购物车
  • TargetMol
    您的购物车当前为空

Anti-SMAD3 Antibody (8N368)

Synonyms: SMAD2, MADR2, MADH2, LDS6, JV18-1, JV18, hSMAD2, hMAD-2, CHTD8
货号 TMAC-03793 一键复制产品信息
Rating icon 还可以

Anti-SMAD3 Antibody (8N368) 是一种 Mouse 抗体,靶向 SMAD3。Anti-SMAD3 Antibody (8N368) 可用于 IHC,WB。

Anti-SMAD3 Antibody (8N368)

一键复制产品信息
Rating icon 还可以
货号 TMAC-03793

别名 SMAD2, MADR2, MADH2, LDS6, JV18-1, JV18, hSMAD2, hMAD-2, CHTD8

Anti-SMAD3 Antibody (8N368) 是一种 Mouse 抗体,靶向 SMAD3。Anti-SMAD3 Antibody (8N368) 可用于 IHC,WB。

Anti-SMAD3 Antibody (8N368)
规格价格库存数量
50 μL
¥ 1,330
5日内发货
100 μL
¥ 2,180
5日内发货
库存状态实时更新,以官网显示为准,现货产品可直接加购物车下单
大包装 & 定制
加入购物车

TargetMol的所有产品仅用作科学研究或药证申报,不能被用于人体,我们不向个人提供产品和服务。请您遵守承诺用途,不得违反法律法规规定用于任何其他用途。

实验操作小课堂
常见问题解答
查看更多

资源下载:产品操作手册

产品介绍


生物活性
产品描述
Anti-SMAD3 Antibody (8N368) is a Mouse antibody targeting SMAD3. Anti-SMAD3 Antibody (8N368) can be used in IHC,WB.
别名
SMAD2, MADR2, MADH2, LDS6, JV18-1, JV18, hSMAD2, hMAD-2, CHTD8
Ig Type
IgG1
克隆号
8N368
反应种属
Human,Mouse,Rat
验证活性
1. Western blot analysis of 1)293T, 2)Jurkat, 3)Rat Heart Tissue, 4)Mouse Heart Tissue with Smad3 Mouse mAb diluted at 1:2,000.
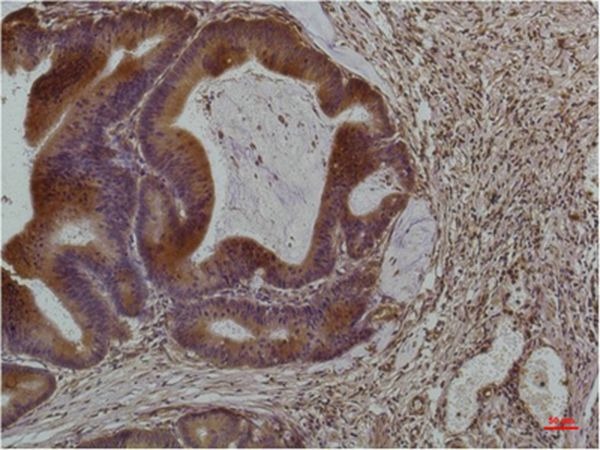
2. Immunohistochemical analysis of paraffin-embedded Human Liver Tissue using Smad3Mouse mAb diluted at 1:200.
3. Immunohistochemical analysis of paraffin-embedded Human Colon Carcinoma using Smad3Mouse mAb diluted at 1:200.
verifiedActivityverifiedActivityverifiedActivity
应用IHCWB
推荐剂量
WB: 1:1000-2000; IHC: 1:100-200
抗体种类
Monoclonal
宿主来源Mouse
构建方式Hybridoma Monoclonal Antibody
性状Liquid
缓冲液Liquid in PBS containing 50% glycerol, 0.5% BSA and 0.02% sodium azide.
偶联与修饰
偶联
Unconjugated
抗原信息
免疫原
Recombinant Protein
Uniprot ID
化学信息
分子量Theoretical: 52 kDa.
储存&溶解度
储存方式Store at -20°C or -80°C for 12 months. Avoid repeated freeze-thaw cycles.
运输方式Shipping with blue ice.

计算器

  • 稀释 计算器
  • 配液 计算器
Related Tags: buy Anti-SMAD3 Antibody (8N368) | purchase Anti-SMAD3 Antibody (8N368) | Anti-SMAD3 Antibody (8N368) cost | order Anti-SMAD3 Antibody (8N368) | Anti-SMAD3 Antibody (8N368) molecular weight