购物车
  • TargetMol
    您的购物车当前为空

Anti-SOST Polyclonal Antibody

Synonyms: VBCHsclerosteosis, VBCH, SOST1, SOST, sclerostin, DAND6, CDD
货号 TMAB-01755 一键复制产品信息
Rating icon 还可以

Anti-SOST Polyclonal Antibody 是一种 Rabbit 抗体,靶向 SOST。Anti-SOST Polyclonal Antibody 可用于 IF,IHC-Fr,IHC-P,WB。

Anti-SOST Polyclonal Antibody

一键复制产品信息
Rating icon 还可以
货号 TMAB-01755

别名 VBCHsclerosteosis, VBCH, SOST1, SOST, sclerostin, DAND6, CDD

Anti-SOST Polyclonal Antibody 是一种 Rabbit 抗体,靶向 SOST。Anti-SOST Polyclonal Antibody 可用于 IF,IHC-Fr,IHC-P,WB。

Anti-SOST Polyclonal Antibody
规格价格库存数量
50 μL
¥ 1,170
5日内发货
100 μL
¥ 1,965
5日内发货
200 μL
¥ 2,790
5日内发货
库存状态实时更新,以官网显示为准,现货产品可直接加购物车下单
大包装 & 定制
加入购物车

TargetMol的所有产品仅用作科学研究或药证申报,不能被用于人体,我们不向个人提供产品和服务。请您遵守承诺用途,不得违反法律法规规定用于任何其他用途。

实验操作小课堂
常见问题解答
查看更多

选择批次:
颜色: 无色透明
性状: Liquid
资源下载: COA产品操作手册

产品介绍


生物活性
产品描述
Anti-SOST Polyclonal Antibody is a Rabbit antibody targeting SOST. Anti-SOST Polyclonal Antibody can be used in IF,IHC-Fr,IHC-P,WB.
别名
VBCHsclerosteosis, VBCH, SOST1, SOST, sclerostin, DAND6, CDD
Ig Type
IgG
反应种属
Human,Rat (predicted:Mouse,Dog,Pig,Cow,Horse,Rabbit,Sheep)
验证活性
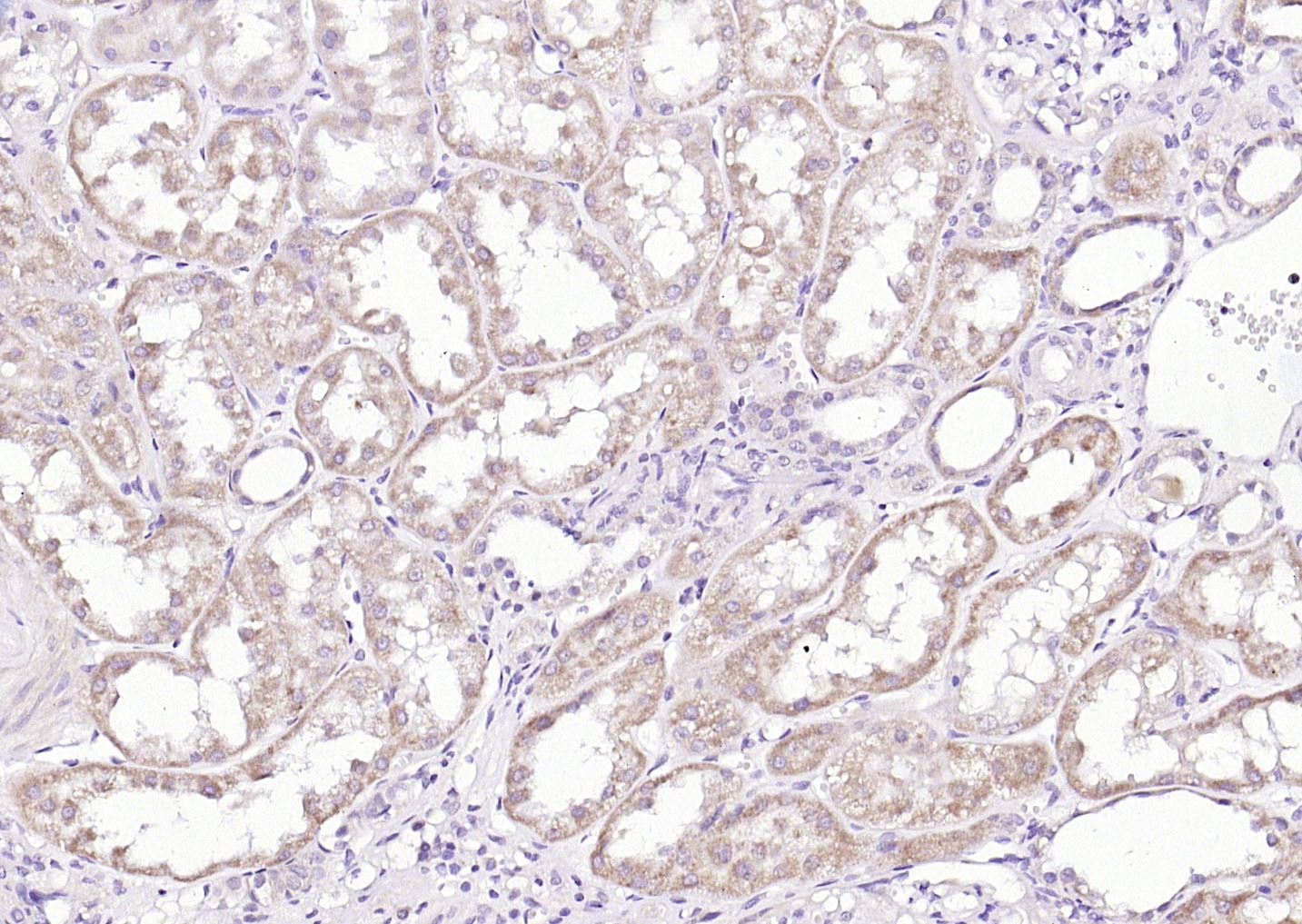
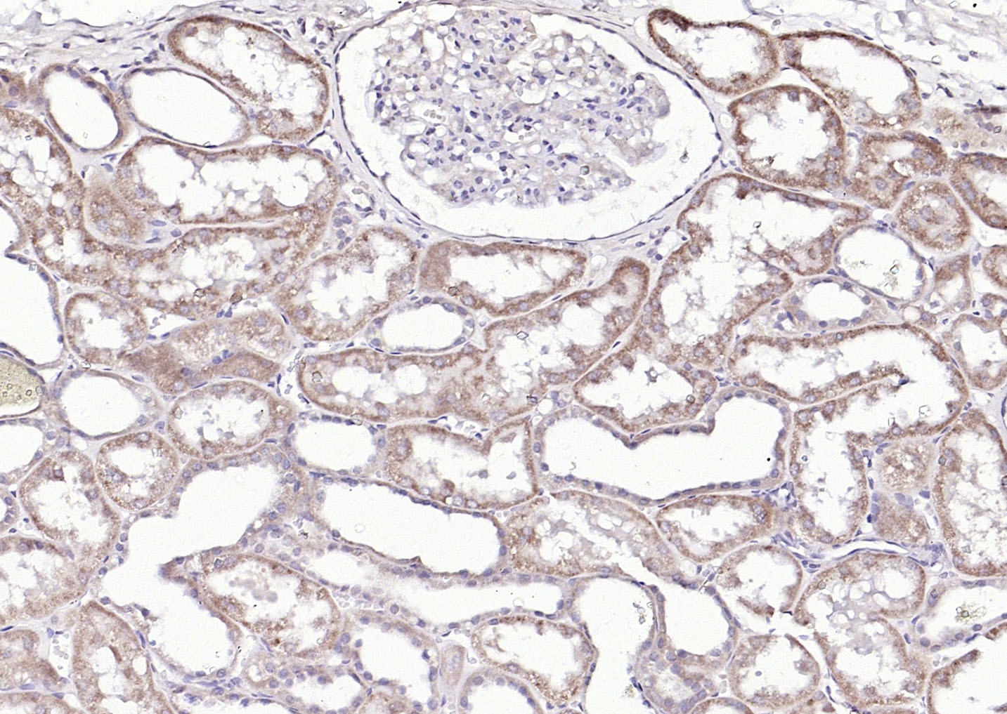
1. Paraformaldehyde-fixed, paraffin embedded (Human kidney); Antigen retrieval by boiling in sodium citrate buffer (pH6.0) for 15 min; Block endogenous peroxidase by 3% hydrogen peroxide for 20 min; Blocking buffer (normal goat serum) at 37°C for 30 min; Antibody incubation with (Sclerostin) Polyclonal Antibody, Unconjugated (TMAB-01755) at 1:200 overnight at 4°C, followed by operating according to SP Kit (Rabbit) instructionsand DAB staining.
