购物车
  • TargetMol
    您的购物车当前为空

Anti-TACC3 Antibody (3B27)

Synonyms: Transforming acidic coiled-coil-containing protein 3, TACC 3, ERIC-1, ERIC1
货号 TMAC-03953 一键复制产品信息
Rating icon 还可以

Anti-TACC3 Antibody (3B27) 是一种 Rabbit 抗体,靶向 TACC3。Anti-TACC3 Antibody (3B27) 可用于 ICC/IF,IHC,WB。

Anti-TACC3 Antibody (3B27)

一键复制产品信息
Rating icon 还可以
货号 TMAC-03953

别名 Transforming acidic coiled-coil-containing protein 3, TACC 3, ERIC-1, ERIC1

Anti-TACC3 Antibody (3B27) 是一种 Rabbit 抗体,靶向 TACC3。Anti-TACC3 Antibody (3B27) 可用于 ICC/IF,IHC,WB。

Anti-TACC3 Antibody (3B27)
规格价格库存数量
50 μL
¥ 1,490
5日内发货
100 μL
¥ 2,485
5日内发货
库存状态实时更新,以官网显示为准,现货产品可直接加购物车下单
大包装 & 定制
加入购物车

TargetMol的所有产品仅用作科学研究或药证申报,不能被用于人体,我们不向个人提供产品和服务。请您遵守承诺用途,不得违反法律法规规定用于任何其他用途。

实验操作小课堂
常见问题解答
查看更多

资源下载:产品操作手册

产品介绍


生物活性
产品描述
Anti-TACC3 Antibody (3B27) is a Rabbit antibody targeting TACC3. Anti-TACC3 Antibody (3B27) can be used in ICC/IF,IHC,WB.
别名
Transforming acidic coiled-coil-containing protein 3, TACC 3, ERIC-1, ERIC1
Ig Type
IgG
克隆号
3B27
反应种属
Human,Mouse,Rat
验证活性
1. Western blot analysis of TACC3 on Hela cells lysates using anti-TACC3 antibody at 1/1,000 dilution.
2. Immunohistochemical analysis of paraffin-embedded human tonsil tissue using anti-TACC3 antibody. Counter stained with hematoxylin.
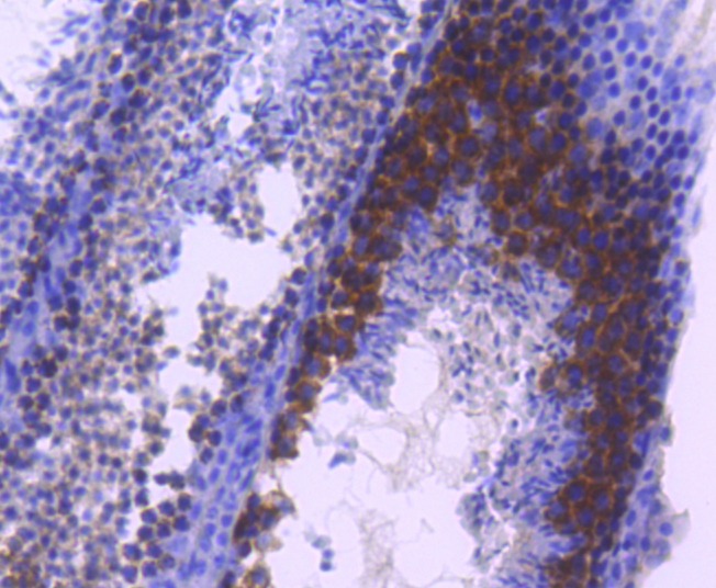
3. Immunohistochemical analysis of paraffin-embedded mouse testis tissue using anti-TACC3 antibody. Counter stained with hematoxylin.
4. ICC staining TACC3 in PANC-1 cells (green). The nuclear counter stain is DAPI (blue). Cells were fixed in paraformaldehyde, permeabilised with 0.25% Triton X100/PBS.
5. ICC staining TACC3 in PMVEC cells (green). The nuclear counter stain is DAPI (blue). Cells were fixed in paraformaldehyde, permeabilised with 0.25% Triton X100/PBS.
6. ICC staining TACC3 in PC-3M cells (green). The nuclear counter stain is DAPI (blue). Cells were fixed in paraformaldehyde, permeabilised with 0.25% Triton X100/PBS.
verifiedActivityverifiedActivityverifiedActivityverifiedActivityverifiedActivityverifiedActivity
应用ICC/IFIHCWB
推荐剂量
WB: 1:1000-5000; IHC: 1:100-500; ICC/IF: 1:100-500
抗体种类
Monoclonal
宿主来源Rabbit
构建方式Recombinant Antibody
纯化方式ProA affinity purified
性状Liquid
缓冲液1*TBS (pH7.4), 1%BSA, 40%Glycerol. Preservative: 0.05% Sodium Azide.
研究背景TACC1 (transforming acidic coiled coil gene 1) is one of three TACC family members, which are thought to be involved in breast tumorigenesis. TACC1 is located on 8p11 chromosomal region that is amplified in approximately 15% of all breast tumor samples. The short arm of chromosome 8 also contains FGFR1 whose expression is enhanced in most breast cancer tumors. TACC family members, TACC1, TACC2, and TACC3, map very closely to the corresponding FGFR1, FGFR2, FGFR3 genes on chromosomes 8, 10, and 4. Subsequently, since they are phylogenetically related, it is proposed that TACC and FGFR have similar roles in cell growth and differentiation. Also, TACC1 contains a conserved C-terminal region as in the Drosophila homolog, D-TACC. It has been shown that D-TACC is necessary for normal spindle function, and the mammalian TACC proteins appears to interact with centrosomes and microtubules in a similar manner.
偶联与修饰
偶联
Unconjugated
抗原信息
免疫原
Recombinant Protein
Uniprot ID
化学信息
分子量Theoretical: 140 kDa.
储存&溶解度
储存方式Store at -20°C or -80°C for 12 months. Avoid repeated freeze-thaw cycles.
运输方式Shipping with blue ice.

计算器

  • 稀释 计算器
  • 配液 计算器
Related Tags: buy Anti-TACC3 Antibody (3B27) | purchase Anti-TACC3 Antibody (3B27) | Anti-TACC3 Antibody (3B27) cost | order Anti-TACC3 Antibody (3B27) | Anti-TACC3 Antibody (3B27) molecular weight