购物车
  • TargetMol
    您的购物车当前为空

Anti-TIMP-2 Polyclonal Antibody

Synonyms: TIMP metallopeptidase inhibitor 2, DDC8, CSC-21K
货号 TMAB-01846 一键复制产品信息
Rating icon 还可以

Anti-TIMP-2 Polyclonal Antibody 是一种 Rabbit 抗体,靶向 TIMP-2。Anti-TIMP-2 Polyclonal Antibody 可用于 IF, IHC-Fr, IHC-P, WB。

Anti-TIMP-2 Polyclonal Antibody

一键复制产品信息
Rating icon 还可以
货号 TMAB-01846

别名 TIMP metallopeptidase inhibitor 2, DDC8, CSC-21K

Anti-TIMP-2 Polyclonal Antibody 是一种 Rabbit 抗体,靶向 TIMP-2。Anti-TIMP-2 Polyclonal Antibody 可用于 IF, IHC-Fr, IHC-P, WB。

Anti-TIMP-2 Polyclonal Antibody
规格价格库存数量
50 μL
¥ 1,170
5日内发货
100 μL
¥ 1,960
5日内发货
200 μL
¥ 2,790
5日内发货
库存状态实时更新,以官网显示为准,现货产品可直接加购物车下单
大包装 & 定制
加入购物车

