• TargetMol
    您的购物车当前为空

Anti-SLC17A6 Polyclonal Antibody

一键复制产品信息
Rating icon 还可以
货号 TMAB-01704

别名 VGluT2, Vglut2, Vesicular glutamate transporter 2, Solute carrier family 17 member 6, Slc17a6, Dnpi, Differentiation-associated Na(+)-dependent inorganic phosphate cotransporter, Differentiation-associated BNPI

Anti-SLC17A6 Polyclonal Antibody 是一种 Rabbit 抗体,靶向 SLC17A6。Anti-SLC17A6 Polyclonal Antibody 可用于 IF,IHC-Fr,IHC-P。

Anti-SLC17A6 Polyclonal Antibody

Anti-SLC17A6 Polyclonal Antibody

一键复制产品信息
Rating icon 还可以
货号 TMAB-01704 别名 VGluT2, Vglut2, Vesicular glutamate transporter 2, Solute carrier family 17 member 6, Slc17a6, Dnpi, Differentiation-associated Na(+)-dependent inorganic phosphate cotransporter, Differentiation-associated BNPI

Anti-SLC17A6 Polyclonal Antibody 是一种 Rabbit 抗体,靶向 SLC17A6。Anti-SLC17A6 Polyclonal Antibody 可用于 IF,IHC-Fr,IHC-P。

规格价格库存数量
50 μL
¥ 1,170
5日内发货
100 μL
¥ 1,960
5日内发货
200 μL
¥ 2,780
5日内发货
库存状态实时更新,以官网显示为准,现货产品可直接加购物车下单
大包装 & 定制
加入购物车
TargetMol的所有产品仅用作科学研究或药证申报,不能被用于人体,我们不向个人提供产品和服务。请您遵守承诺用途,不得违反法律法规规定用于任何其他用途。
实验操作小课堂
常见问题解答
查看更多
资源下载:

