• TargetMol
    您的购物车当前为空

Anti-SOD1 Antibody (4Y683)

一键复制产品信息
Rating icon 还可以
货号 TMAC-03918

Anti-SOD1 Antibody (4Y683) 是一种 Rabbit 抗体,靶向 SOD1。Anti-SOD1 Antibody (4Y683) 可用于 FCM,ICC/IF,IHC,WB。

Anti-SOD1 Antibody (4Y683)

Anti-SOD1 Antibody (4Y683)

一键复制产品信息
Rating icon 还可以
货号 TMAC-03918

Anti-SOD1 Antibody (4Y683) 是一种 Rabbit 抗体,靶向 SOD1。Anti-SOD1 Antibody (4Y683) 可用于 FCM,ICC/IF,IHC,WB。

规格价格库存数量
50 μL
¥ 1,480
5日内发货
100 μL
¥ 2,480
5日内发货
库存状态实时更新,以官网显示为准,现货产品可直接加购物车下单
大包装 & 定制
加入购物车
TargetMol的所有产品仅用作科学研究或药证申报,不能被用于人体,我们不向个人提供产品和服务。请您遵守承诺用途,不得违反法律法规规定用于任何其他用途。
实验操作小课堂
常见问题解答
查看更多
资源下载:

产品介绍


生物活性
产品描述
Anti-SOD1 Antibody (4Y683) is a Rabbit antibody targeting SOD1. Anti-SOD1 Antibody (4Y683) can be used in FCM,ICC/IF,IHC,WB.
Ig Type
IgG
克隆号
4Y683
反应种属
Human,Rat
验证活性
1. Western blot analysis of SOD1 on MCF-7 cells lysates using anti-SOD1 antibody at 1/1,000 dilution.
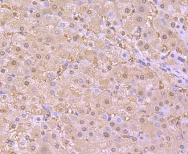
2. Immunohistochemical analysis of paraffin-embedded human liver tissue using anti-SOD1 antibody. Counter stained with hematoxylin.
3. Immunohistochemical analysis of paraffin-embedded human breast carcinoma tissue using anti-SOD1 antibody. Counter stained with hematoxylin.
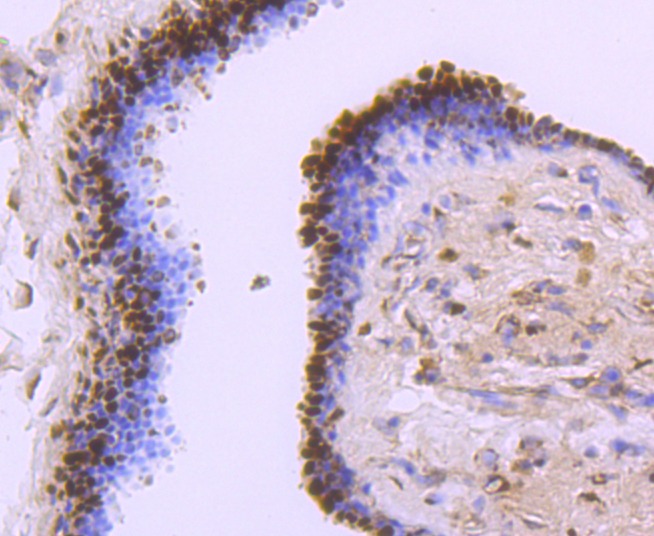
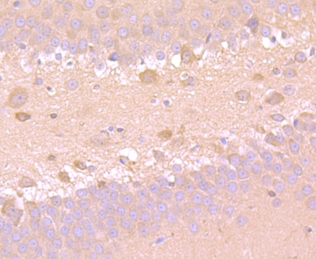
4. Immunohistochemical analysis of paraffin-embedded rat brain tissue using anti-SOD1 antibody. Counter stained with hematoxylin.
5. ICC staining SOD1 in Hela cells (red). The nuclear counter stain is DAPI (blue). Cells were fixed in paraformaldehyde, permeabilised with 0.25% Triton X100/PBS.
6. ICC staining SOD1 in HepG2 cells (red). The nuclear counter stain is DAPI (blue). Cells were fixed in paraformaldehyde, permeabilised with 0.25% Triton X100/PBS.
7. ICC staining SOD1 in 293T cells (red). The nuclear counter stain is DAPI (blue). Cells were fixed in paraformaldehyde, permeabilised with 0.25% Triton X100/PBS.
8. Flow cytometric analysis of Jurkat cells with SOD1 antibody at 1/50 dilution (red) compared with an unlabelled control (cells without incubation with primary antibody; black). Alexa Fluor 488-conjugated goat anti rabbit IgG was used as the secondary antibody.
verifiedActivityverifiedActivityverifiedActivityverifiedActivityverifiedActivityverifiedActivityverifiedActivityverifiedActivity
应用FCMICC/IFIHCWB
推荐剂量
WB: 1:1000-2000; IHC: 1:50-200; ICC/IF: 1:50-200; FCM: 1:50-100
抗体种类
Monoclonal
宿主来源Rabbit
构建方式Recombinant Antibody
纯化方式ProA affinity purified
性状Liquid
缓冲液1*TBS (pH7.4), 1%BSA, 40%Glycerol. Preservative: 0.05% Sodium Azide.
研究背景Cu-Zn superoxide dismutase-1 (SOD-1) is a well characterized cytosolic scavenger of oxygen free radicals that requires copper and zinc binding to potentiate its enzymatic activity. Enzymatically, SOD-1 facilitates the dismutation of oxygen radicals to hydrogen peroxide and also catalyzes pro-oxidant reactions, which include the peroxidase activity and hydroxyl radical generating activity. SOD-1 is ubiquitously expressed in somatic cells and functions as a homodimer. Defects in the gene encoding SOD-1 have been implicated in the progression of neurological diseases, including amyotrophic lateral sclerosis (ALS), a neurodegenerative disease characterized by the loss of spinal motor neurons, Down syndrome and Alzheimer's disease. In familial ALS, several mutations in SOD-1 predominate, resulting in the loss of zinc binding, the loss of scavenging activity of SOD-1, and correlate with an increase in neurotoxicity and motor neuron death.
偶联与修饰
偶联
Unconjugated
抗原信息
免疫原
Recombinant Protein
Uniprot ID
化学信息
分子量Theoretical: 16 kDa.
储存&溶解度
储存方式Store at -20°C or -80°C for 12 months. Avoid repeated freeze-thaw cycles.
运输方式Shipping with blue ice.
存储store at low temperature | -20°C for 1 year

计算器

  • 稀释 计算器
Related Tags: buy Anti-SOD1 Antibody (4Y683) | purchase Anti-SOD1 Antibody (4Y683) | Anti-SOD1 Antibody (4Y683) cost | order Anti-SOD1 Antibody (4Y683) | Anti-SOD1 Antibody (4Y683) molecular weight