°C, followed by operating according to SP Kit (Rabbit) instructionsand DAB staining.
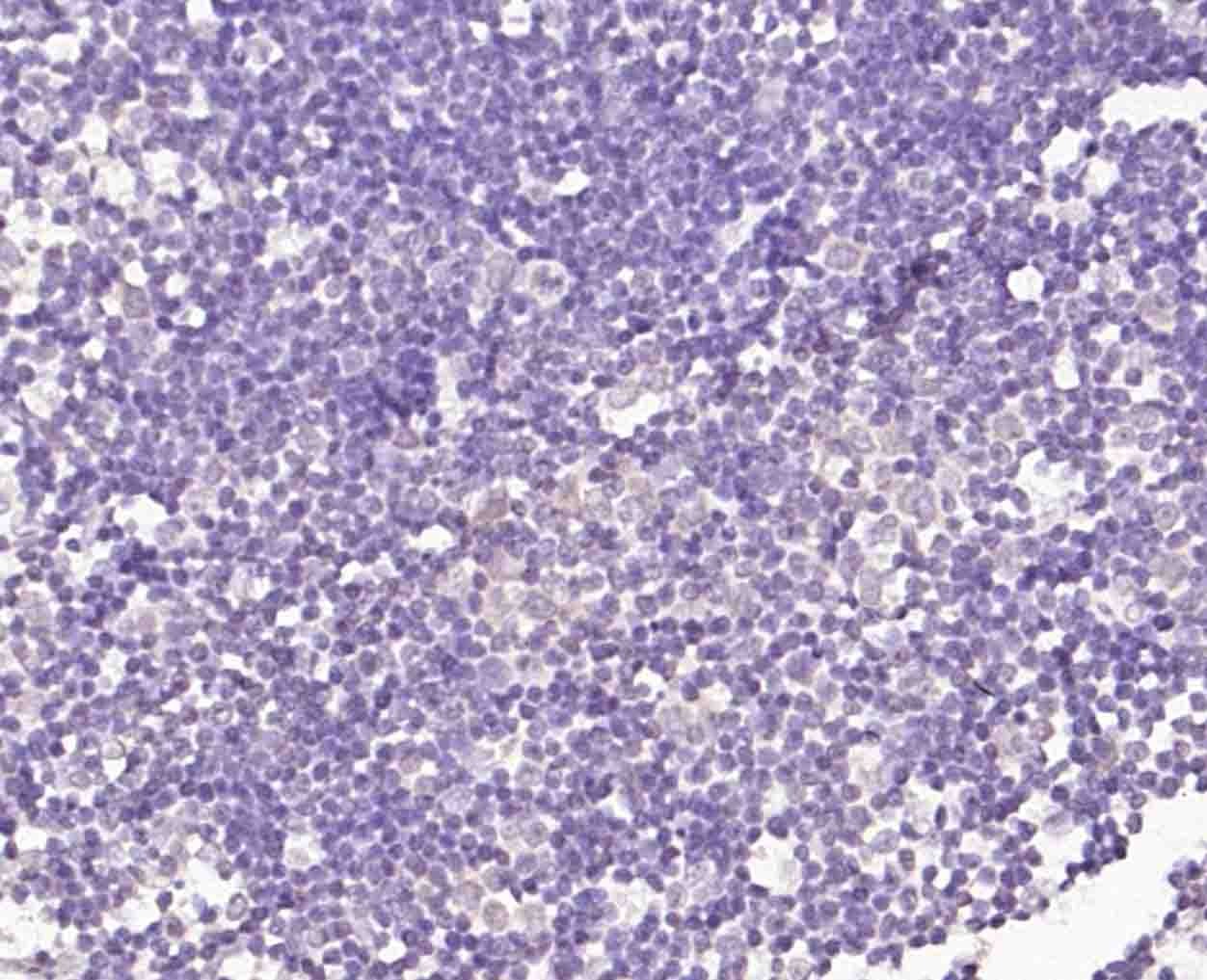
6. Paraformaldehyde-fixed, paraffin embedded (rat lymphoid); Antigen retrieval by boiling in sodium citrate buffer (pH6.0) for 15 min; Block endogenous peroxidase by 3% hydrogen peroxide for 20 min; Blocking buffer (normal goat serum) at 37°C for 30 min; Incubation with (TRIM21) Polyclonal Antibody, Unconjugated (TMAB-01896) at 1:200 overnight at 4°C, followed by operating according to SP Kit (Rabbit) instructionsand DAB staining.