TargetMol的所有产品仅用作科学研究或药证申报,不能被用于人体,我们不向个人提供产品和服务。请您遵守承诺用途,不得违反法律法规规定用于任何其他用途。

实验操作小课堂
常见问题解答
查看更多

资源下载:产品操作手册

产品介绍


生物活性
产品描述
Anti-TIMP-2 Polyclonal Antibody is a Rabbit antibody targeting TIMP-2. Anti-TIMP-2 Polyclonal Antibody can be used in IF, IHC-Fr, IHC-P, WB.
别名
TIMP metallopeptidase inhibitor 2, DDC8, CSC-21K
Ig Type
IgG
反应种属
Mouse,Rat (predicted:Human,Dog,Pig,Cow,Horse,Sheep)
验证活性
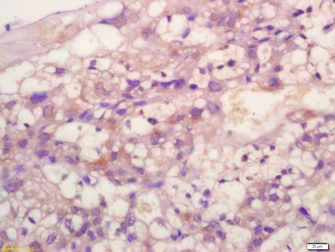
1. Tissue/cell: Human endometrium tissue; 4% Paraformaldehyde-fixed and paraffin-embedded;
Antigen retrieval: citrate buffer (0.01M, pH6.0), Boiling bathing for 15 min; Block endogenous peroxidase by 3% Hydrogen peroxide for 30 min; Blocking buffer (normal goat serum) at 37°C for 20 min;
Incubation: Anti-TIMP-2 Polyclonal Antibody, Unconjugated (TMAB-01846) 1:200, overnight at 4°C, followed by conjugation to the secondary antibody and DAb staining.
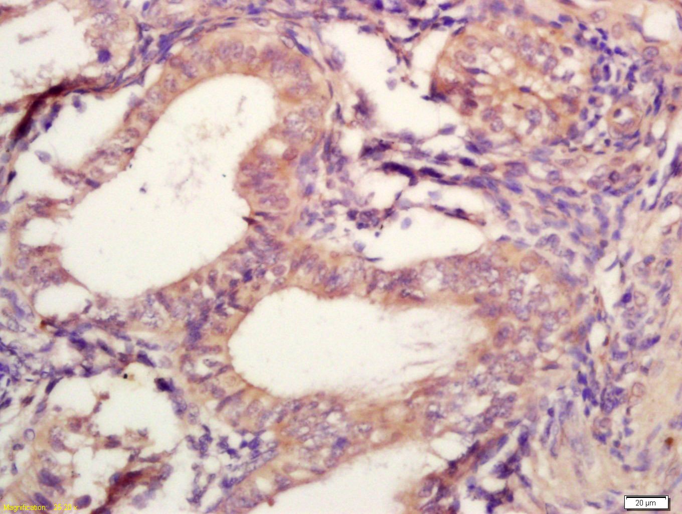
2. Tissue/cell: mouse placenta tissue; 4% Paraformaldehyde-fixed and paraffin-embedded;
Antigen retrieval: citrate buffer (0.01M, pH6.0), Boiling bathing for 15 min; Block endogenous peroxidase by 3% Hydrogen peroxide for 30 min; Blocking buffer (normal goat serum) at 37°C for 20 min;
Incubation: Anti-TIMP-2 Polyclonal Antibody, Unconjugated (TMAB-01846) 1:200, overnight at 4°C, followed by conjugation to the secondary antibody and DAb staining.
3. Paraformaldehyde-fixed, paraffin embedded (Mouse brain); Antigen retrieval by boiling in sodium citrate buffer (pH6.0) for 15 min; Block endogenous peroxidase by 3% hydrogen peroxide for 20 min; Blocking buffer (normal goat serum) at 37°C for 30 min; Antibody incubation with (TIMP-2) Polyclonal Antibody, Unconjugated (TMAB-01846) at 1:500 overnight at 4°C, followed by a conjugated secondary for 20 min and DAB staining.
4. Sample:
Lane 1: Testis (Mouse) Lysate at 40 μg
Lane 2: Cerebrum (Mouse) Lysate at 40 μg
Lane 3: Testis (Rat) Lysate at 40 μg
Lane 4: Cerebrum (Rat) Lysate at 40 μg
Primary:
Anti-TIMP2 (TMAB-01846) at 1/1000 dilution
Secondary: IRDye800CW Goat Anti-Rabbit IgG at 1/20000 dilution
Predicted band size: 22 kDa
Observed band size: 22 kDa
verifiedActivityverifiedActivityverifiedActivityverifiedActivity
应用IFIHC-FrIHC-PWB
推荐剂量
WB: 1:500-2000; IHC-P: 1:100-500; IHC-Fr: 1:100-500; IF: 1:100-500
抗体种类
Polyclonal
宿主来源Rabbit
亚细胞定位Secreted.
构建方式Polyclonal Antibody
纯化方式Protein A purified
性状Liquid
缓冲液0.01M TBS (pH7.4) with 1% BSA, 0.02% Proclin300 and 50% Glycerol.
浓度1 mg/mL
研究背景This gene is a member of the TIMP gene family. The proteins encoded by this gene family are natural inhibitors of the matrix metalloproteinases, a group of peptidases involved in degradation of the extracellular matrix. In addition to an inhibitory role against metalloproteinases, the encoded protein has a unique role among TIMP family members in its ability to directly suppress the proliferation of endothelial cells. As a result, the encoded protein may be critical to the maintenance of tissue homeostasis by suppressing the proliferation of quiescent tissues in response to angiogenic factors, and by inhibiting protease activity in tissues undergoing remodelling of the extracellular matrix. [provided by RefSeq, Jul 2008].
抗原信息
免疫原
KLH conjugated synthetic peptide: human TIMP-2
抗原种属
Human
基因名称
TIMP2
基因ID
蛋白名称
Metalloproteinase inhibitor 2
Uniprot ID
研究领域
TIMPs,TIMPs,TIMP,Endothelial mediators/regulators,TIMPs,MMP Inhibitors
功能
Complexes with metalloproteinases (such as collagenases) and irreversibly inactivates them by binding to their catalytic zinc cofactor. Known to act on MMP-1, MMP-2, MMP-3, MMP-7, MMP-8, MMP-9, MMP-10, MMP-13, MMP-14, MMP-15, MMP-16 and MMP-19.
化学信息
分子量Theoretical: 24 kDa. Actual: 22 kDa.
储存&溶解度
储存方式Store at -20°C or -80°C for 12 months. Avoid repeated freeze-thaw cycles.
运输方式Shipping with blue ice.

计算器

  • 稀释 计算器
  • 配液 计算器

关键词

Related Tags: buy Anti-TIMP-2 Polyclonal Antibody | purchase Anti-TIMP-2 Polyclonal Antibody | Anti-TIMP-2 Polyclonal Antibody cost | order Anti-TIMP-2 Polyclonal Antibody | Anti-TIMP-2 Polyclonal Antibody molecular weight