• TargetMol
    您的购物车当前为空

Anti-TGFBI Antibody (7P792)

一键复制产品信息
Rating icon 还可以
货号 TMAC-04014

别名 transforming growth factor, β-induced, 68kDa, transforming growth factor, beta-induced, 68kDa, LCD1, EBMD, CSD3, CSD2, CSD1, CSD, CDGG1, CDG2, CDB1, BIGH3

Anti-TGFBI Antibody (7P792) 是一种 Rabbit 抗体,靶向 TGFBI。Anti-TGFBI Antibody (7P792) 可用于 IHC,WB。

Anti-TGFBI Antibody (7P792)

Anti-TGFBI Antibody (7P792)

一键复制产品信息
Rating icon 还可以
货号 TMAC-04014 别名 transforming growth factor, β-induced, 68kDa, transforming growth factor, beta-induced, 68kDa, LCD1, EBMD, CSD3, CSD2, CSD1, CSD, CDGG1, CDG2, CDB1, BIGH3

Anti-TGFBI Antibody (7P792) 是一种 Rabbit 抗体,靶向 TGFBI。Anti-TGFBI Antibody (7P792) 可用于 IHC,WB。

规格价格库存数量
50 μL
¥ 1,480
5日内发货
100 μL
¥ 2,495
5日内发货
库存状态实时更新,以官网显示为准,现货产品可直接加购物车下单
大包装 & 定制
加入购物车
TargetMol的所有产品仅用作科学研究或药证申报,不能被用于人体,我们不向个人提供产品和服务。请您遵守承诺用途,不得违反法律法规规定用于任何其他用途。
实验操作小课堂
常见问题解答
查看更多
资源下载:

产品介绍


生物活性
产品描述
Anti-TGFBI Antibody (7P792) is a Rabbit antibody targeting TGFBI. Anti-TGFBI Antibody (7P792) can be used in IHC,WB.
别名transforming growth factor, β-induced, 68kDa, transforming growth factor, beta-induced, 68kDa, LCD1, EBMD, CSD3, CSD2, CSD1, CSD, CDGG1, CDG2, CDB1, BIGH3
Ig Type
IgG
克隆号
7P792
反应种属
Human,Mouse,Rat
验证活性
1. Western blot analysis of TGFBI on mouse colon (1) and mouse eye (2) tissue lysate using anti-TGFBI antibody at 1/1,000 dilution.
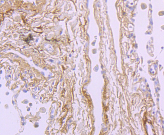
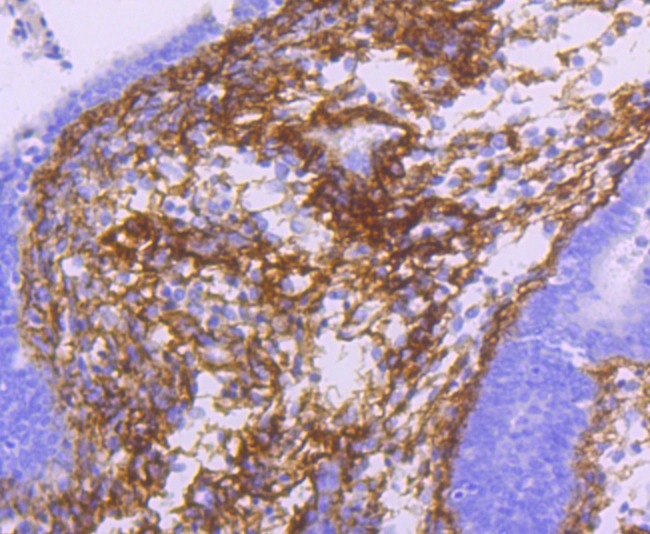
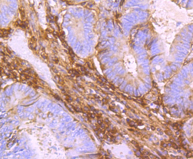
2. Immunohistochemical analysis of paraffin-embedded human lung cancer tissue using anti-TGFBI antibody. Counter stained with hematoxylin.
3. Immunohistochemical analysis of paraffin-embedded human liver cancer tissue using anti-TGFBI antibody. Counter stained with hematoxylin.
4. Immunohistochemical analysis of paraffin-embedded human colon cancer tissue using anti-TGFBI antibody. Counter stained with hematoxylin.
5. Immunohistochemical analysis of paraffin-embedded human uterus tissue using anti-TGFBI antibody. Counter stained with hematoxylin.
verifiedActivityverifiedActivityverifiedActivityverifiedActivityverifiedActivity
应用IHCWB
推荐剂量
WB: 1:500-2000; IHC: 1:50-200
抗体种类
Monoclonal
宿主来源Rabbit
构建方式Recombinant Antibody
纯化方式ProA affinity purified
性状Liquid
缓冲液1*TBS (pH7.4), 1%BSA, 40%Glycerol. Preservative: 0.05% Sodium Azide.
研究背景Binds to type I, II, and IV collagens. This adhesion protein may play an important role in cell-collagen interactions. In cartilage, may be involved in endochondral bone formation.Highly expressed in the corneal epithelium.
偶联与修饰
偶联
Unconjugated
抗原信息
免疫原
Recombinant Protein
Uniprot ID
化学信息
分子量Theoretical: 72 kDa.
储存&溶解度
储存方式Store at -20°C or -80°C for 12 months. Avoid repeated freeze-thaw cycles.
运输方式Shipping with blue ice.
存储store at low temperature | -20°C for 1 year

计算器

  • 稀释 计算器
Related Tags: buy Anti-TGFBI Antibody (7P792) | purchase Anti-TGFBI Antibody (7P792) | Anti-TGFBI Antibody (7P792) cost | order Anti-TGFBI Antibody (7P792) | Anti-TGFBI Antibody (7P792) molecular weight