购物车
  • 全部删除
  • TargetMol
    您的购物车当前为空

Anti-SYNCRIP Antibody (3C999)

一键复制产品信息
Rating icon 还可以
产品编号 TMAC-01998
别名 Synaptotagmin-binding, NSAP1, NS1-associated protein 1, HNRPQ, hnRNP Q, Heterogeneous nuclear ribonucleoprotein Q, GRY-RBP, Glycine- and tyrosine-rich RNA-binding protein, cytoplasmic RNA-interacting protein

Anti-SYNCRIP Antibody (3C999) 是一种 Rabbit 抗体,靶向 SYNCRIP。Anti-SYNCRIP Antibody (3C999) 可用于 ICC,IF,IHC,WB。

Anti-SYNCRIP Antibody (3C999)

Anti-SYNCRIP Antibody (3C999)

一键复制产品信息
Rating icon 还可以
产品编号 TMAC-01998 别名 Synaptotagmin-binding, NSAP1, NS1-associated protein 1, HNRPQ, hnRNP Q, Heterogeneous nuclear ribonucleoprotein Q, GRY-RBP, Glycine- and tyrosine-rich RNA-binding protein, cytoplasmic RNA-interacting protein

Anti-SYNCRIP Antibody (3C999) 是一种 Rabbit 抗体,靶向 SYNCRIP。Anti-SYNCRIP Antibody (3C999) 可用于 ICC,IF,IHC,WB。

规格价格库存数量
50 μL
¥ 1,490
5日内发货
100 μL
¥ 2,485
5日内发货
大包装 & 定制
加入购物车
TargetMol 的所有产品仅用作科学研究或药证申报,不能被用于人体,我们不向个人提供产品和服务。请您遵守承诺用途,不得违反法律法规规定用于任何其他用途。
实验操作小课堂
常见问题解答
查看更多
联系我们获取更多批次信息
资源下载

产品介绍

生物活性
产品描述
Anti-SYNCRIP Antibody (3C999) is a Rabbit antibody targeting SYNCRIP. Anti-SYNCRIP Antibody (3C999) can be used in ICC,IF,IHC,WB.
别名Synaptotagmin-binding, NSAP1, NS1-associated protein 1, HNRPQ, hnRNP Q, Heterogeneous nuclear ribonucleoprotein Q, GRY-RBP, Glycine- and tyrosine-rich RNA-binding protein, cytoplasmic RNA-interacting protein
Ig Type
IgG
克隆号
3C999
交叉反应
Human,Mouse,Rat
验证活性
1. Western blot analysis of hnRNP Q on K562 cell lysate using anti-hnRNP Q antibody at 1/1,000 dilution.
2. Immunohistochemical analysis of paraffin-embedded rat testis tissue using anti-hnRNP Q antibody. Counter stained with hematoxylin.
3. Immunohistochemical analysis of paraffin-embedded human thyroid gland tissue using anti-hnRNP Q antibody. Counter stained with hematoxylin.
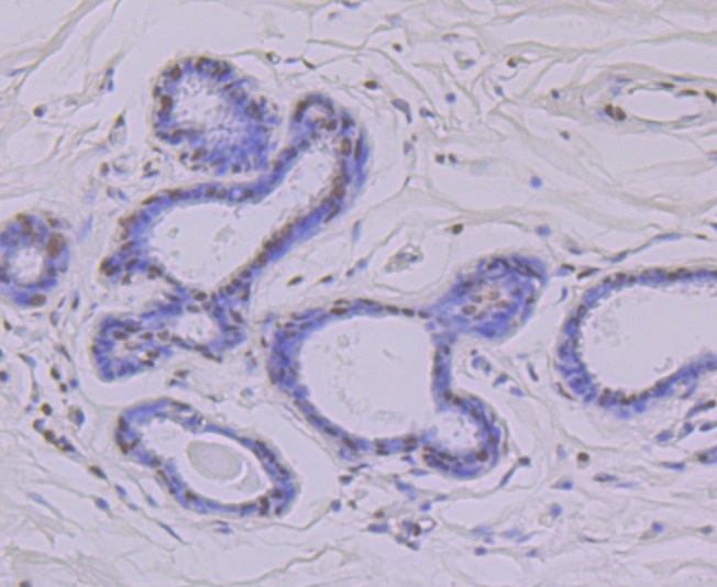
4. Immunohistochemical analysis of paraffin-embedded human breast tissue using anti-hnRNP Q antibody. Counter stained with hematoxylin.
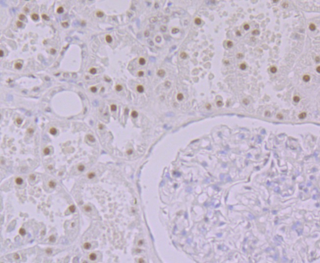
5. Immunohistochemical analysis of paraffin-embedded human kidney tissue using anti-hnRNP Q antibody. Counter stained with hematoxylin.
6. ICC staining hnRNP Q in LOVO cells (green). The nuclear counter stain is DAPI (blue). Cells were fixed in paraformaldehyde, permeabilised with 0.25% Triton X100/PBS.
7. ICC staining hnRNP Q in SiHa cells (green). The nuclear counter stain is DAPI (blue). Cells were fixed in paraformaldehyde, permeabilised with 0.25% Triton X100/PBS.
verifiedActivityverifiedActivityverifiedActivityverifiedActivityverifiedActivityverifiedActivityverifiedActivity
应用ICCIFIHCWB
推荐剂量
WB: 1:500-2000; IHC: 1:50-200; ICC: 1:50-200
抗体种类
Monoclonal
宿主来源Rabbit
构建方式Recombinant Antibody
纯化方式ProA affinity purified
性状Liquid
缓冲液1*TBS (pH7.4), 1%BSA, 40%Glycerol. Preservative: 0.05% Sodium Azide.
研究背景Pre-mRNA splicing is a critical step in the posttranscriptional regulation of gene expression. Heterogeneous nuclear ribonucleoprotein Q (hnRNP Q) is involved in RNA processing and is necessary for efficient pre-mRNA splicing. hnRNP is widely expressed and developmentally regulated. hnRNP Q interacts with survival motor neuron protein (SMN). Loss of function of SMN results in spinal muscular atrophy, a common neurodegenerative disease. The most common deletion in SMN genes disrupts the interaction between SMN and hnRNP Q. hnRNP Q is upregulated after midnight, and this upregulation correlates with an abrupt decline in AANAT, the key enzyme in melatonin synthesis. Rhythmic AANAT mRNA degradation mediated in part by hnRNP Q implicates this enzyme in the regulation of circadian oscillation.
偶联与修饰
偶联
Unconjugated
抗原信息
免疫原
Recombinant Protein: C-terminal human hnRNP Q
抗原种属
human
Uniprot ID
化学信息
分子量Theoretical: 70 kDa.
存储&运输
储存方式Store at -20°C or -80°C for 12 months. Avoid repeated freeze-thaw cycles.
运输方式Shipping with blue ice.

计算器

  • 稀释 计算器

评论列表

4个月前
5.0
Rating icon 很棒

评论内容

Related Tags: buy Anti-SYNCRIP Antibody (3C999) | purchase Anti-SYNCRIP Antibody (3C999) | Anti-SYNCRIP Antibody (3C999) cost | order Anti-SYNCRIP Antibody (3C999) | Anti-SYNCRIP Antibody (3C999) molecular weight