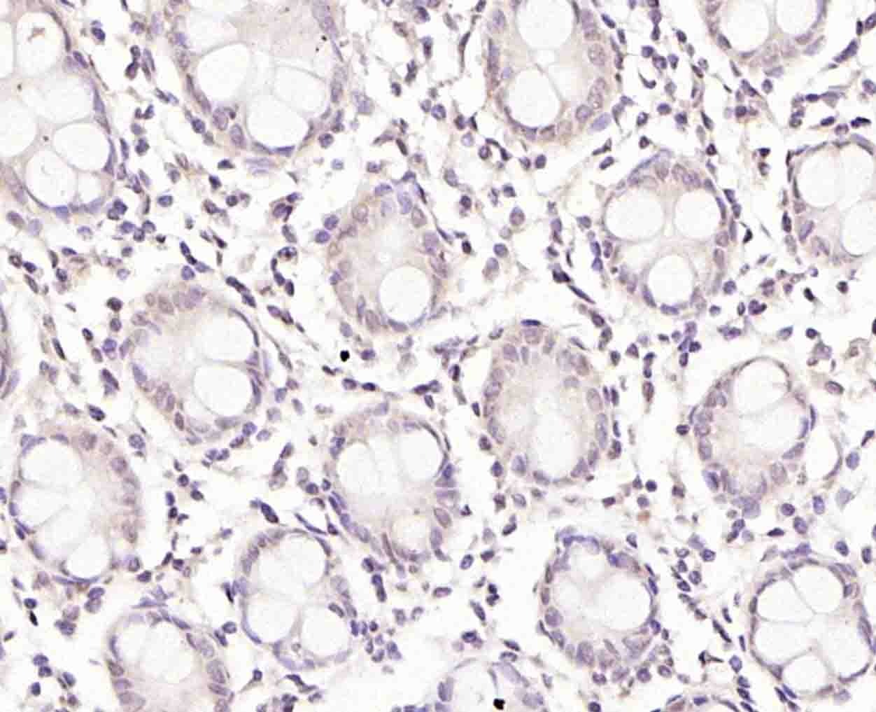
7. Paraformaldehyde-fixed, paraffin embedded (human colon); Antigen retrieval by boiling in sodium citrate buffer (pH6.0) for 15 min; Block endogenous peroxidase by 3% hydrogen peroxide for 20 min; Blocking buffer (normal goat serum) at 37°C for 30 min; Incubation with (TRIM21) Polyclonal Antibody, Unconjugated (TMAB-01896) at 1:200 overnight at 4°C, followed by operating according to SP Kit (Rabbit) instructionsand DAB staining.
verifiedActivityverifiedActivityverifiedActivityverifiedActivityverifiedActivityverifiedActivityverifiedActivity
应用ELISAIFIHC-FrIHC-PWB
推荐剂量
WB: 1:500-2000; IHC-P: 1:100-500; IHC-Fr: 1:100-500; IF: 1:100-500; ELISA: 1:5000-10000
抗体种类
Polyclonal
宿主来源Rabbit
亚细胞定位Cytoplasm. Nucleus. Cytoplasm, P-body. Note=Enters the nucleus upon exposure to nitric oxide. Localizes to small dot- or rod-like structures in the cytoplasm, called cytoplasmic bodies (P-body) that are located underneath the plasma membrane and also diffusely in the cytoplasm and are highly motil in cells. Cytoplasmic bodies are located along the microtubules and do not share the same cytoplasmic bodies with TRIM5. Colocalizes with DCP2 in P-body.
组织特异性Isoform 1 and isoform 2 are expressed in fetal and adult heart and fetal lung.
构建方式Polyclonal Antibody
纯化方式Protein A purified
性状Liquid
缓冲液0.01M TBS (pH7.4) with 1% BSA, 0.02% Proclin300 and 50% Glycerol.
浓度1 mg/mL
研究背景This gene encodes a member of the tripartite motif (TRIM) family. The TRIM motif includes three zinc-binding domains, a RING, a B-box type 1 and a B-box type 2, and a coiled-coil region. The encoded protein is part of the RoSSA ribonucleoprotein, which includes a single polypeptide and one of four small RNA molecules. The RoSSA particle localizes to both the cytoplasm and the nucleus. RoSSA interacts with autoantigens in patients with Sjogren syndrome and systemic lupus erythematosus. Alternatively spliced transcript variants for this gene have been described but the full-length nature of only one has been determined. [provided by RefSeq, Jul 2008].
抗原信息
免疫原
KLH conjugated synthetic peptide: human TRIM21 N-terminus
抗原种属
Human
基因名称
TRIM21
基因ID
蛋白名称
E3 ubiquitin-protein ligase TRIM21
Uniprot ID
研究领域
DNA / RNA binding,RNA Processing,Splicing,Antiviral Signaling
功能
E3 ubiquitin-protein ligase whose activity is dependent on E2 enzymes, UBE2D1, UBE2D2, UBE2E1 and UBE2E2. Forms a ubiquitin ligase complex in cooperation with the E2 UBE2D2 that is used not only for the ubiquitination of USP4 and IKBKB but also for its self-ubiquitination. Component of cullin-RING-based SCF (SKP1-CUL1-F-box protein) E3 ubiquitin-protein ligase complexes such as SCF(SKP2)-like complexes. A TRIM21-containing SCF(SKP2)-like complex is shown to mediate ubiquitination of CDKN1B ('Thr-187' phosphorylated-form), thereby promoting its degradation by the proteasome. Monoubiquitinates IKBKB that will negatively regulates Tax-induced NF-kappa-B signaling. Negatively regulates IFN-beta production post-pathogen recognition by polyubiquitin-mediated degradation of IRF3. Mediates the ubiquitin-mediated proteasomal degradation of IgG1 heavy chain, which is linked to the VCP-mediated ER-associated degradation (ERAD) pathway. Promotes IRF8 ubiquitination, which enhanced the ability of IRF8 to stimulate cytokine genes transcription in macrophages. Plays a role in the regulation of the cell cycle progression. Enhances the decapping activity of DCP2. Exists as a ribonucleoprotein particle present in all mammalian cells studied and composed of a single polypeptide and one of four small RNA molecules. At least two isoforms are present in nucleated and red blood cells, and tissue specific differences in RO/SSA proteins have been identified. The common feature of these proteins is their ability to bind HY RNAs.2.
化学信息
分子量Theoretical: 52 kDa. Actual: 52 kDa.
储存&溶解度
储存方式Store at -20°C or -80°C for 12 months. Avoid repeated freeze-thaw cycles.
运输方式Shipping with blue ice.

计算器

  • 稀释 计算器
  • 配液 计算器
Related Tags: buy Anti-TRIM21 Polyclonal Antibody | purchase Anti-TRIM21 Polyclonal Antibody | Anti-TRIM21 Polyclonal Antibody cost | order Anti-TRIM21 Polyclonal Antibody | Anti-TRIM21 Polyclonal Antibody molecular weight