购物车
  • TargetMol
    您的购物车当前为空

Anti-Stra8 Polyclonal Antibody

Synonyms: STRA8, STRA 8, Stimulated by retinoic acid gene 8 protein homolog, Stimulated by retinoic acid Gene 8
货号 TMAB-01793 一键复制产品信息
Rating icon 还可以

Anti-Stra8 Polyclonal Antibody 是一种 Rabbit 抗体,靶向 Stra8。Anti-Stra8 Polyclonal Antibody 可用于 IF,IHC-Fr,IHC-P,WB。

Anti-Stra8 Polyclonal Antibody

一键复制产品信息
Rating icon 还可以
货号 TMAB-01793

别名 STRA8, STRA 8, Stimulated by retinoic acid gene 8 protein homolog, Stimulated by retinoic acid Gene 8

Anti-Stra8 Polyclonal Antibody 是一种 Rabbit 抗体,靶向 Stra8。Anti-Stra8 Polyclonal Antibody 可用于 IF,IHC-Fr,IHC-P,WB。

Anti-Stra8 Polyclonal Antibody
规格价格库存数量
50 μL
¥ 1,165
5日内发货
100 μL
¥ 1,970
5日内发货
200 μL
¥ 2,785
5日内发货
库存状态实时更新,以官网显示为准,现货产品可直接加购物车下单
大包装 & 定制
加入购物车

TargetMol的所有产品仅用作科学研究或药证申报,不能被用于人体,我们不向个人提供产品和服务。请您遵守承诺用途,不得违反法律法规规定用于任何其他用途。

实验操作小课堂
常见问题解答
查看更多

资源下载:产品操作手册

产品介绍


生物活性
产品描述
Anti-Stra8 Polyclonal Antibody is a Rabbit antibody targeting Stra8. Anti-Stra8 Polyclonal Antibody can be used in IF,IHC-Fr,IHC-P,WB.
别名
STRA8, STRA 8, Stimulated by retinoic acid gene 8 protein homolog, Stimulated by retinoic acid Gene 8
Ig Type
IgG
反应种属
Mouse,Rat (predicted:Human)
验证活性
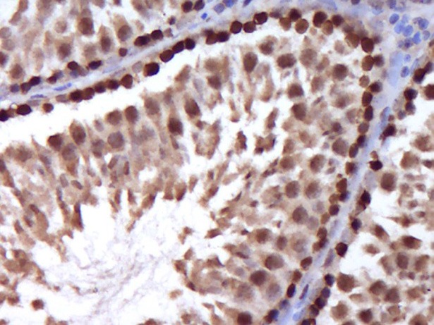
1. Paraformaldehyde-fixed, paraffin embedded (Rat testis); Antigen retrieval by boiling in sodium citrate buffer (pH6.0) for 15 min; Block endogenous peroxidase by 3% hydrogen peroxide for 20 min; Blocking buffer (normal goat serum) at 37°C for 30 min; Antibody incubation with (Stra8) Polyclonal Antibody, Unconjugated (TMAB-01793) at 1:400 overnight at 4°C, followed by operating according to SP Kit (Rabbit) instructionsand DAB staining.
2. Sample:
Testis (Mouse) Lysate at 40 μg
Primary: Anti-TMAB-01793 (TMAB-01793) at 1/1000 dilution
Secondary: IRDye800CW Goat Anti-Rabbit IgG at 1/20000 dilution
Predicted band size: 45 kDa
Observed band size: 45 kDa
3. Sample:
Testis (Rat) Lysate at 40 μg
Primary: Anti-TMAB-01793 (TMAB-01793) at 1/1000 dilution
Secondary: IRDye800CW Goat Anti-Rabbit IgG at 1/20000 dilution
Predicted band size: 45 kDa
Observed band size: 45 kDa
verifiedActivityverifiedActivityverifiedActivity
应用IFIHC-FrIHC-PWB
推荐剂量
WB: 1:500-2000; IHC-P: 1:100-500; IHC-Fr: 1:100-500; IF: 1:100-500
抗体种类
Polyclonal
宿主来源Rabbit
亚细胞定位Cytoplasm.
组织特异性Expressed specifically in testis.
构建方式Polyclonal Antibody
纯化方式Protein A purified
性状Liquid
缓冲液0.01M TBS (pH7.4) with 1% BSA, 0.02% Proclin300 and 50% Glycerol.
浓度1 mg/mL
研究背景This gene encodes a retinoic acid-responsive protein. A homologous protein in mouse has been shown to be involved in the regulation of meiotic initiation in both spermatogenesis and oogenesis, though feature differences between the mouse and human proteins suggest that these homologs are not entirely functionally equivalent. It is thought that this gene may play a role in spermatogenesis in humans. [provided by RefSeq, Nov 2010]
抗原信息
免疫原
KLH conjugated synthetic peptide: human Stra8
抗原种属
Human
基因名称
STRA8
基因ID
蛋白名称
Stimulated by retinoic acid gene 8 protein homolog
Uniprot ID
研究领域
Surface molecules,Germ cell markers,Intracellular,Embryonic Germ Cells
功能
Required for the transition into meiosis for both female and male germ cells. In female germ cells, required for premeiotic DNA replication and subsequent events in meiotic prophase
化学信息
分子量Theoretical: 45 kDa. Actual: 45 kDa.
储存&溶解度
储存方式Store at -20°C or -80°C for 12 months. Avoid repeated freeze-thaw cycles.
运输方式Shipping with blue ice.

计算器

  • 稀释 计算器
  • 配液 计算器
Related Tags: buy Anti-Stra8 Polyclonal Antibody | purchase Anti-Stra8 Polyclonal Antibody | Anti-Stra8 Polyclonal Antibody cost | order Anti-Stra8 Polyclonal Antibody | Anti-Stra8 Polyclonal Antibody molecular weight