• TargetMol
    您的购物车当前为空

Anti-Thrombomodulin Antibody (5U850)

一键复制产品信息
Rating icon 还可以
货号 TMAC-04032

别名 TM, thrombomodulin, THRM, THPH12, CD141, BDCA3, AHUS6

Anti-Thrombomodulin Antibody (5U850) 是一种 Rabbit 抗体,靶向 Thrombomodulin。Anti-Thrombomodulin Antibody (5U850) 可用于 IHC,IP,WB。

Anti-Thrombomodulin Antibody (5U850)

Anti-Thrombomodulin Antibody (5U850)

一键复制产品信息
Rating icon 还可以
货号 TMAC-04032 别名 TM, thrombomodulin, THRM, THPH12, CD141, BDCA3, AHUS6

Anti-Thrombomodulin Antibody (5U850) 是一种 Rabbit 抗体,靶向 Thrombomodulin。Anti-Thrombomodulin Antibody (5U850) 可用于 IHC,IP,WB。

规格价格库存数量
50 μL
¥ 1,490
5日内发货
100 μL
¥ 2,495
5日内发货
库存状态实时更新,以官网显示为准,现货产品可直接加购物车下单
大包装 & 定制
加入购物车
TargetMol的所有产品仅用作科学研究或药证申报,不能被用于人体,我们不向个人提供产品和服务。请您遵守承诺用途,不得违反法律法规规定用于任何其他用途。
实验操作小课堂
常见问题解答
查看更多
资源下载:

产品介绍


生物活性
产品描述
Anti-Thrombomodulin Antibody (5U850) is a Rabbit antibody targeting Thrombomodulin. Anti-Thrombomodulin Antibody (5U850) can be used in IHC,IP,WB.
别名TM, thrombomodulin, THRM, THPH12, CD141, BDCA3, AHUS6
Ig Type
IgG
克隆号
5U850
反应种属
Human
验证活性
1. Western blot analysis of Thrombomodulin on A431 cell using anti-Thrombomodulin antibody at 1/500 dilution.
2. Immunohistochemical analysis of paraffin-embedded human placenta tissue using anti-Thrombomodulin antibody. Counter stained with hematoxylin.
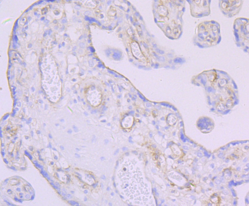
3. Immunohistochemical analysis of paraffin-embedded human lung cancer tissue using anti-Thrombomodulin antibody. Counter stained with hematoxylin.
verifiedActivityverifiedActivityverifiedActivity
应用IHCIPWB
推荐剂量
WB: 1:500-2000; IHC: 1:50-200; IP: 1:10-50
抗体种类
Monoclonal
宿主来源Rabbit
构建方式Recombinant Antibody
纯化方式ProA affinity purified
性状Liquid
缓冲液1*TBS (pH7.4), 1%BSA, 40%Glycerol. Preservative: 0.05% Sodium Azide.
研究背景Thrombomodulin (TM), also called CD141, is a type I membrane receptor that is specific to endothelial cells. TM has a cysteine-rich extracellular domain with six EGF-like regions. It forms a complex with Thrombin, which activates Protein C to generate activated Protein C (APC), an anticoagulant enzyme. APC together with Protein S inhibits coagulation by inactivating Factors Va and VIIIa. Deletion of the TM gene results in embryonic lethality in mice.
偶联与修饰
偶联
Unconjugated
抗原信息
免疫原
Recombinant Protein
Uniprot ID
化学信息
分子量Theoretical: 100 kDa.
储存&溶解度
储存方式Store at -20°C or -80°C for 12 months. Avoid repeated freeze-thaw cycles.
运输方式Shipping with blue ice.
存储store at low temperature | -20°C for 1 year

计算器

  • 稀释 计算器
Related Tags: buy Anti-Thrombomodulin Antibody (5U850) | purchase Anti-Thrombomodulin Antibody (5U850) | Anti-Thrombomodulin Antibody (5U850) cost | order Anti-Thrombomodulin Antibody (5U850) | Anti-Thrombomodulin Antibody (5U850) molecular weight