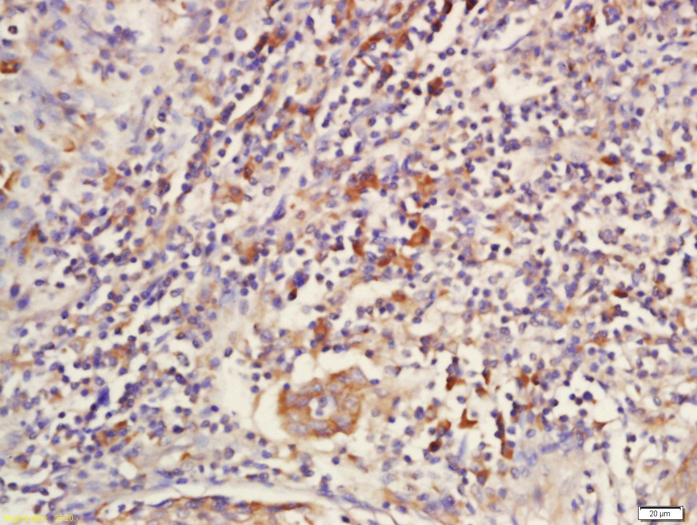
2. Tissue/cell: human laryngocarcinoma; 4% Paraformaldehyde-fixed and paraffin-embedded;
Antigen retrieval: citrate buffer (0.01M, pH6.0), Boiling bathing for 15 min; Block endogenous peroxidase by 3% Hydrogen peroxide for 30 min; Blocking buffer (normal goat serum) at 37°C for 20 min;
Incubation: Anti-Sclerostin Polyclonal Antibody, Unconjugated (TMAB-01755) 1:200, overnight at 4°C, followed by conjugation to the secondary antibody and DAb staining.
3. Sample:
Cartilage (Rat) Lysate at 40 μg
Primary: Anti-Sclerostin (TMAB-01755) at 1/1000 dilution
Secondary: IRDye800CW Goat Anti-Rabbit IgG at 1/20000 dilution
Predicted band size: 21 kDa
Observed band size: 21 kDa
4. Paraformaldehyde-fixed, paraffin embedded (Human kidney); Antigen retrieval by boiling in sodium citrate buffer (pH6.0) for 15 min; Block endogenous peroxidase by 3% hydrogen peroxide for 20 min; Blocking buffer (normal goat serum) at 37°C for 30 min; Antibody incubation with (Sclerostin) Polyclonal Antibody, Unconjugated (TMAB-01755) at 1:200 overnight at 4°C, followed by operating according to SP Kit (Rabbit) instructionsand DAB staining.
verifiedActivityverifiedActivityverifiedActivityverifiedActivity
应用IFIHC-FrIHC-PWB
推荐剂量
WB: 1:500-2000; IHC-P: 1:100-500; IHC-Fr: 1:100-500; IF: 1:100-500
抗体种类
Polyclonal
宿主来源Rabbit
亚细胞定位Secreted.
组织特异性Widely expressed at low levels with highest levels in bone, cartilage, kidney, liver, bone marrow and primary osteeoblasts differentiated for 21 days.
构建方式Polyclonal Antibody
