购物车
  • 全部删除
  • TargetMol
    您的购物车当前为空

Anti-STAT1 Antibody (5F189)

Rating icon 还可以
产品编号 TMAC-03864
别名 STAT91, signal transducer and activator of transcription 1, 91kDa, ISGF-3, IMD31C, IMD31B, IMD31A, CANDF7

Anti-STAT1 Antibody (5F189) 是一种 Rabbit 抗体,靶向 STAT1。Anti-STAT1 Antibody (5F189) 可用于 FCM,ICC/IF,IHC,IP,WB。

Anti-STAT1 Antibody (5F189)

Anti-STAT1 Antibody (5F189)

一键复制产品信息
Rating icon 还可以
产品编号 TMAC-03864 别名 STAT91, signal transducer and activator of transcription 1, 91kDa, ISGF-3, IMD31C, IMD31B, IMD31A, CANDF7

Anti-STAT1 Antibody (5F189) 是一种 Rabbit 抗体,靶向 STAT1。Anti-STAT1 Antibody (5F189) 可用于 FCM,ICC/IF,IHC,IP,WB。

规格价格库存数量
50 μL
¥ 1,495
5日内发货
100 μL
¥ 2,485
5日内发货
大包装 & 定制
加入购物车
TargetMol 的所有产品仅用作科学研究或药证申报,不能被用于人体,我们不向个人提供产品和服务。请您遵守承诺用途,不得违反法律法规规定用于任何其他用途。
实验操作小课堂
常见问题解答
查看更多
联系我们获取更多批次信息
资源下载

产品介绍

生物活性
产品描述
Anti-STAT1 Antibody (5F189) is a Rabbit antibody targeting STAT1. Anti-STAT1 Antibody (5F189) can be used in FCM,ICC/IF,IHC,IP,WB.
别名STAT91, signal transducer and activator of transcription 1, 91kDa, ISGF-3, IMD31C, IMD31B, IMD31A, CANDF7
Ig Type
IgG
克隆号
5F189
交叉反应
Human
验证活性
1. Western blot analysis of STAT1 on different lysates using anti-STAT1 alpha antibody at 1/1,000 dilution. Positive control: Lane 1: Hela, Lane 2: 293.
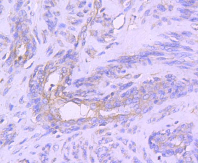
2. Immunohistochemical analysis of paraffin-embedded human cervix uteri tissue using anti-STAT1 alpha antibody. Counter stained with hematoxylin.
3. ICC staining STAT1 alpha in Hela cells (green). The nuclear counter stain is DAPI (blue). Cells were fixed in paraformaldehyde, permeabilised with 0.25% Triton X100/PBS.
4. ICC staining STAT1 alpha in MCF-7 cells (green). The nuclear counter stain is DAPI (blue). Cells were fixed in paraformaldehyde, permeabilised with 0.25% Triton X100/PBS.
5. ICC staining STAT1 alpha in SKOV-3 cells (green). The nuclear counter stain is DAPI (blue). Cells were fixed in paraformaldehyde, permeabilised with 0.25% Triton X100/PBS.
6. Flow cytometric analysis of MCF-7 cells with STAT1 alpha antibody at 1/50 dilution (red) compared with an unlabelled control (cells without incubation with primary antibody; black). Alexa Fluor 488-conjugated goat anti rabbit IgG was used as the secondary antibody.
verifiedActivityverifiedActivityverifiedActivityverifiedActivityverifiedActivityverifiedActivity
应用FCMICC/IFIHCIPWB
推荐剂量
WB: 1:1000-5000; IHC: 1:50-200; ICC/IF: 1:100-500; FCM: 1:50-100
抗体种类
Monoclonal
宿主来源Rabbit
构建方式Recombinant Antibody
纯化方式ProA affinity purified
性状Liquid
缓冲液1*TBS (pH7.4), 1%BSA, 40%Glycerol. Preservative: 0.05% Sodium Azide.
研究背景Membrane receptor signaling by various ligands, including interferons and growth hormones such as EGF, induces activation of JAK kinases which then leads to tyrosine phosphorylation of the various Stat transcription factors. Stat1 and Stat2 are induced by IFN-α and form a heterodimer which is part of the ISGF3 transcription factor complex. Although early reports indicate Stat3 activation by EGF and IL-6, it has been shown that Stat3β appears to be activated by both while Stat3α is activated by EGF, but not by IL-6. Highest expression of Stat4 is seen in testis and myeloid cells. IL-12 has been identified as an activator of Stat4. Stat5 has been shown to be activated by Prolactin and by IL-3. Stat6 is involved in IL-4 activated signaling pathways.
偶联与修饰
偶联
Unconjugated
抗原信息
免疫原
Recombinant Protein
Uniprot ID
化学信息
分子量Theoretical: 87 kDa.
存储&运输
储存方式Store at -20°C or -80°C for 12 months. Avoid repeated freeze-thaw cycles.
运输方式Shipping with blue ice.

计算器

  • 稀释 计算器

关键词

评论列表

4个月前
5.0
Rating icon 很棒

评论内容

Related Tags: buy Anti-STAT1 Antibody (5F189) | purchase Anti-STAT1 Antibody (5F189) | Anti-STAT1 Antibody (5F189) cost | order Anti-STAT1 Antibody (5F189) | Anti-STAT1 Antibody (5F189) molecular weight