购物车
  • TargetMol
    您的购物车当前为空

Anti-TRAF3 Polyclonal Antibody

Synonyms: TRAFAMN, TRAF3, TNF receptor-associated factor 3, RING-type E3 ubiquitin transferase TRAF3, LMP1-associated protein 1 (LAP1), CRAF1, CD40-binding protein (CD40BP), CD40 receptor-associated factor 1 (CRAF1), CAP-1
货号 TMAB-01883 一键复制产品信息
Rating icon 还可以

Anti-TRAF3 Polyclonal Antibody 是一种 Rabbit 抗体,靶向 TRAF3。Anti-TRAF3 Polyclonal Antibody 可用于 FCM,IF,IHC-Fr,IHC-P,WB。

Anti-TRAF3 Polyclonal Antibody

一键复制产品信息
Rating icon 还可以
货号 TMAB-01883

别名 TRAFAMN, TRAF3, TNF receptor-associated factor 3, RING-type E3 ubiquitin transferase TRAF3, LMP1-associated protein 1 (LAP1), CRAF1, CD40-binding protein (CD40BP), CD40 receptor-associated factor 1 (CRAF1), CAP-1

Anti-TRAF3 Polyclonal Antibody 是一种 Rabbit 抗体,靶向 TRAF3。Anti-TRAF3 Polyclonal Antibody 可用于 FCM,IF,IHC-Fr,IHC-P,WB。

Anti-TRAF3 Polyclonal Antibody
规格价格库存数量
50 μL
¥ 1,160
5日内发货
100 μL
¥ 1,975
5日内发货
200 μL
¥ 2,780
5日内发货
库存状态实时更新,以官网显示为准,现货产品可直接加购物车下单
大包装 & 定制
加入购物车