产品介绍


生物活性
产品描述
Anti-SLC17A6 Polyclonal Antibody is a Rabbit antibody targeting SLC17A6. Anti-SLC17A6 Polyclonal Antibody can be used in IF,IHC-Fr,IHC-P.
别名VGluT2, Vglut2, Vesicular glutamate transporter 2, Solute carrier family 17 member 6, Slc17a6, Dnpi, Differentiation-associated Na(+)-dependent inorganic phosphate cotransporter, Differentiation-associated BNPI
Ig Type
IgG
反应种属
Rat (predicted:Human,Mouse,Chicken,Dog,Pig,Cow,Horse)
验证活性
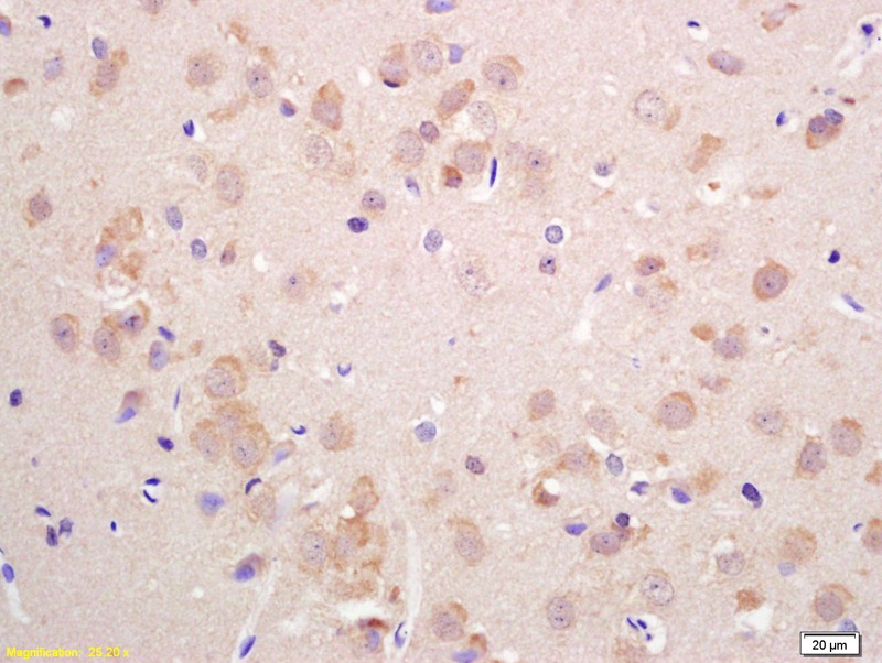
1. Tissue/cell: rat brain tissue; 4% Paraformaldehyde-fixed and paraffin-embedded;
Antigen retrieval: citrate buffer (0.01M, pH6.0), Boiling bathing for 15 min; Block endogenous peroxidase by 3% Hydrogen peroxide for 30 min; Blocking buffer (normal goat serum) at 37°C for 20 min;
Incubation: Anti-VGLUT2 Polyclonal Antibody, Unconjugated (TMAB-01704) 1:200, overnight at 4°C, followed by conjugation to the secondary antibody and DAb staining.
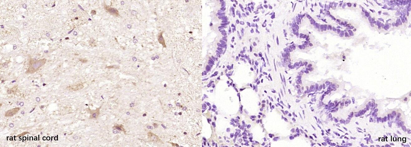
2. Positive sample: Paraformaldehyde-fixed, paraffin embedded (rat spinal cord);
Negative sample: Paraformaldehyde-fixed, paraffin embedded (rat lung);
Antigen retrieval by boiling in sodium citrate buffer (pH6.0) for 15 min; Block endogenous peroxidase by 3% hydrogen peroxide for 20 min; Blocking buffer (normal goat serum) at 37°C for 30 min; Antibody incubation with (VGLUT2) Polyclonal Antibody, Unconjugated (TMAB-01704) at 1:200 overnight at 4°C, followed by operating according to SP Kit (Rabbit) instructionsand DAB staining.
verifiedActivityverifiedActivity
应用IFIHC-FrIHC-P
推荐剂量
IHC-P: 1:100-500; IHC-Fr: 1:100-500; IF: 1:100-500
抗体种类
Polyclonal
宿主来源Rabbit
亚细胞定位Cytoplasmic vesicle, secretory vesicle, synaptic vesicle membrane. Membrane; Multi-pass membrane protein (Potential). Cell junction, synapse, synaptosome.
组织特异性Predominantly expressed in adult brain. Expressed in amygdala, caudate nucleus, cerebral cortex, frontal lobe, hippocampus, medulla, occipital lobe, putamen, spinal cord, substantia nigra, subthalamic nucleus, temporal lobe and thalamus.
构建方式Polyclonal Antibody
纯化方式Protein A purified
性状Liquid
缓冲液0.01M TBS (pH7.4) with 1% BSA, 0.02% Proclin300 and 50% Glycerol.
浓度1 mg/mL
研究背景The ATP-dependent, chloride-sensitive vesicular glutamate transporters (VGLUT) include BNPI (VGLUT1), VGLUT2 (DNPI) and VGLUT3. The brain expresses BNPI (brain specific Na+-dependent inorganic phosphate (Pi) cotransporter) and VGLUT2 in a complementary fashion. The telencephalic regions express BNPI, whereas the lower brainstem and diencephalic regions express VLGUT2. Rat pinealocytes express both BNPI and VGLUT2. The striatum, hippocampus, cerebral cortex and raphe nuclei express VGLUT3 in a small number of neurons. Pancreatic a and b cells express BNPI and VGLUT2 in response to glucose concentrations. Human VGLUT3 shares a 72% sequence homology with VLGUT2 and BNPI.
抗原信息
免疫原
KLH conjugated synthetic peptide: human VGLUT2
抗原种属
Human
基因名称
SLC17A6
基因ID
蛋白名称
Vesicular glutamate transporter 2
Uniprot ID
研究领域
Transporters
功能
Mediates the uptake of glutamate into synaptic vesicles at presynaptic nerve terminals of excitatory neural cells. May also mediate the transport of inorganic phosphate.
化学信息
分子量Theoretical: 64 kDa.
储存&溶解度
储存方式Store at -20°C or -80°C for 12 months. Avoid repeated freeze-thaw cycles.
运输方式Shipping with blue ice.
存储store at low temperature | store at -20°C

计算器

  • 稀释 计算器

关键词

Related Tags: buy Anti-SLC17A6 Polyclonal Antibody | purchase Anti-SLC17A6 Polyclonal Antibody | Anti-SLC17A6 Polyclonal Antibody cost | order Anti-SLC17A6 Polyclonal Antibody | Anti-SLC17A6 Polyclonal Antibody molecular weight