纯化方式Protein A purified
性状Liquid
缓冲液0.01M TBS (pH7.4) with 1% BSA, 0.02% Proclin300 and 50% Glycerol.
浓度1 mg/mL
研究背景Negative regulator of bone growth.Sclerostin (SOST) is a bone morphogenetic protein (BMP) antagonist, leading to the activation of BMP signaling. It negatively regulates the formation of bone by repressing the differentiation and/or function of osteoblasts induced by BMPs. It has been shown that Sclerostin binds BMP-5, -6, and -7 with high affinity and BMP-2 and -4 with low affinity. The noggin-sclerostin protein complex represents a novel mechanism for the fine-tuning of BMP activity in bone homeostasis. Evidence is accumulating that one of the important mechanisms of bone regulation by sclerostin is the modulation of Wnt/Beta-catenin signaling. Sclerostin also rapidly activated ERK-1/2 MAPK signaling, indicating the involvement of additional signaling pathways
抗原信息
免疫原
KLH conjugated synthetic peptide: human Sclerostin
抗原种属
Human
基因名称
SOST
基因ID
蛋白名称
Sclerostin
Uniprot ID
研究领域
Bone,Signal transduction proteins ELISA kits,Metabolic disorders,Bone,TGF,Secreted
功能
Negative regulator of bone growth that acts through inhibition of Wnt signaling and bone formation.
化学信息
分子量Theoretical: 21 kDa. Actual: 21 kDa.
储存&溶解度
储存方式Store at -20°C or -80°C for 12 months. Avoid repeated freeze-thaw cycles.
运输方式Shipping with blue ice.

计算器

  • 稀释 计算器
  • 配液 计算器
Related Tags: buy Anti-SOST Polyclonal Antibody | purchase Anti-SOST Polyclonal Antibody | Anti-SOST Polyclonal Antibody cost | order Anti-SOST Polyclonal Antibody | Anti-SOST Polyclonal Antibody molecular weight