TargetMol的所有产品仅用作科学研究或药证申报,不能被用于人体,我们不向个人提供产品和服务。请您遵守承诺用途,不得违反法律法规规定用于任何其他用途。

实验操作小课堂
常见问题解答
查看更多

资源下载:产品操作手册

产品介绍


生物活性
产品描述
Anti-TRAF3 Polyclonal Antibody is a Rabbit antibody targeting TRAF3. Anti-TRAF3 Polyclonal Antibody can be used in FCM,IF,IHC-Fr,IHC-P,WB.
别名
TRAFAMN, TRAF3, TNF receptor-associated factor 3, RING-type E3 ubiquitin transferase TRAF3, LMP1-associated protein 1 (LAP1), CRAF1, CD40-binding protein (CD40BP), CD40 receptor-associated factor 1 (CRAF1), CAP-1
Ig Type
IgG
反应种属
Human,Mouse (predicted:Rat)
验证活性
1. Blank control: Jurkat cells (blue). Primary Antibody: Rabbit Anti-TRAF3 antibody (TMAB-01883), Dilution: 1 μg in 100 μL 1X PBS containing 0.5% BSA; Isotype Control Antibody: Rabbit Igg (orange),used under the same conditions); Secondary Antibody: Goat anti-rabbit IgG-Pe (white blue), Dilution: 1:200 in 1 X PBS containing 0.5% BSA.
Protocol
The cells were fixed with 2% paraformaldehyde (10 min), then permeabilized with 90% ice-cold methanol for 30 min on ice. Primary antibody (TMAB-01883,1 μg/1x10^6 cells) were incubated for 30 min on the ice, followed by 1 X PBS containing 0.5% BSA + 10% goat serum (15 min) to block non-specific protein-protein interactions. Then the Goat Anti-rabbit IgG/PE antibody was added into the blocking buffer mentioned above to react with the primary antibody at 1/200 dilution for 30 min on ice.
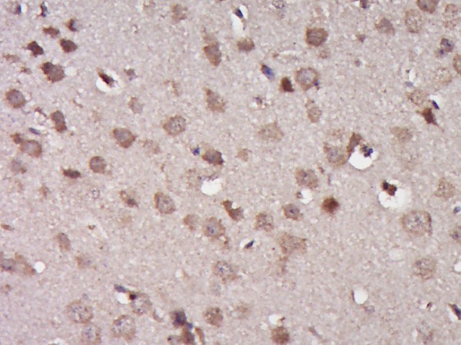
2. Paraformaldehyde-fixed, paraffin embedded (Mouse brain); Antigen retrieval by boiling in sodium citrate buffer (pH6.0) for 15 min; Block endogenous peroxidase by 3% hydrogen peroxide for 20 min; Blocking buffer (normal goat serum) at 37°C for 30 min; Antibody incubation with (TRAF3) Polyclonal Antibody, Unconjugated (TMAB-01883) at 1:400 overnight at 4°C, followed by operating according to SP Kit (Rabbit) instructions and DAB staining.
3. Sample: Spleen (Mouse) lysate at 40 μg
Primary: Anti-TRAF3 (TMAB-01883) at 1/300 dilution
Secondary: IRDye800CW Goat Anti-Rabbit IgG at 1/20000 dilution
Predicted band size: 62 kDa
Observed band size: 62 kDa
verifiedActivityverifiedActivityverifiedActivity
应用FCMIFIHC-FrIHC-PWB
推荐剂量
WB: 1:500-2000; IHC-P: 1:100-500; IHC-Fr: 1:100-500; IF: 1:100-500; FCM: 1μg/Test
抗体种类
Polyclonal
宿主来源Rabbit
组织特异性In adult, highest in brain. Also found in kidney, heart, thymus, spleen, lung, muscle, testis and ovary. Not found in liver.
构建方式Polyclonal Antibody
纯化方式Protein A purified
性状Liquid
缓冲液0.01M TBS (pH7.4) with 1% BSA, 0.02% Proclin300 and 50% Glycerol.
浓度1 mg/mL
研究背景The protein encoded by this gene is a member of the TNF receptor associated factor (TRAF) protein family. TRAF proteins associate with, and mediate the signal transduction from, members of the TNF receptor (TNFR) superfamily. This protein participates in the signal transduction of CD40, a TNFR family member important for the activation of the immune response. This protein is found to be a critical component of the lymphotoxin-beta receptor (LTbetaR) signaling complex, which induces NF-kappaB activation and cell death initiated by LTbeta ligation. Epstein-Barr virus encoded latent infection membrane protein-1 (LMP1) can interact with this and several other members of the TRAF family, which may be essential for the oncogenic effects of LMP1. Three alternatively spliced transcript variants encoding two distinct isoforms have been reported. [provided by RefSeq].
抗原信息
免疫原
KLH conjugated synthetic peptide: human TRAF3
抗原种属
Human
基因名称
TRAF3
基因ID
蛋白名称
TNF receptor-associated factor 3
Uniprot ID
研究领域
TRAF,TNF,TRAF,TNF Superfamily,SARS Coronavirus,TNF
功能
Adapter protein and signal transducer that links members of the tumor necrosis factor receptor family to different signaling pathways by association with the receptor cytoplasmic domain and kinases. Seems to be involved in activation of NF-kappa-B and JNK and in apoptosis. Is regulated by TANK/ITRAF which competes with TNFRSF5/CD40 for binding. Seems to play a role T-cell dependent immune responses (By similarity).
化学信息
分子量Theoretical: 62 kDa. Actual: 62 kDa.
储存&溶解度
储存方式Store at -20°C or -80°C for 12 months. Avoid repeated freeze-thaw cycles.
运输方式Shipping with blue ice.

计算器

  • 稀释 计算器
  • 配液 计算器
Related Tags: buy Anti-TRAF3 Polyclonal Antibody | purchase Anti-TRAF3 Polyclonal Antibody | Anti-TRAF3 Polyclonal Antibody cost | order Anti-TRAF3 Polyclonal Antibody | Anti-TRAF3 Polyclonal Antibody molecular weight